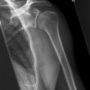
Schulter a.p. (Schultergelenk nach Grashey)
Es wurden keine Bilder gefunden.
Beurteilungskriterien
- Außenrotation ->Tuberculum majus lateral randbildend, Innenrotation ->Tuberculum minus medial randbildend
- Gelenkspaltweite 4-6 mm
- Weite des subacromialen Raumes exakt nur in der 10 – 15° nach kaudal angulierten Aufnahme bestimmbar ("Morrison, Outlet View")! Normalerweise 1 - 1,5 cm, < 6 mm -> wohl pathologisch, Impingment röntgenlog. wahrscheinlich, Cave. rein klinische Diagnose!
- Normvarianten: Os glenoidale (akzessorischer Ossikel kaudal des Glenoids), persistierende Akromion- oder Korakoidapophyse, entwicklungsbedingte Pfannenranddefekte
| Alter |
Männlich |
Weiblich |
Unbekannt |
| <1 |
 |
 |
 |
| 1 |
 |
 |
|
| 2 |
 |
 |
|
| 3 |
 |
 |
|
| 4 |
 |
 |
|
| 5 |
 |
 |
|
| 6 |
|
 |
|
| 7 |
 |
 |
|
| 8 |
 |
 |
|
| 9 |
 |
 |
|
| 10 |
 |
 |
|
| 11 |
 |
 |
 |
| 12 |
 |
 |
|
| 13 |
 |
 |
|
| 14 |
 |
 |
|
| 15 |
 |
 |
|
| 16 |
 |
 |
|
| 17 |
 |
 |
|
| 18 |
 |
 |
|
| 19 |
 |
 |
|
| 20 |
 |
 |
 |
Schulter seitlich (Y-View)
Es wurden keine Bilder gefunden.
Bei Luxation zusätzlich zur glenoidtangentialen Aufnahme problemlos durchführbar! Axiale Aufnahme schmerzbedingt meist nicht möglich.
Beurteilungskriterien
- Skapula bildet sich als Y ab
- Humeruskopf projiziert sich in das Glenoid? Luxation? Luxationsrichtung?
- Weite des subacromialen Raumes exakt nur in der 10 – 15° nach kaudal angulierten Aufnahme bestimmbar („Morrison, Outlet View“)! Normalerweise 1 - 1,5 cm, < 6 mm -> wohl pathologisch, Impingment wahrscheinlich
- Normvarianten: Os glenoidale (akzessorischer Ossikel kaudal des Glenoids), persistierende Akromion- oder Korakoidapophyse, entwicklungsbedingte Pfannenranddefekte
- Schulterluxationen:
- Anteriore Luxation (2) 95%= anteriore infraglenoidale Luxation, Kopf liegt vor Glenoid
- Posteriore Luxation (2) 3%: wird häufig übersehen! Kopf liegt hinter Glenoid, Hochstand des Humeruskopfes, fixierte Innenrotation des Humeruskopfes => atypische Projektion des Humeruskopfes: “ drumstick or bulb appearance“ (Birnenform), Muldenzeichen („trough line“), „rim sign“ in der ap bzw. glenoidtagentialen Aufnahme.
Zweite Ebene, z.B. transskapuläre Aufnahme zeigt die Richtung der Luxation. Cave. rein klinische Diagnose!
- Begleitverletzungen? (-> heute umfassend mit CT/MRT zu beurteilen)
- Tuberculum majus (15%)
- Pfannenrand
- Hill- Sachs Läsion = Dorsokraniale Humeruskopf-Impressionsfraktur (50%) (Aufnahme der 1. Wahl: Stryker oder CT)
- umgekehrte Hill-Sachs Läsion = anteromediale Impression nach hinterer Luxation
- Bankart-Läsion: Abriss des vorderen Labrum-Kapsel-Komplexes bzw. Abrissfraktur des vorderen unteren Glenoidrandes (-> CT-Athrographie, Arthro-MRT)
| Alter |
Männlich |
Weiblich |
Unbekannt |
| <1 |
 |
 |
 |
| 1 |
 |
 |
|
| 2 |
 |
 |
|
| 3 |
 |
 |
|
| 4 |
 |
 |
|
| 5 |
 |
 |
|
| 6 |
|
 |
|
| 7 |
 |
 |
|
| 8 |
 |
 |
|
| 9 |
 |
 |
|
| 10 |
 |
 |
|
| 11 |
 |
 |
 |
| 12 |
 |
 |
|
| 13 |
 |
 |
|
| 14 |
 |
 |
|
| 15 |
 |
 |
|
| 16 |
 |
 |
|
| 17 |
 |
 |
|
| 18 |
 |
 |
|
| 19 |
 |
 |
|
| 20 |
 |
 |
 |
Schulter axial
Es wurden keine Bilder gefunden.
Beurteilungskriterien
| Alter |
Männlich |
Weiblich |
Unbekannt |
| <1 |
 |
 |
 |
| 1 |
 |
 |
|
| 2 |
 |
 |
|
| 3 |
 |
 |
|
| 4 |
 |
 |
|
| 5 |
 |
 |
|
| 6 |
|
 |
|
| 7 |
 |
 |
|
| 8 |
 |
 |
|
| 9 |
 |
 |
|
| 10 |
 |
 |
|
| 11 |
 |
 |
 |
| 12 |
 |
 |
|
| 13 |
 |
 |
|
| 14 |
 |
 |
|
| 15 |
 |
 |
|
| 16 |
 |
 |
|
| 17 |
 |
 |
|
| 18 |
 |
 |
|
| 19 |
 |
 |
|
| 20 |
 |
 |
 |
Schulter nach Morrison oder Outlet View
Es wurden keine Bilder gefunden.
Indikation
v.a. Impingementsyndrom: Beurteilung des Akromions, des AC-Gelenks, evtl. hilfreich zur Diagnostik von Luxationen
Beurteilungskriterien
- Impingementsyndrom (2): Neigungswinkel des Akromions -> Je gebogener bzw. hakenförmiger desto höher ist die Wahrscheinlichkeit. Radiologische Befunde: Zystenbildung im Bereich des Tuberculum majus? Subchondrale Sklerosierung am Tuberculum majus oder subacromiale Osteophytenbildung? Verkalkungen im Verlauf der Supraspinatussehne?
- subacrominalen Raumes: normalerweise 1 - 1,5 cm, < 10 mm -> wahrscheinlich, < 6 mm -> sicher pathologisch
| Alter |
Männlich |
Weiblich |
Unbekannt |
| <1 |
 |
 |
 |
| 1 |
 |
 |
|
| 2 |
 |
 |
|
| 3 |
 |
 |
|
| 4 |
 |
 |
|
| 5 |
 |
 |
|
| 6 |
|
 |
|
| 7 |
 |
 |
|
| 8 |
 |
 |
|
| 9 |
 |
 |
|
| 10 |
 |
 |
|
| 11 |
 |
 |
 |
| 12 |
 |
 |
|
| 13 |
 |
 |
|
| 14 |
 |
 |
|
| 15 |
 |
 |
|
| 16 |
 |
 |
|
| 17 |
 |
 |
|
| 18 |
 |
 |
|
| 19 |
 |
 |
|
| 20 |
 |
 |
 |
Schwedenstatus (3 Aufnahmen)
Es wurden keine Bilder gefunden.
Indikation
Bei V.a. Fraktur des Tuberculum major, nach Luxation und Periathritis, bei Impressionsfraktur nach Luxation, was bei normalen Schulteraufnahmen nicht diagnostizierbar sind, Rotatorenmanschettenverletzung
Beurteilungskriterien
Knöcherne Vorsprünge am Schulterdach oder Oberarmkopf? Methode der 1. Wahl = Sonographie
| Alter |
Männlich |
Weiblich |
Unbekannt |
| <1 |
 |
 |
 |
| 1 |
 |
 |
|
| 2 |
 |
 |
|
| 3 |
 |
 |
|
| 4 |
 |
 |
|
| 5 |
 |
 |
|
| 6 |
|
 |
|
| 7 |
 |
 |
|
| 8 |
 |
 |
|
| 9 |
 |
 |
|
| 10 |
 |
 |
|
| 11 |
 |
 |
 |
| 12 |
 |
 |
|
| 13 |
 |
 |
|
| 14 |
 |
 |
|
| 15 |
 |
 |
|
| 16 |
 |
 |
|
| 17 |
 |
 |
|
| 18 |
 |
 |
|
| 19 |
 |
 |
|
| 20 |
 |
 |
 |
Schulter nach Velpeau
Es wurden keine Bilder gefunden.
Gute Beurteilbarkeit der Relation zwischen Humeruskopf zur Glenoidpfanne.
| Alter |
Männlich |
Weiblich |
Unbekannt |
| <1 |
 |
 |
 |
| 1 |
 |
 |
|
| 2 |
 |
 |
|
| 3 |
 |
 |
|
| 4 |
 |
 |
|
| 5 |
 |
 |
|
| 6 |
|
 |
|
| 7 |
 |
 |
|
| 8 |
 |
 |
|
| 9 |
 |
 |
|
| 10 |
 |
 |
|
| 11 |
 |
 |
 |
| 12 |
 |
 |
|
| 13 |
 |
 |
|
| 14 |
 |
 |
|
| 15 |
 |
 |
|
| 16 |
 |
 |
|
| 17 |
 |
 |
|
| 18 |
 |
 |
|
| 19 |
 |
 |
|
| 20 |
 |
 |
 |
Scapula p.a. , liegend oder stehend (ventro-dorsal)
Es wurden keine Bilder gefunden.
Darstellung der Scapula, wobei diese in ihrem medialen Teil von den Rippen überdeckt wird, sowie die Gelenkpfanne des AC-Gelenks. Durch starke Abduktion des Arms kann die mittlere Scapulaspitze von den Rippen frei projiziert werden.
Indikation und Beurteilungskriterien
Habituelle Luxation, gute Beurteilbarkeit der Relation zwischen Humeruskopf zur Glenoidpfanne.
| Alter |
Männlich |
Weiblich |
Unbekannt |
| <1 |
 |
 |
 |
| 1 |
 |
 |
|
| 2 |
 |
 |
|
| 3 |
 |
 |
|
| 4 |
 |
 |
|
| 5 |
 |
 |
|
| 6 |
|
 |
|
| 7 |
 |
 |
|
| 8 |
 |
 |
|
| 9 |
 |
 |
|
| 10 |
 |
 |
|
| 11 |
 |
 |
 |
| 12 |
 |
 |
|
| 13 |
 |
 |
|
| 14 |
 |
 |
|
| 15 |
 |
 |
|
| 16 |
 |
 |
|
| 17 |
 |
 |
|
| 18 |
 |
 |
|
| 19 |
 |
 |
|
| 20 |
 |
 |
 |
Scapula lateral (tangential, Leer-Larché)
Es wurden keine Bilder gefunden.
Indikation
Impingementsyndrom und Rotatorenmanschettenläsion
Indikationen und Beurteilungskriterien
- Rotatorenmanschettenruptur (2,3): acromiohumerale Abstand <10 mm = Humeruskopf-Hochstand (< 10 mm verdächtig, < 6 mm beweisend). Knöcherne Vorsprünge am Schulterdach oder Oberarmkopf?, Methode der 1. Wahl = Sonographie
- Impingementsyndrom (2): Neigungswinkel des Acromions? Je gebogener bzw. hakenförmiger desto wahrscheinlicher ist ein Impingment, Zystenbildung im Bereich des Tuberculum majus, Subchondrale Sklerosierung des Tuberculum majus und subakromiale Osteophytenbildung (v.a. bei Beziehung zum Ursprung des Lig. acromioclaviculare), Sehnenverkalkungen (Supraspinatussehne)?
- bei Luxationen: Anteriore Luxation, Posteriore Luxation
- CAVE: Begleitverletzungen? (-> heute umfassend mit CT/MRT zu beurteilen)
- Hill- Sachs Läsion = Dorsokraniale Humeruskopf- Impressionsfraktur (50%) (Aufnahme der 1. Wahl: Stryker oder CT)
- umgekehrte Hill-Sachs Läsion = anteromediale Impression nach hinterer Luxation
- Bankart-Läsion: Abriss des vorderen Labrum-Kapsel-Komplexes bzw. Abrissfraktur des vorderen unteren Glenoidrandes (-> CT-Athrographie, Arthro-MRT)
- Tuberculum majus (15%), Pfannenrand
| Alter |
Männlich |
Weiblich |
Unbekannt |
| <1 |
 |
 |
 |
| 1 |
 |
 |
|
| 2 |
 |
 |
|
| 3 |
 |
 |
|
| 4 |
 |
 |
|
| 5 |
 |
 |
|
| 6 |
|
 |
|
| 7 |
 |
 |
|
| 8 |
 |
 |
|
| 9 |
 |
 |
|
| 10 |
 |
 |
|
| 11 |
 |
 |
 |
| 12 |
 |
 |
|
| 13 |
 |
 |
|
| 14 |
 |
 |
|
| 15 |
 |
 |
|
| 16 |
 |
 |
|
| 17 |
 |
 |
|
| 18 |
 |
 |
|
| 19 |
 |
 |
|
| 20 |
 |
 |
 |
Konversation wird geladen