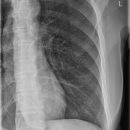
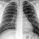
Thorax p.a. & Thorax seitlich
Es wurden keine Bilder gefunden.
Art und Häufigkeit traumatischer Thoraxverletzungen
Cave: Begleitverletzungen!
| 50 % Schädel-Hirn-Trauma |
40 % Extremitätenfrakturen |
| 20 % Abdominaltrauma |
15 % Beckenfrakturen |
| 10 % Gesichtsschädel |
10 % Wirbelsäulenverletzungen |
Diagnostik
- Thorax ap + Songraphie (Pleura, Perikard, Abdomen) Großzügige CT-Indikation!
- Absolute CT-Indikationen: V.a. Gefäß-, Zwerchfell-, Ösophagus-, Tracheobronchialverletzungen
- Oberes/Unteres Rippengitter bzw. knöcherner Hemithorax
- Evtl. Bronchoskopie (Tracheobronchialverletzung)
- Evtl. Herzecho (Abklärung Contusio cordis)
- Evtl. Angiographie (Gefäßverletzungen)
- Evtl. Kontrastmitteldarstellung des Ösophagus, MDP (Ösophagus- Zwerchfellruptur
- Beurteilungskriterien:
| - pathologische Aufhellungen? |
|
| - pathologische Verschattungen? |
|
| - Rippenfrakturen? (vgl. unten) |
|
| - Mediastinalverlagerung? |
|
| - Mediastinalverbreiterung? |
|
| - Zwerchfellkontur und –position? |
|
| - Tubusverlagerung? |
|
| - Herz? |
|
| - Fremdkörper? |
|
- Pneumomediastinum
Mediastinalemphysem |
- Oesopagusruptur, Trachealruptur
|
Cave:
- Zeichen eines (kleineren) ventralen Pneus im Liegenthorax:
- Scharfer bzw. tiefreichender Zwerchfellrippenwinkel
- Ungewöhnlich scharfe Herz- oder Mediastinalkontur
- Scharfe, bis paravertebral ins Mediastinum reichende Zwerchfellkontur
- erhöhte Transparenz des Leber- oder Milzfeldes
- Spannungspneu:
- Mediastinalverlagerung zur gesunden Seite
- Zwerchfelltiefstand, Zwerchfellabflachung
- Kompressionsatelektase der Lunge (kann bei gleichzeitiger Lungenkontusion -„stiff lung“ – völlig fehlen)
- nativradiologische Befunde bei Aortenruptur:
- Mediastinalverbreiterung (>8cm auf Aortenknopfhöhe)
- Trachealverlagerung nach rechts
- „Left apical cap“
- Kaudalverlagerung linker Stammbronchus
- Hämatothorax links
- Verkleinerter Karinawinkel
- Ösophagussondenverlagerung nach rechts
| Alter |
Männlich |
Weiblich |
Unbekannt |
| <1 |
|
|
|
| 1 |
 |
 |
|
| 2 |
 |
|
|
| 3 |
|
 |
|
| 4 |
|
 |
|
| 5 |
 |
 |
|
| 6 |
|
 |
|
| 7 |
 |
 |
|
| 8 |
 |
|
|
| 9 |
 |
|
|
| 10 |
|
 |
|
| 11 |
|
|
|
| 12 |
|
|
|
| 13 |
 |
|
|
| 14 |
|
 |
|
| 15 |
 |
|
|
| 16 |
 |
|
|
| 17 |
|
 |
|
| 18 |
|
|
|
| 19 |
 |
 |
|
| 20 |
|
 |
|
Sternum lateral
Es wurden keine Bilder gefunden.
Sternumfrakturen
selten, bei < 3 % aller schweren Thoraxtraumen, typ. Lenkradverletzung
- Lokalisation: meist Querfrakturen der Synchondrose zwischen Manubrium und Korpus, oberer Korpusabschnitt
- Röntgenologisch meist nur bei Konturversatz zu erkennen
- Indirekte Frakturzeichen: prä-/retrosternale Weichteilschwellung
- Alternative Diagostik: Sonographie, CT
- typische Begleitverletzung: Herzkontusion, Rippenfrakturen, Hämato-/Pneumothorax
| Alter |
Männlich |
Weiblich |
Unbekannt |
| <1 |
|
|
|
| 1 |
 |
 |
|
| 2 |
 |
|
|
| 3 |
|
 |
|
| 4 |
|
 |
|
| 5 |
 |
 |
|
| 6 |
|
 |
|
| 7 |
 |
 |
|
| 8 |
 |
|
|
| 9 |
 |
|
|
| 10 |
|
 |
|
| 11 |
|
|
|
| 12 |
|
|
|
| 13 |
 |
|
|
| 14 |
|
 |
|
| 15 |
 |
|
|
| 16 |
 |
|
|
| 17 |
|
 |
|
| 18 |
|
|
|
| 19 |
 |
 |
|
| 20 |
|
 |
|
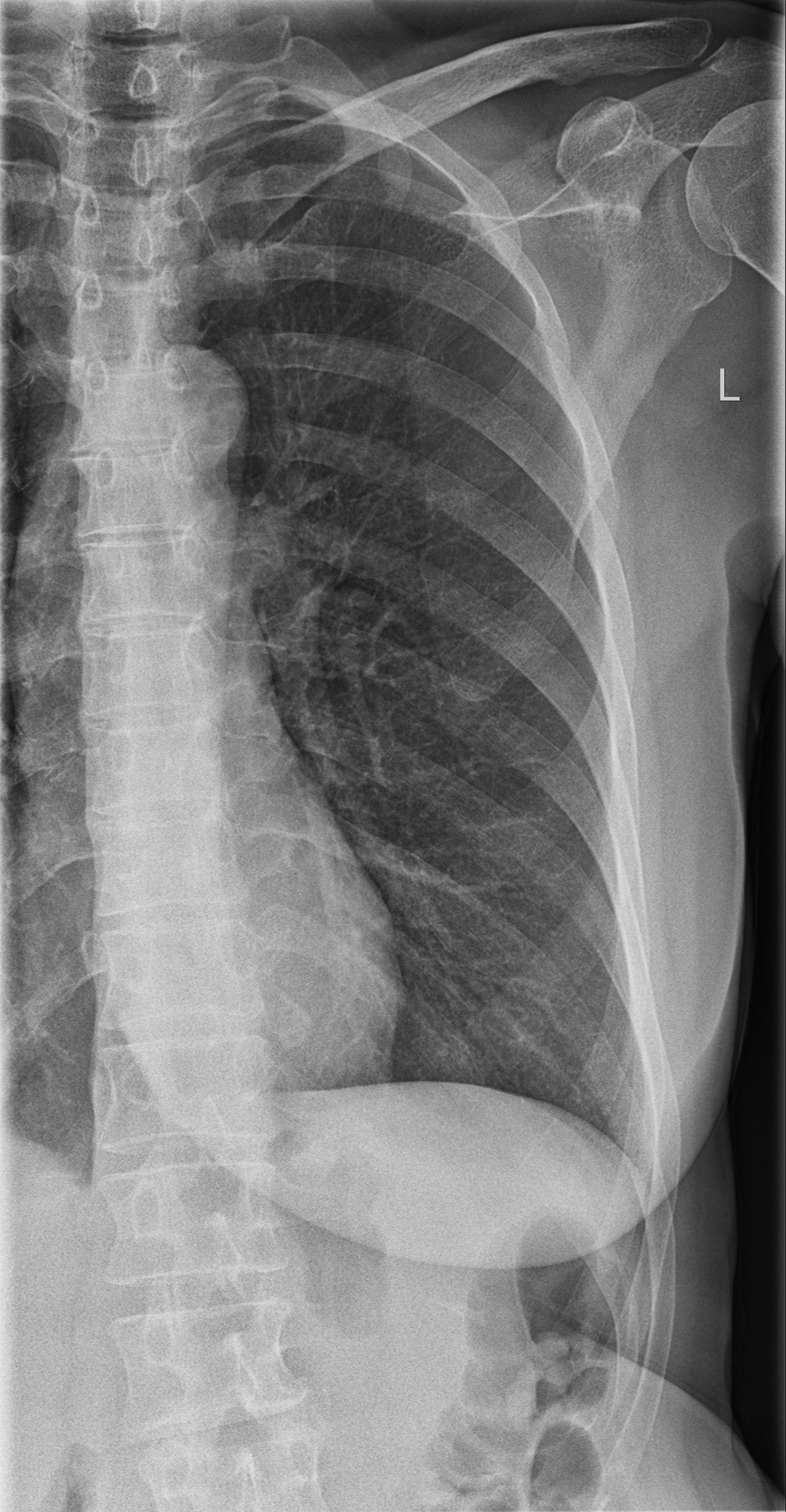
Rippen
Es wurden keine Bilder gefunden.
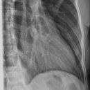
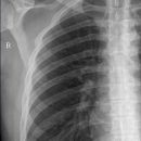
Rippenfrakturen
Standardaufnahmen sind die Thorax ap (Begleitverletzungen!) – und die Aufnahme des knöchernen Hemithorax bzw. des oberen und unteren knöchernen Hemithorax.
Cave: Rippenfrakturen sind die häufigste Skelettverletzung überhaupt! Röntgenologisch werden nur etwa 70% der Rippenfrakturen nachgewiesen! Bei Rippenserienfrakturen wird das Ausmaß meist unterschätzt. Klinische Diagnose, bis auf wenige Ausnahmen (massive Dislokation, schwere pulmonale Läsionen) konservative Therapie! Wichtiger ist der Nachweis begleitender Komplikationen!
Frakturzeichen
Aufhellungs- oder Verdichtungslinie (meist vertikal oder schräg verlaufend) Konturunterbrechung bzw. Stufenbildung insbesondere der Rippenoberkante.
Frakturzeichen
Aufhellungs- oder Verdichtungslinie (meist vertikal oder schräg verlaufend) Konturunterbrechung bzw. Stufenbildung insbesondere der Rippenoberkante.
Einteilung
Einzelfraktur, Serienfrakturen (2,3) (>2 benachbarte Rippen), Stückfrakturen
Lokalisation
meist mittleres oder hinteres Drittel der 4.-9. Rippe.
Besondere Lokalisationen/Komplikationen
- Frakturen der oberen drei Rippen treten nur bei großer Gewalteinwirkung auf (Schutz durch Schultergürtel) -> Kombination mit schweren inneren Verletzungen (Herzkontusion, Aortenruptur, Verletzungen des
- Tracheobronchialsystems)? Zudem Verletzungen der A./V.subclavia oder des Plexus!
- Serienfrakturen 30% bilateral, häufiger Hämato-/Pneumothorax
- Laterale und ventrale Stückfrakturen führen zu einer instabilen Thoraxwand mit paradoxer Atembewegung -> respiratorische Insuffizienz?
- Cave: Röntgenologisch einfache Serienfraktur + nicht sichtbare costochodrale/ costotransversale Frakturserie -> instabiler Thorax!
- Begleitverletzungen bei Frakturen der unteren Rippen: Leber-, Nieren-, Milzverletzungen
- Falls digitale Nachbearbeitung möglich ist, Inversion und Randkantenanhebung hilfreich.
| Alter |
Männlich |
Weiblich |
Unbekannt |
| <1 |
|
|
|
| 1 |
 |
 |
|
| 2 |
 |
|
|
| 3 |
|
 |
|
| 4 |
|
 |
|
| 5 |
 |
 |
|
| 6 |
|
 |
|
| 7 |
 |
 |
|
| 8 |
 |
|
|
| 9 |
 |
|
|
| 10 |
|
 |
|
| 11 |
|
|
|
| 12 |
|
|
|
| 13 |
 |
|
|
| 14 |
|
 |
|
| 15 |
 |
|
|
| 16 |
 |
|
|
| 17 |
|
 |
|
| 18 |
|
|
|
| 19 |
 |
 |
|
| 20 |
|
 |
|
Konversation wird geladen