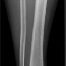
Unterschenkel

Unterschenkel a.p. und seitlich
Es wurden keine Bilder gefunden.

Normalerweise ergeben sich bei Unterschenkelschaftfrakturen keine größeren diagnostischen Probleme. Aufnahmen in zwei Ebenen sind normalerweise ausreichend. In der Regel frakturieren Tibia und Fibula gemeinsam: „komplette Unterschenkelschaftfraktur“.
Cave:

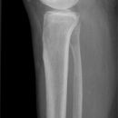
Gefäßkanäle können selten Fissuren vortäuschen und laufen typischerweise von proximal-lateral nach distal-medial und zeigen eine feine Randsklerose!

Zur sicheren Abschätzung von Rotationsfehlstellungen sollte immer der ganze Unterschenkel mit angrenzenden Gelenken abgebildet sein!

Isolierte Fibulafrakturen sind selten! Auch bei hohen Fibulafrakturen unbedingt nach primären Verletzungen des OSG fanden! Maisonneuve-Fraktur!

Bei Kindern auf Epiphysenfugenverletzungen achten Achsgerechte Stellung der Epiphyse in beiden Ebenen? Weite der Fugen (normalerweise 3-6mm)? evtl. Gegenseite zum Vergleich röntgen!

AO-Klassifikation der Unterschenkelfrakturen

Konversation wird geladen