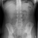
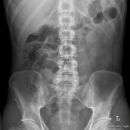
Abdomen

Abdomen liegend a.-p.
Es wurden keine Bilder gefunden.

Technik

  • FDA: 1,15 m (1-1,20m)
  • Ausgangsformat: Flachdetektor oder 35/43 hoch
  • mit Raster

Indikation

nach begründeter Indikation Zusatzaufnahme nach p.-a.,
nach Kontrastmittelgabe oral – Spätaufnahmen, Transitzeitbestimmung

Lagerung

Rückenlage, Arme entlang des Körpers

Zentralstrahl

Querstrahl: ergibt sich - unteres Licht auf oberen Symphysenrand
Längsstrahl: Medianebene

Einblendung

Längs: volles Format
Lateral Hautgrenze Höhe Beckenkamm

Bemerkung

in Atemstillstand - Exspiration

Qualitätskriterien

Untere Bildbegrenzung: Symphysenunterrand, obere Bildbegrenzung: beide Zwerchfell. Wirbelsäule in der Mitte. Die Belichtung sollte es erlauben, den Leberunterrand, die Nierenkonturen, die Psoasrandkonturen sowie die Bauchwand und Fettlinien zu erkennen.

  • Aufnahmedaten
  • Pädiatrische Besonderheiten
  • Vorbereitung des Patienten
Aufnahmeart: Rastertisch
Belichtungsautomatik: mittleres oder beide seitlichen Messfelder
Bildempfängerdosis: SC 400
Fokus-Detektor-Abstand: 115 cm
Brennflecknennwert: ≤1,3
Aufnahmespannung: 80 – 100 kV
Expositionszeit: < 100 ms
Streustrahlenraster: r 12 (8)
Aufnahmeart: Zusätzliche Aufnahme in Bauchlage/Bauchhangelage bei anorektalen Malformationen
Aufnahmespannung: 65 – 85 kV
Zusatzfilterung: 1 mm Al + mindestens 0,1 mm Cu
Bildempfängerdosis: SC 800 (400)
Brennflecknennwert: 0,6 (≤ 1,3)
Streustrahlenraster: r 8, ab dem 8. Lebensjahr
Belichtungsautomatik: nur wenn Streustrahlenraster verwendet wird
Strahlenschutz: angrenzenden Thorax mit Bleigummiabdeckung, Hodenkapsel
  • Datenabgleich, Schwangerschaft
  • Voraufnahmen
  • Abdomen / Becken von Kleidung und störenden Metallen frei machen
  • Gonadenschutz anlegen je nach Fragestellung = < 18 Jahre
  • Kopf wegdrehen vom Strahlenfeld

Abdomen p.-a.
Es wurden keine Bilder gefunden.

Technik

  • FDA: 1,15 – 1,50 m
  • Ausgangsformat: Flachdetektor oder 35/43 hoch
  • mit Raster

Indikation

freie Luft; Ileus, röntgendichte Fremdkörper

Lagerung

stehend am Stativ – Bauch anliegend
Arme umgreifen das Gerät oder liegen auf Stativ auf

Zentralstrahl

Querstrahl: 2-3 QF über Beckenkamm
Längsstrahl: Medianebene (WS)

Einblendung

Längs: volles Format,
lateral Hautgrenze Höhe Beckenkamm

Bemerkung

in Atemstillstand - Inspiration
komplette Abbildung des Zwerchfells

Qualitätskriterien

Die Zwerchfellkuppen sollen gut abgrenzbar sein. Konturen von Leber, Nieren und Psoas sowie seitlich die Bauchwand sollen erkennbar sein.

  • Aufnahmedaten
  • Pädiatrische Besonderheiten
  • Vorbereitung des Patienten
Aufnahmeart: Rasterwandgerät im Stehen
Belichtungsautomatik: mittleres oder beide seitlichen Messfelder
Bildempfängerdosis: SC 400
Fokus-Detektor-Abstand: 115 cm
Brennflecknennwert: ≤1,3
Aufnahmespannung: 100 – 125 kV
Expositionszeit: < 100 ms
Streustrahlenraster: r 12 (8)
Aufnahmeart: Zusätzliche Aufnahme in Bauchlage/Bauchhangelage bei anorektalen Malformationen
Aufnahmespannung: 100 kV
Zusatzfilterung: 1 mm Al + mindestens 0,1 mm Cu
Bildempfängerdosis: SC 800 (400)
Brennflecknennwert: 0,6 (≤ 1,3)
Streustrahlenraster: r 8, ab dem 8. Lebensjahr
Belichtungsautomatik: nur wenn Streustrahlenraster verwendet wird
Strahlenschutz: angrenzenden Thorax mit Bleigummiabdeckung, Hodenkapsel
  • Datenabgleich, Schwangerschaft
  • Voraufnahmen
  • Abdomen / Becken von Kleidung und störenden Metallen frei machen
  • Gonadenschutz anlegen je nach Fragestellung = < 18 Jahre
  • Kopf wegdrehen vom Strahlenfeld

Abdomen p.-a. oder a.-p. in Linksseitenlage
Es wurden keine Bilder gefunden.

Technik

  • FDA: 1,15 -1,50 m
  • Ausgangsformat: Flachdetektor oder 35/43 quer
  • mit Raster

Indikation

freie Luft; Ileus, röntgendichte Fremdkörper

Lagerung

mit Rücken oder Bauch am Stativ
Arme nach oben nehmen lassen
Beine gebeugt (stabile Lage)

Zentralstrahl

Querstrahl: 2-3 QF über Beckenkamm
Längsstrahl: Medianebene (WS)

Einblendung

volles Format

Bemerkung

in Atemstillstand - Inspiration
komplette Abbildung des Zwerchfells

vor Aufnahme sollte Patient mind. 10 min auf der Seite liegen

Qualitätskriterien

Gute Darstellung der rechten Brustwand- und Flankenkontur, wo sich ggf. freie Luft ansammeln kann. Das Zwerchfell ist bei dieser Aufnahme die orientierende anatomische Struktur.

  • Aufnahmedaten
  • Pädiatrische Besonderheiten
  • Vorbereitung des Patienten
Aufnahmeart: Rasterwandgerät im Liegen
Belichtungsautomatik: mittleres oder beide seitlichen Messfelder
Bildempfängerdosis: SC 400
Fokus-Detektor-Abstand: 115 cm
Brennflecknennwert: ≤1,3
Aufnahmespannung: 100 – 125 kV
Expositionszeit: < 100 ms
Streustrahlenraster: r 12 (8)
Aufnahmeart: Zusätzliche Aufnahme in Bauchlage/Bauchhangelage bei anorektalen Malformationen
Aufnahmespannung: 100 kV
Zusatzfilterung: 1 mm Al + mindestens 0,1 mm Cu
Bildempfängerdosis: SC 800 (400)
Brennflecknennwert: 0,6 (≤ 1,3)
Streustrahlenraster: r 8, ab dem 8. Lebensjahr
Belichtungsautomatik: nur wenn Streustrahlenraster verwendet wird
Strahlenschutz: angrenzenden Thorax mit Bleigummiabdeckung, Hodenkapsel
  • Datenabgleich, Schwangerschaft
  • Voraufnahmen
  • Abdomen / Becken von Kleidung und störenden Metallen frei machen
  • Gonadenschutz anlegen je nach Fragestellung = < 18 Jahre
  • Kopf wegdrehen vom Strahlenfeld
Konversation wird geladen