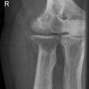
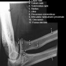
Ellenbogen ventro-dorsal (1. Ebene a.-p.)
Es wurden keine Bilder gefunden.
Beurteilungskriterien
- Lage der Tuberositas radii zeigt die Stellung des Unterarms: Supination -> Tuberositas zeigt nach medial, Pronation -> Tuberositas zeigt nach lateral
- Physiologische Valgusstellung von 10 – 15°
- Ellenbogengelenkspaltweite: etwa 3mm
- Auftreten, Verschmelzung und Lokalisation der Epiphysenkerne -> Verlagerung? vgl. Anatomie Kids! Viele kindliche Verletzungen sind anhand der Verlagerung der Knochenkerne differenzierbar! Evtl. Vergleich mit Gegenseite oder MRT hilfreich.
- Target areas: Kontinuität der Knochenkontur der Fossa olecrani , der Epikondylen und Kondylen, des Olecranons.
Harmonische Darstellung des Radiusköpfchens? Impressionen? Stufe? Verdichtungen, Fissur? Knickbildung im leicht geschwungenen Radiuskopf-/Hals-Übergangs?
Cave: 50% der Radiusköpfchenfraktur sind nicht disloziert und u.U. nicht nachweisbar -> bei klinischem Verdacht ist ein positives Fettpolsterzeichen in der seitlichen Aufnahme nahezu beweisend! -> Greenspan-Aufnahme, evtl. CT oder MRT!
- Erhaltene Radius-Kapitulum-Achse? Versatz -> Luxation?
- Täuschungsmöglichkeiten: Persistierende Apophysen an Epikondylus medialis, Olecranonspitze, medialem Trochlearand oder Processus coronoideus
- Umgebende Leitungsbahnen: besonders gefährdet bei stark dislozierten Verletzungen sind der N.ulnaris (verläuft im seiner Knochenrinne durch den distalen mediodorsalen Humerus und die A.brachialis (zusammen mit N.medianus ventral des Gelenks)
- Kids: Baumannscher Winkel: Humeruslängsachse – Gerade durch die Epiphysenfuge des Capitulums ~ 70-75°. Wichtig für die Beurteilung der Repositionskontrolle nach supracondylärer Humerusfraktur
| Alter |
Männlich |
Weiblich |
Unbekannt |
| <1 |
|
|
|
| 1 |
|
 |
|
| 2 |
|
 |
|
| 3 |
|
|
|
| 4 |
|
|
|
| 5 |
|
 |
|
| 6 |
|
|
|
| 7 |
|
|
|
| 8 |
|
|
|
| 9 |
|
|
|
| 10 |
|
|
|
| 11 |
|
|
|
| 12 |
 |
|
|
| 13 |
|
 |
|
| 14 |
 |
|
|
| 15 |
 |
|
|
| 16 |
|
 |
|
| 17 |
|
|
|
| 18 |
|
|
|
| 19 |
|
|
|
| 20 |
|
|
 |
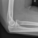
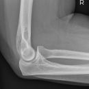
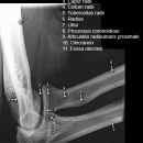
Ellenbogen seitlich (2. Ebene radio-ulnar)
Es wurden keine Bilder gefunden.
Beurteilungskriterien
- Weichteilzeichen: Verlagerung des ventralen (proximal der Fossa coronoidea bis 5mm breit ist normal) und dorsalen distalen Humerusfettkörpers (normalerweise nicht sichtbar), Supinatorfettlinie: normalerweise etwa 3-4cm lang und 2-3mm breit, parallel zum proximalen Radius
- Target areas: vordere und hintere Humeruskontur, Radiusköpfchen, Processus coronoideus (evtl. zusätzlich 45°-Schrägaufnahme), Olecranon, harmonische Darstellung des Radiusköpfchen? Impressionen? Stufe? Verdichtungen, Fissur? Knickbildung?
- Auftreten, Verschmelzung und Lokalisation der Epiphysenkerne -> Verlagerung? vgl. Anatomie Kids! Viele kindliche Verletzungen sind anhand der Verlagerung der Knochenkerne differenzierbar! Evtl. Vergleich mit Gegenseite oder MRT hilfreich.
- Täuschungsmöglichkeiten: Persistierende Apophysen an Olecranonspitze oder Processus coronoideus, Kortikaliseinkerbungen als Residuen der Epiphysenfugen (v.a. des Olecranons)
- Kids: Kreuzung vordere Humeruslinie mit Radiushalsachse im mittleren Capitulumdrittel? Abweichung -> dislozierte, supracondyläre Humerusfraktur? Epiphysenfugenverletzung? Dislokation des proximalen Radius? Luxation?
Cave:
- 50% der Radiusköpfchenfraktur sind nicht disloziert und u.U. nicht nachweisbar -> bei klinischem Verdacht ist ein positives Fettpolsterzeichen nahezu beweisend! Greenspan-Aufnahme, evtl. CT oder MRT!
- Distale Humerusfraktur (Trochlea oder Capitulum) mit frontaler Bruchebene -> "Halbmondzeichen" durch plankonvexe(s) und in die Fossa cubiti dislozierte(s) Fragment(e) -> CT zur Beurteilung der Gelenkflächenverhältnisse.
- Komplexe Frakturen, Gelenkflächenverhältnisse? -> CT
Beispiele
| Alter |
Männlich |
Weiblich |
Unbekannt |
| <1 |
|
|
|
| 1 |
|
 |
|
| 2 |
|
 |
|
| 3 |
|
|
|
| 4 |
|
|
|
| 5 |
|
 |
|
| 6 |
|
|
|
| 7 |
|
|
|
| 8 |
|
|
|
| 9 |
|
|
|
| 10 |
|
|
|
| 11 |
|
|
|
| 12 |
 |
|
|
| 13 |
|
 |
|
| 14 |
 |
|
|
| 15 |
 |
|
|
| 16 |
|
 |
|
| 17 |
|
|
|
| 18 |
|
|
|
| 19 |
|
|
|
| 20 |
|
|
 |
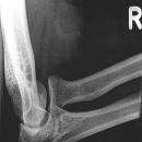
Radiusköpfchen; Greenspan
Es wurden keine Bilder gefunden.
Beurteilungskriterien
Proximale Radiusfrakturen sind mit 50% die häufigsten Ellbogenverletzungen des Erwachsenen (Kinder 15%)! 50% der Radiusköpfchenfrakturen sind nicht disloziert und u.U. in den Standartprojektionen nicht nachweisbar -> bei klinischem Verdacht ist ein positives Fettpolsterzeichen in der seitlichen Aufnahme nahezu beweisend! Zusätzlich Greenspan-Aufnahme, evtl. CT oder MRT! Harmonische Darstellung des Radiusköpfchens? Impressionen? Stufe? Verdichtungen? Fissur? Knickbildung?
| Alter |
Männlich |
Weiblich |
Unbekannt |
| <1 |
|
|
|
| 1 |
|
 |
|
| 2 |
|
 |
|
| 3 |
|
|
|
| 4 |
|
|
|
| 5 |
|
 |
|
| 6 |
|
|
|
| 7 |
|
|
|
| 8 |
|
|
|
| 9 |
|
|
|
| 10 |
|
|
|
| 11 |
|
|
|
| 12 |
 |
|
|
| 13 |
|
 |
|
| 14 |
 |
|
|
| 15 |
 |
|
|
| 16 |
|
 |
|
| 17 |
|
|
|
| 18 |
|
|
|
| 19 |
|
|
|
| 20 |
|
|
 |
Konversation wird geladen