Ellenbogen

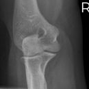
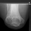
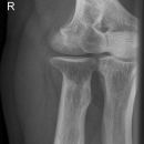
Ellenbogen ventro-dorsal (1. Ebene a.-p.)
Es wurden keine Bilder gefunden.

Technik

  • FDA: 1,05 m
  • Ausgangsformat 18/24
  • Übertischaufnahme

Indikation

Fraktur, Luxation, degenerative Veränderungen

Lagerung

sitzend - seitlich zum Tisch
Unterarm und Oberarm eine Höhe
Arm ausgestreckt und Hand in Supination

Zentralstrahl

Zentralstrahl auf Objektmitte

Einblendung

5 QF proximal und distal vom Gelenk

Anmerkung

Freie Projektion des Gelenkspalts bei Fragestellung nach Frakturen, supracondyläre bzw. epicondyläre Kernauflösung bei Kindern. Wichtig: kann das Gelenk nicht gestreckt werden, müssen Unterarm und Oberarm getrennt aufliegend geröntgt werden, d.h. 2 Aufnahmen, bei Gips empfiehlt sich eine Radiusköpfchen- bzw. Processus coronoideus- Aufnahme bei 45°.

Falls Ellenbogengelenk nicht gestreckt werden kann eventuell Beginn mit seitlicher Aufnahme oder nach Indikation Ober- oder Unterarm aufliegend.

Abbildungskriterien

distale Humerunsanteile: Epikondylen, Capitulum humeri
proximale Unterarmanteile: Radius-Radiusköpfchen und -hals, Ulna -Schaft, Körper, Olecranon

Qualitätskriterien

Ellenbogengelenk vollständig a.p. orthograd abgebildet, Gelenkspalt in Filmmitte und überlagerungsfrei.

  • Aufnahmedaten
  • Pädiatrische Besonderheiten
  • Vorbereitung des Patienten
Aufnahmeart: ohne Raster
Belichtungsautomatik: ohne
Bildempfängerdosis: SC 200
Fokus-Detektor-Abstand: 105 cm
Brennflecknennwert: 0,6 (≤1,3)
Aufnahmespannung: 55 – 65 kV
Aufnahmeart: Aufnahmetisch
Zusatzfilterung: 1 mm Al + mindestens 0,1 mm Cu
Bildempfängerdosis: SC 400
Brennflecknennwert: 0,6 (≤ 1,3)
Belichtungsautomatik: ohne
Strahlenschutz: Bleigummiabdeckung der unmittelbar anschließenden Abschnitte des Körperstamms
  • Datenabgleich, Schwangerschaft
  • Voraufnahmen
  • Ellenbogen frei von Schmuck, Bekleidung
  • Bleischutz/Gonadenschutz = < 18 Jahre
  • Kopf wegdrehen vom Strahlenfeld

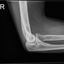
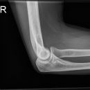
Ellenbogen seitlich (2. Ebene radio-ulnar)
Es wurden keine Bilder gefunden.

index.png

Technik

  • FDA: 1,05m
  • Ausgangsformat 18/24
  • Übertischaufnahme

Indikation

Fraktur, Luxation, degenerative Veränderungen

Lagerung

sitzend - seitlich zum Tisch
Unterarm und Oberarm eine Höhe
Ellenbogengelenk um 90° angewinkelt
Handgelenk seitlich aufgestellt
Hand unterpolstern

Zentralstrahl

senkrecht auf Gelenk (Kuhle-Radiusköpfchen)

Einblendung

4 QF proximal und distal

Anmerkung

Weitgehend freie Projektion des Radiusköpfchens, das sich als Oval abzeichnet, lediglich vom Processus coronoideus anteilig überlagert. Unterarm darf nicht abhängen.

Qualitätskriterien

Ellenbogengelenk vollständig seitlich orthograd abgebildet. Humeroulnar Gelenkspalt einsehbar. Humeruskondylen müssen sich decken, das Radiusköpfchen soll gut beurteilbar sein.

  • Aufnahmedaten
  • Pädiatrische Besonderheiten
  • Vorbereitung des Patienten
Aufnahmeart: ohne Raster
Belichtungsautomatik: ohne
Bildempfängerdosis: SC 200
Fokus-Detektor-Abstand: 105 cm
Brennflecknennwert: 0,6 (≤1,3)
Aufnahmespannung: 55 – 65 kV
Aufnahmeart: Aufnahmetisch
Zusatzfilterung: 1 mm Al + mindestens 0,1 mm Cu
Bildempfängerdosis: SC 400
Brennflecknennwert: 0,6 (≤ 1,3)
Belichtungsautomatik: ohne
Strahlenschutz: Bleigummiabdeckung der unmittelbar anschließenden Abschnitte des Körperstamms
  • Datenabgleich, Schwangerschaft
  • Voraufnahmen
  • Ellenbogen frei von Schmuck, Bekleidung
  • Bleischutz/Gonadenschutz = < 18 Jahre
  • Kopf wegdrehen vom Strahlenfeld

Ellenbogen seitlich nach N. Stjepanovic
Es wurden keine Bilder gefunden.

Technik

  • FDA: 1,05 m
  • Ausgangsformat 18/24
  • Übertischaufnahme

Lagerung

wie Ellenbogen lateral gelagert
Oberarm mit einem 10°Keil anheben und gleichzeitig auch den Unterarm um 15° mit einem Keilkissen anheben
Detektor auf den Kissen und unter dem Ellenbogen legen, so dass sie auf nur auf der einen Ecke aufliegt

Zentralstrahl

Senkrecht zum Tisch keine Winkel einstellen.

Einblendung

4 QF proximal und distal

Anmerkung

Aufgrund der Winkelung von 10° bzw 15° erscheinen paar Strukturen verkürzt.

Qualitätskriterien

Durch diese exakte Einstellung von N. Stjepanovic ist das humero-ulnar-Gelenk sehr gut einsehbar.

  • Aufnahmedaten
  • Pädiatrische Besonderheiten
  • Vorbereitung des Patienten
Aufnahmeart: ohne Raster
Belichtungsautomatik: ohne
Bildempfängerdosis: SC 200
Fokus-Detektor-Abstand: 105 cm
Brennflecknennwert: 0,6 (≤1,3)
Aufnahmespannung: 55 – 65 kV
Aufnahmeart: Aufnahmetisch
Zusatzfilterung: 1 mm Al + mindestens 0,1 mm Cu
Bildempfängerdosis: SC 400
Brennflecknennwert: 0,6 (≤ 1,3)
Belichtungsautomatik: ohne
Strahlenschutz: Bleigummiabdeckung der unmittelbar anschließenden Abschnitte des Körperstamms
  • Datenabgleich, Schwangerschaft
  • Voraufnahmen
  • Ellenbogen frei von Schmuck, Bekleidung
  • Bleischutz/Gonadenschutz = < 18 Jahre
  • Kopf wegdrehen vom Strahlenfeld

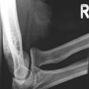
Radiusköpfchen
Es wurden keine Bilder gefunden.

Technik

  • FDA: 1,05 m - Übertisch
  • Ausgangsformat 18/24
  • Röhrenkippung 45° medio-lateral

Indikation

Fraktur

Lagerung

sitzend - seitlich zum Tisch
Unterarm und Oberarm möglichst auf eine Höhe
Arm ausgetreckt und Hand in Supination

Zentralstrahl

Querzentrierung: 1 QF unter Ellenbogengelenk
Längszentrierung: 1 QF von Mitte Ellenbogengelenk nach medial

Einblendung

handbreit in der Länge; lateral bis Hautgrenze medial

Bemerkung

Kann der Patient den Arm nicht voll durchstrecken, so kann diese Aufnahme auch in Beugung aufgenommen werden, dabei liegt der Unterarm auf (Hand in Supination) z.B. bei Gipskontrolle. -> Greenspan-Aufnahme.

Qualitätskriterien

Orthograde, überlagerungsfreie Abbildung des Radiusköpfchen, freie Darstellung der Articulatio humero-ulnaris

  • Aufnahmedaten
  • Pädiatrische Besonderheiten
  • Vorbereitung des Patienten
Aufnahmeart: ohne Raster
Belichtungsautomatik: ohne
Bildempfängerdosis: SC 200
Fokus-Detektor-Abstand: 105 cm
Brennflecknennwert: 0,6 (≤1,3)
Aufnahmespannung: 55 – 65 kV
Aufnahmeart: Aufnahmetisch
Zusatzfilterung: 1 mm Al + mindestens 0,1 mm Cu
Bildempfängerdosis: SC 400
Brennflecknennwert: 0,6 (≤ 1,3)
Belichtungsautomatik: ohne
Strahlenschutz: Bleigummiabdeckung der unmittelbar anschließenden Abschnitte des Körperstamms
  • Datenabgleich, Schwangerschaft
  • Voraufnahmen
  • Ellenbogen frei von Schmuck, Bekleidung
  • Bleischutz/Gonadenschutz = < 18 Jahre
  • Kopf wegdrehen vom Strahlenfeld

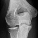
Greenspan
Es wurden keine Bilder gefunden.

Technik

  • FDA: 1,05 m - Übertisch
  • Ausgangsformat 18/24
  • Röhrenkippung 45° latero-medial

Indikation

Fraktur

Lagerung

sitzt seitlich am Tisch
Oberarm, Ellenbogen und Unterarm liegen in gleicher Höhe
Ellenbogen 90° gebeugt
Handfläche liegt auf Detektor (auf Grund Bewegungseinschränkung oder Gips)

Zentralstrahl

Zielt im Winkel von 45° zum Unterarm auf das Radiusköpfchen – Radiusköpfchen liegt plattenfern. Aufnahme wird in umgekehrter Strahlenrichtung aufgenommen, als bei ausgestrecktem Arm.

Bemerkung

Diese Aufnahme sollte aber nur in Ausnahmefällen angewendet werde, da sie aus strahlenhygienischer Sicht durch die Strahlrichtung auf den Körper zu problematisch ist!

Qualitätskriterien

Orthograde, überlagerungsfreie Abbildung des Radiusköpfchen, freie Darstellung der Articulatio humero-ulnaris

  • Aufnahmedaten
  • Pädiatrische Besonderheiten
  • Vorbereitung des Patienten
Aufnahmeart: ohne Raster
Belichtungsautomatik: ohne
Bildempfängerdosis: SC 200
Fokus-Detektor-Abstand: 105 cm
Brennflecknennwert: 0,6 (≤1,3)
Aufnahmespannung: 55 – 65 kV
Aufnahmeart: Aufnahmetisch
Zusatzfilterung: 1 mm Al + mindestens 0,1 mm Cu
Bildempfängerdosis: SC 400
Brennflecknennwert: 0,6 (≤ 1,3)
Belichtungsautomatik: ohne
Strahlenschutz: Bleigummiabdeckung der unmittelbar anschließenden Abschnitte des Körperstamms
  • Datenabgleich, Schwangerschaft
  • Voraufnahmen
  • Ellenbogen frei von Schmuck, Bekleidung
  • Bleischutz/Gonadenschutz = < 18 Jahre
  • Kopf wegdrehen vom Strahlenfeld

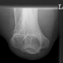
Olecranon
Es wurden keine Bilder gefunden.

Technik

  • FDA: 1,05 m
  • Ausgangsformat 18/18
  • Übertischaufnahme

Lagerung

1. Möglichkeit:

(bei Fragestellung Sulcus Ulnaris oder bei einer Cuff Collar-Schlinge) Pat sitzt seitlich am Tisch, dorsale Seite des Oberarm mittels Kasten hochlagern, Unterarm beugen, so dass die Finger die Schulter berühren.

2. Möglichkeit:

(bei Fragestellung Olecranonfraktur) Pat sitzt seitlich am Tisch, Unterarm liegt auf dem Tisch, Oberkörper beugt sich zur Hand, Finger berühren die Schulter, Unterarm und Oberarm liegen gut übereinander.

Zentralstrahl

Senkrecht auf Ellenbogengelenk, ca. 2 Querfinger von der Hautgrenze entfernt.

Bemerkung

Anwendung bei Cuff Collar-Schlinge, d.h. Zustand nach supracondylärer Humerusfraktur- (Kindern).

Qualitätskriterien

Freie Darstellung des Olecranons, tangentiale Abbildung des Sulcus nervi ulnaris, Ober- und Unterarm projizieren sich übereinander. Gelenkspalt gut erkennbar.

  • Aufnahmedaten
  • Pädiatrische Besonderheiten
  • Vorbereitung des Patienten
Aufnahmeart: ohne Raster
Belichtungsautomatik: ohne
Bildempfängerdosis: SC 200
Fokus-Detektor-Abstand: 105 cm
Brennflecknennwert: 0,6 (≤1,3)
Aufnahmespannung: 55 – 65 kV
Aufnahmeart: Aufnahmetisch
Zusatzfilterung: 1 mm Al + mindestens 0,1 mm Cu
Bildempfängerdosis: SC 400
Brennflecknennwert: 0,6 (≤ 1,3)
Belichtungsautomatik: ohne
Strahlenschutz: Bleigummiabdeckung der unmittelbar anschließenden Abschnitte des Körperstamms
  • Datenabgleich, Schwangerschaft
  • Voraufnahmen
  • Ellenbogen frei von Schmuck, Bekleidung
  • Bleischutz/Gonadenschutz = < 18 Jahre
  • Kopf wegdrehen vom Strahlenfeld

Proc. Coronoideus
Es wurden keine Bilder gefunden.

Technik

  • FDA: 1,05 m - Übertisch
  • Ausgangsformat 18/24
  • Röhrenkippung 45° latero-medial

Lagerung

1. Möglichkeit:

dieselbe wie Radiusköpfchen, d.h. der Patient sitzt seitlich an der Breitseite des Tisches, Unter- und Oberarm liegen in gleicher Höhe, Hand in Supination

2. Möglichkeit:

bei gewinkeltem Unterarm nimmt die gestreckte Hand medial Maß am 45°-Keil und wird dann in dieser Haltung gestreckt.

Zentralstrahl

bei 1.:

im Winkel von 45° auf Mitte Ellenbogen, jedoch zur Kleinfingerseite (latero-medial)

bei 2.:

senkrecht auf Objekt.

Qualitätskriterien

Processus coronoideus ulnae überlagerungsfrei dargestellt.

  • Aufnahmedaten
  • Pädiatrische Besonderheiten
  • Vorbereitung des Patienten
Aufnahmeart: ohne Raster
Belichtungsautomatik: ohne
Bildempfängerdosis: SC 200
Fokus-Detektor-Abstand: 105 cm
Brennflecknennwert: 0,6 (≤1,3)
Aufnahmespannung: 55 – 65 kV
Aufnahmeart: Aufnahmetisch
Zusatzfilterung: 1 mm Al + mindestens 0,1 mm Cu
Bildempfängerdosis: SC 400
Brennflecknennwert: 0,6 (≤ 1,3)
Belichtungsautomatik: ohne
Strahlenschutz: Bleigummiabdeckung der unmittelbar anschließenden Abschnitte des Körperstamms
  • Datenabgleich, Schwangerschaft
  • Voraufnahmen
  • Ellenbogen frei von Schmuck, Bekleidung
  • Bleischutz/Gonadenschutz = < 18 Jahre
  • Kopf wegdrehen vom Strahlenfeld
Konversation wird geladen