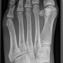
Fuß a.p.
Es wurden keine Bilder gefunden.
Komplexe anatomische Verhältnisse => Zusätzlich Schräg- und evtl. noch streng-seitliche Aufnahmen oder Vergleichsaufnahmen der Gegenseite anfertigen! Komplexe Luxationen/ Frakturen => großzügige CT-Indikation! Zentrale Kalkaneusfrakturen (vgl. Kalkaneus) => absolute CT-Indikation! Isolierte Frakturen des Os naviculare, der Ossa cuneiforma oder des Cuboids sind Raritäten => Immer nach zusätzlichen Verletzungen (Calcaneus, Talus, OSG,...) suchen!
Beurteilungskriterien
- Korrekte Stellung der Fußwurzelknochen zueinander? Kongruente Gelenkflächen? Gelenkspaltweiten zwischen den Fußwurzelknochen und Tarsometatarsalgelenken < 2,5mm? Interphalangealgelenke < 2mm? Luxation? Luxationen meist mit Frakturen (v.a. Talushals, Kalkaneus, OSG-Frakturen, Metatarsalbasen) kombiniert!
- "target areas" subtiler Frakturen: Talushals, Proc.ant.calcanei, Sustentaculum, Tuberositas ossis metatarsalis V!!!
- Typische Lokalisationen von Kapsel-Band-Ausrissen am Metatarsus:
- Os naviculare: dorsomedialer Sehnenausriss (Avulsion der Tuberositas, Ansatz M.tibialis post.)=> seitl. Aufnahme (DD Os supranaviculare)
- Os cuboideum: ventroplantarer, knöcherner Ausriss (M.tibialis post.)
- Tuberositas ossis metatarsalis V (M.peronaeus brevis) <=> DD Os peronaeum, Os Vesalianum
Cave:
- akzessorische Knochen (abgerundet mit zirkulärer Kortikalis, z.B. Os supranaviculare, Os supratalare, Os tibiale externum, Os Vesalianum, Os peroneum, Calcaneus secundarius, Os intercuneiforme) und Normvarianten der Apophsenentwicklung im Wachstumsalter, z.B. mehrkernige Tuberapophyse am Achillessehnenansatz, persistierender Apophysenkern der Basis ossis metatarsalis V.
- Ermüdungsfrakturen initial oft nicht erkennbar => Röntgenkontrolle in 8-10d.
Beispiele
| Alter |
Männlich |
Weiblich |
Unbekannt |
| <1 |
 |
|
|
| 1 |
 |
|
|
| 2 |
|
|
|
| 3 |
|
|
|
| 4 |
|
|
|
| 5 |
 |
 |
|
| 6 |
|
|
|
| 7 |
|
|
|
| 8 |
|
|
|
| 9 |
|
|
|
| 10 |
|
 |
|
| 11 |
|
 |
|
| 12 |
|
|
|
| 13 |
|
 |
|
| 14 |
 |
|
|
| 15 |
|
 |
|
| 16 |
 |
|
|
| 17 |
|
 |
|
| 18 |
|
|
|
| 19 |
 |
|
|
| 20 |
|
|
 |
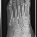
Fuß schräg
Es wurden keine Bilder gefunden.
Komplexe anatomische Verhältnisse => Zusätzlich a.p.- und evtl. noch streng-seitliche Aufnahme oder Vergleichsaufnahmen der Gegenseite anfertigen! Komplexen Luxationen/ Frakturen => großzügige CT-Indikation! Zentrale Kalkaneusfrakturen (vgl. Kalkaneus) => CT-Indikation! Isolierte Frakturen des Os naviculare, der Ossa cuneiforma oder des Cuboids sind Raritäten => Immer nach zusätzlichen Verletzungen (Calcaneus, Talus, OSG,...) suchen!
Beurteilungskriterien
- Gelenkspalten der Fußwurzelgelenke und Mittelfußes frei einsehbar? Gelenkspaltweiten zwischen den Fußwurzelknochen und Tarsometatarsalgelenken < 2,5mm
- Korrekte Stellung, kongruente Gelenkflächen?
- Mittelfußknochen II – V frei projiziert, gleichmäßige Abstände?
- "target areas" subtiler Frakturen: Talushals, Proc.posterior tali, Proc.lateralis tali, Proc.ant.calcanei, Sustentaculum, Entenschnabelfraktur (knöcherner Ausriß des Ansatzes der Achilllessehne), Tuberositas ossis metatarsalis V!!!
Cave:
- akzessorische Knochen und Normvarianten der Apophsenentwicklung Wachstumsalter (vgl. a.p.-Aufnahme)
- Ermüdungsfrakturen initial oft nicht erkennbar => Röntgenkontrolle in 8-10d.
Beispiele
| Alter |
Männlich |
Weiblich |
Unbekannt |
| <1 |
 |
|
|
| 1 |
 |
|
|
| 2 |
|
|
|
| 3 |
|
|
|
| 4 |
|
|
|
| 5 |
 |
 |
|
| 6 |
|
|
|
| 7 |
|
|
|
| 8 |
|
|
|
| 9 |
|
|
|
| 10 |
|
 |
|
| 11 |
|
 |
|
| 12 |
|
|
|
| 13 |
|
 |
|
| 14 |
 |
|
|
| 15 |
|
 |
|
| 16 |
 |
|
|
| 17 |
|
 |
|
| 18 |
|
|
|
| 19 |
 |
|
|
| 20 |
|
|
 |
Fuß streng seitlich
Es wurden keine Bilder gefunden.
Komplexe anatomische Verhältnisse => Zusätzlich a.p.- und schräge Aufnahme oder Vergleichsaufnahmen der Gegenseite anfertigen! Komplexen Luxationen/ Frakturen => großzügige CT-Indikation! Zentrale Kalkaneusfrakturen (vgl. Kalkaneus) => absolute CT-Indikation! Isolierte Frakturen des Os naviculare, der Ossa cuneiforma oder des Cuboids sind Raritäten => Immer nach zusätzlichen Verletzungen (Calcaneus, Talus, OSG,...) suchen!
Beurteilungskriterien
- Korrekte Stellung, kongruente Gelenkflächen?
- Klassisches Zeichen zentraler Kalkaneusfrakturen in der seitlichen Aufnahme: Abflachung des BÖHLER- Tubergelenkwinkels, physiologisch 25-40° (vgl. Kalkaneus seitlich)
- "target areas" subtiler Frakturen: Talushals, Proc.posterior tali, Proc.lateralis tali, Proc.ant.calcanei, Sustentaculum, Entenschnabelfraktur (knöcherner Ausriß des Ansatzes der Achilllessehne), Tuberositas ossis metatarsalis V!!!
Cave:
- akzessorische Knochen und Normvarianten der Apophsenentwicklung Wachstumsalter (vgl. a.p.-Aufnahme)
- Ermüdungsfrakturen initial oft nicht erkennbar => Röntgenkontrolle in 8-10d.
Beispiele
| Alter |
Männlich |
Weiblich |
Unbekannt |
| <1 |
 |
|
|
| 1 |
 |
|
|
| 2 |
|
|
|
| 3 |
|
|
|
| 4 |
|
|
|
| 5 |
 |
 |
|
| 6 |
|
|
|
| 7 |
|
|
|
| 8 |
|
|
|
| 9 |
|
|
|
| 10 |
|
 |
|
| 11 |
|
 |
|
| 12 |
|
|
|
| 13 |
|
 |
|
| 14 |
 |
|
|
| 15 |
|
 |
|
| 16 |
 |
|
|
| 17 |
|
 |
|
| 18 |
|
|
|
| 19 |
 |
|
|
| 20 |
|
|
 |
Konversation wird geladen