Kopf

Schädel a.-p.
Es wurden keine Bilder gefunden.

Technik

  • FDA: 1,15 m
  • Ausgangsformat: 24/30
  • mit Raster

Indikation

Fremdkörper-Lokalisation vor MRT, Shuntkontrolle

Lagerung

Rückenlage
Schädel liegt exakt gerade
Kinn anziehen bis Deutsche Horizontale senkrecht zur Bildebene
(ggf. 15° Keil unter den Kopf)

Zentralstrahl

Querstrahl: ca. Nasenwurzel
Längsstrahl: Medianebene

Einblendung

Haaransatz & Hautgrenze

Qualitätskriterien

Symmetrische Abbildung beider Schädelhälften, Nasenscheidewand streng in der Mitte. Die Felsenbeine stellen sich im unteren bis mittleren Drittel der Orbita da. Felsbeinspitzen projizieren sich in die Mitte der Orbita oder eher etwas oberhalb davon.

  • Aufnahmedaten
  • Pädiatrische Besonderheiten
  • Vorbereitung des Patienten
Aufnahmeart: Rastertisch, Rasterwandgerät
Belichtungsautomatik: mittleres Messfeld
Bildempfängerdosis: SC 400
Fokus-Detektor-Abstand: 115 (90 – 150) cm
Brennflecknennwert: 0,6 (≤1,3)
Aufnahmespannung: 70 – 80 kV
Expositionszeit: < 100 ms
Streustrahlenraster: r 8 (12)
Aufnahmeart: Aufnahmetisch, Rastertisch
Aufnahmespannung: 65 – 75 kV
Zusatzfilterung: 1 mm Al + mindestens 0,1 mm Cu
Bildempfängerdosis: SC 800 (400)
Streustrahlenraster: r 8 (12)

Kopf von Schmuck und evtl. Zahnprothese frei machen, Gonadenschutz anlegen.

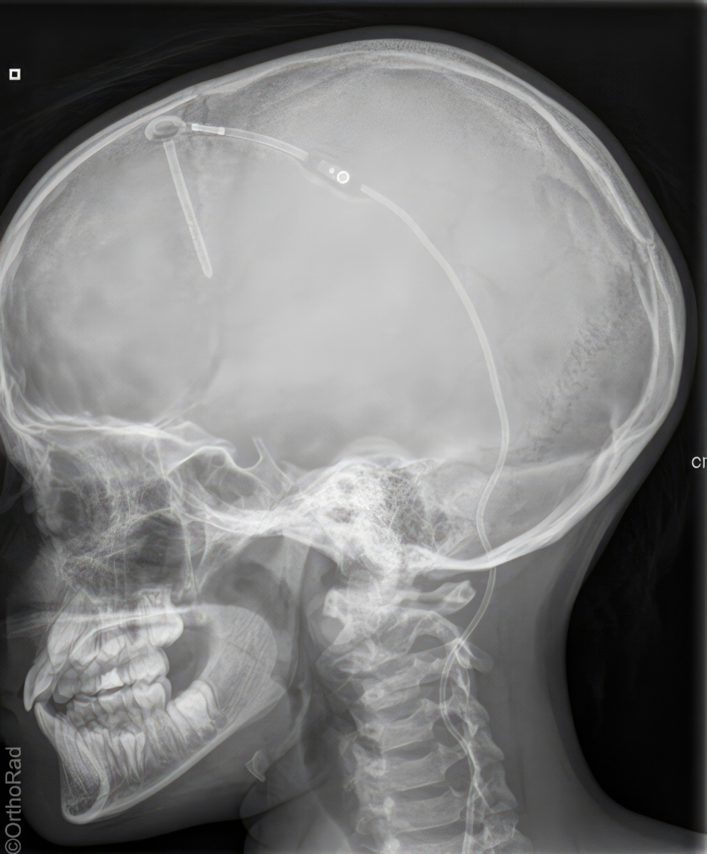
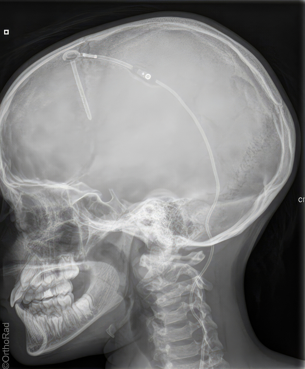
Schädel lateral
Es wurden keine Bilder gefunden.

Technik

  • FDA: 1,15 m
  • Ausgangsformat: 24/30
  • mit Raster

Indikation

Fremdkörper-Lokalisation vor MRT, Shuntventil-Kontrolle

Lagerung

Schräg-Bauchlage mit aufstützender Hand der anliegenden Schädelseite
Beine leicht angezogen
Kopf streng seitlich
Medianebene parallel zum Tisch
Kinn und Stirn auf einer gedachten Linie (D.-H. nicht relevant)

Zentralstrahl

Querstrahl & Längsstrahl: ergibt sich

Einblendung

auf Haar- und Haugrenze (Nase darf abgeschnitten sein)

Qualitätskriterien

Vollständige Darstellung des gesamten Schädels, weitgehend deckend der Konturen, vordere und hintere Schädelgrube, Orbita, Kieferhöhlen und Jochbein. Zudem deckungsgleich von kleiner Keilbeinflügel und äußerer Gehörgang. Strichförmige Abbildung der Sella turcica.

  • Aufnahmedaten
  • Pädiatrische Besonderheiten
  • Vorbereitung des Patienten
Aufnahmeart: Rastertisch, Rasterwandgerät
Belichtungsautomatik: mittleres Messfeld
Bildempfängerdosis: SC 400
Fokus-Detektor-Abstand: 115 (90 – 150) cm
Brennflecknennwert: 0,6 (≤1,3)
Aufnahmespannung: 70 – 80 kV
Expositionszeit: < 100 ms
Streustrahlenraster: r 8 (12)
Aufnahmeart: Aufnahmetisch, Rastertisch
Aufnahmespannung: 65 – 75 kV
Zusatzfilterung: 1 mm Al + mindestens 0,1 mm Cu
Bildempfängerdosis: SC 800 (400)
Streustrahlenraster: r 8 (12)

Kopf von Schmuck und evtl. Zahnprothese frei machen, Gonadenschutz anlegen.

Ventilkontrolle
Es wurden keine Bilder gefunden.

Technik

  • FDA: 1,15 m
  • Ausgangsformat: 8/8
  • mit Raster

Indikation

nach MRT-Untersuchung

Lagerung

Patient im liegen (Rücken- oder Bauchlage) individuell lagern, so dass im Vorfeld markierte Ventil parallel zur Platte liegt. Die Markierung sollte film fern sein. Eventuell mit Hilfsmitteln den Kopf fixieren.

Zentralstrahl

Senkrecht auf Markierung bzw. Ventil. 

Einblendung

Kleine Aufblendung (ca. 8x8 cm)

Variante

Bei kleinen Kindern gehaltene Aufnahme.

Anmerkung

Geröntgt wird nach jeder MRT-Untersuchung oder Implantation des Ventiles; vor dem Röntgen wird Ventil vom Arzt per EEG eingestellt; Ventil muss unbedingt vom Arzt markiert werden.

  • Aufnahmedaten
  • Pädiatrische Besonderheiten
  • Vorbereitung des Patienten
Aufnahmeart: Rastertisch, Rasterwandgerät
Belichtungsautomatik: mittleres Messfeld
Bildempfängerdosis: SC 400
Fokus-Detektor-Abstand: 115 (90 – 150) cm
Brennflecknennwert: 0,6 (≤1,3)
Aufnahmespannung: 70 – 80 kV
Expositionszeit: < 100 ms
Streustrahlenraster: r 8 (12)
Aufnahmeart: Aufnahmetisch, Rastertisch
Aufnahmespannung: 65 – 75 kV
Zusatzfilterung: 1 mm Al + mindestens 0,1 mm Cu
Bildempfängerdosis: SC 800 (400)
Streustrahlenraster: r 8 (12)

Kopf von Schmuck und evtl. Zahnprothese frei machen, Gonadenschutz anlegen.

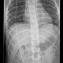
Shuntverlauf
Es wurden keine Bilder gefunden.

Technik

FDA: 1,15 m
Ausgangsformat: je nach Körperregion
mit Raster 

Indikation

Shuntkontrolle

Lagerung

1. Schädel/HWS ap

Patient in Rückenlage, Kinn anziehen lassen, 15° Keil unter den Kopf, so dass Deutsche Horizontale (DH = Frankfurter) senkrecht zum Film steht, Kopf muss seitengleich, symmetrisch gelagert werden.

2. Schädel/HWS seitlich

Patient in Rückenlage, Kopf auf die rechte Seite drehen und Medianebene verläuft parallel zum Tisch, Stirn-Augenbrauen-Linie verläuft senkrecht und die Stirn-Kinn-Punkte verlaufen parallel zur Filmeinblendung. Der Körper dreht sich somit etwas auf die rechte Seite.

3. Thorax/Abdomen

Patient in Rückenlage, Arme am Körper entlang, Beine geschlossen.

4. evtl Becken

Patient in Rückenlage, Beine leicht gespreizt.

Zentralstrahl

Senkrecht auf Objekt, vom Schädel bis Abdomen müssen alle Bilder überlappend sein.

Variante

Abdomen evtl seitlich röntgen, wenn die Shuntlänge 3-4cm unterhalb der Markierung ist (nicht mehr im kleinen Becken) -> Belichtung dann wie seitliche Wirbelsäule.

Anmerkung

Die Stelle (Narbe) an der der Shunt in dem Abdomen verschwindet, muss mit einer Metallkugel etc. markiert werden.

  • Aufnahmedaten
  • Pädiatrische Besonderheiten
  • Vorbereitung des Patienten
Aufnahmeart: Rastertisch, Rasterwandgerät
Belichtungsautomatik: mittleres Messfeld
Bildempfängerdosis: SC 400
Fokus-Detektor-Abstand: 115 (90 – 150) cm
Brennflecknennwert: 0,6 (≤1,3)
Aufnahmespannung: 70 – 80 kV
Expositionszeit: < 100 ms
Streustrahlenraster: r 8 (12)
Aufnahmeart: Aufnahmetisch, Rastertisch
Aufnahmespannung: 65 – 75 kV
Zusatzfilterung: 1 mm Al + mindestens 0,1 mm Cu
Bildempfängerdosis: SC 800 (400)
Streustrahlenraster: r 8 (12)

Kopf, Hals, Thorax und Abdomen von Schmuck und evtl. Zahnprothese frei machen, Gonadenschutz nur außerhalb vom Thorax/Abdomen anlegen.

Schädel occipital
Es wurden keine Bilder gefunden.

Technik

  • FDA: 1,15 m
  • Ausgangsformat: 24/30 hoch
  • mit Raster
  • Röhrenkippung: 45° cranio-caudal

Lagerung

Patient liegt auf dem Rücken, das Kinn (Doppelkinn) so weit wie möglich zu Brust gezogen.

Zentralstrahl

zielt mit 45° cranio-caudal vom Scheitel (Bregma) zum ertasteten Hinterhaupt (Occiput). Objektmitte

Qualitätskriterien

Freie Darstellung des gesamten Hinterhauptes mit Foramen magnum, hier sollt auch der hintere Atlasbogen projiziert werden. Symmetrische Darstellung der Pyramiden.

  • Aufnahmedaten
  • Pädiatrische Besonderheiten
  • Vorbereitung des Patienten
Aufnahmeart: Rastertisch, Rasterwandgerät
Belichtungsautomatik: mittleres Messfeld
Bildempfängerdosis: SC 400
Fokus-Detektor-Abstand: 115 (90 – 150) cm
Brennflecknennwert: 0,6 (≤1,3)
Aufnahmespannung: 70 – 85 kV
Expositionszeit: < 100 ms
Streustrahlenraster: r 8 (12)
Aufnahmeart: Aufnahmetisch, Rastertisch
Aufnahmespannung: 65 – 75 kV
Zusatzfilterung: 1 mm Al + mindestens 0,1 mm Cu
Bildempfängerdosis: SC 800 (400)
Streustrahlenraster: r 8 (12)

Kopf von Schmuck und evtl. Zahnprothese frei machen, Gonadenschutz anlegen.

Sella turcica
Es wurden keine Bilder gefunden.

Technik

  • FDA: 1,15 m
  • Ausgangsformat: 18/18
  • mit Raster

Indikation

Tumor der Hypophyse.

Lagerung

1. Möglichkeit

Pat. in Bauchlage, Kopf zur Seite drehen, Einstellung wie Schädel seitlich (stabile Seitenlage).

2. Möglichkeit

Pat. sitzt mit dem Bauch zum Stativ und dreht seinen Kopf streng seitlich zum Stativ, Medianebene immer parallel zum Bildempfänger

Zentralstrahl

Senkrecht auf Mitte der Verbindungslinie: äußerer Augenwinkel zum oben Ohransatz bzw. 2 Querfinger vor und 2 Querfinger oberhalb der Ohrtubus,

Einblendung

10x10

Qualitätskriterien

Scharfe strichförmige Darstellung der Sella turcica. Die vorderen und hinteren Klinoidforsätze überlagern sich jeweils weitgehend.

  • Aufnahmedaten
  • Pädiatrische Besonderheiten
  • Vorbereitung des Patienten
Aufnahmeart: Rastertisch, Rasterwandgerät
Belichtungsautomatik: mittleres Messfeld
Bildempfängerdosis: SC 400
Fokus-Detektor-Abstand: 115 (90 – 150) cm
Brennflecknennwert: 0,6 (≤1,3)
Aufnahmespannung: 70 – 80 kV
Expositionszeit: < 100 ms
Streustrahlenraster: r 8 (12)
Aufnahmeart: Aufnahmetisch, Rastertisch
Aufnahmespannung: 65 – 75 kV
Zusatzfilterung: 1 mm Al + mindestens 0,1 mm Cu
Bildempfängerdosis: SC 800 (400)
Streustrahlenraster: r 8 (12)

Kopf von Schmuck und evtl. Zahnprothese frei machen, Gonadenschutz anlegen.

Nasenbein lateral
Es wurden keine Bilder gefunden.

Technik

  • FDA: 1,05 m
  • Ausgangsformat: Detektor oder 18/24
  • Übertischaufnahme/ohne Raster (Fingerbelichtung)

Indikation

Fraktur

Lagerung

liegend auf dem Tisch ODER
sitzend am Stativ
Lagerung exakt seitlich, wie Schädel lateral

Zentralstrahl

Tiefenblende an Nase anpassen
Zentralstrahl: innerer Augenwinkel

Einblendung

caudal: Spina nasalis; cranial: Stirn

Qualitätskriterien

Die Aufnahme darf nicht zu hart sein. Die Nasenweichteile sollen beurteilbar sein. Sutura nasomaxillaris, Sutura frontonasalis und Sulcus ethmoidalis für den gleichnamigen Nerv sowie die Spina nasalis anterior sind dargestellt.

  • Aufnahmedaten
  • Pädiatrische Besonderheiten
  • Vorbereitung des Patienten
Aufnahmeart: ohne Raster
Belichtungsautomatik: ohne
Bildempfängerdosis: SC 200
Fokus-Detektor-Abstand: 105 cm
Brennflecknennwert: 0,6 (≤1,3)
Aufnahmespannung: 50 – 60 kV
Zusatzfilterung: 1 mm Al + mindestens 0,1 mm Cu
Bildempfängerdosis: SC 400

Kopf von Schmuck frei machen, Gonadenschutz anlegen.

Nasennebenhöhlen (NNH)
Es wurden keine Bilder gefunden.

Technik

  • FDA: 1,15 m
  • Ausgangsformat: Detektor oder 18/24 hoch
  • mit Raster

Indikation

Sinusitis, Z. n. Osteosynthese

Lagerung

sitzend mit Gesicht zum Stativ
Hände festhaltend am Stativ
Rücken gerade
Mund weit geöffnet
Kinn liegt auf, Nase schwebt
Kopf anheben bis obere Zahnreihe und 1 QF über Ohr-Rand eine Linie bilden

Zentralstrahl

Querstrahl: 1 QF über oberen Ohrrand & Oberlippe
Längsstrahl: Medianebene

Einblendung

lateral auf Augenwinkel, cranial: auf Haaransatz

Anmerkung

Besonders auf symmetrische Lagerung achten. Im Sitzen ist evtl. Flüssigkeitsspiegel gut beurteilbar.

Qualitätskriterien

Symmetrische Darstellung des Gesichtsschädels: seitengleiche Distanz zwischen lateralem Rand der Augenhöhle und äußerer Schädelkontur. Die Pyramidenoberkanten kommen unmittelbar unterhalb des Kieferhöhlenbodens zum Liegen, also in die obere Zahnreihe, sodass die Kieferhöhlen überlagerungsfrei zur Darstellung kommen.

  • Aufnahmedaten
  • Pädiatrische Besonderheiten
  • Vorbereitung des Patienten
Aufnahmeart: Rastertisch, Rasterwandgerät
Belichtungsautomatik: mittleres Messfeld
Bildempfängerdosis: SC 400
Fokus-Detektor-Abstand: 115 (90 – 150) cm
Brennflecknennwert: 0,6 (≤1,3)
Aufnahmespannung: 70 – 85 kV
Expositionszeit: < 100 ms
Streustrahlenraster: r 8 (12)
Aufnahmeart: Aufnahmetisch, Rastertisch
Aufnahmespannung: 65 – 75 kV
Zusatzfilterung: 1 mm Al + mindestens 0,1 mm Cu
Bildempfängerdosis: SC 800 (400)
Streustrahlenraster: r 8 (12)

Kopf von Schmuck und evtl. Zahnprothese frei machen, Gonadenschutz anlegen.

Isolierter Jochbogen (mit abhängendem Kopf)
Es wurden keine Bilder gefunden.

Technik

  • FDA: 1,05 m
  • Ausgangsformat: Detektor oder 18/24
  • Übertischaufnahme/ohne Raster

Lagerung

Patient in Rückenlage mit weit nach hinten abhängendem Kopf, Kinn-Medianebene beschreibt einen Winkel von 20° zur aufzunehmenden Seite

Zentralstrahl

Senkrecht auf den unteren Eckzahn der aufzunehmenden Seite, Querstrahl durchläuft die Mitte der Verbindungslinie Auge-Ohr, senkrecht auf die DH.

Bemerkung

Mund muss geöffnet sein. Feineinstellung - Zur Ermittlung des Eckzahns Kinn anziehen bzw. strecken lassen. Fingerkuppentest: zum Schluss am Patienten durch leichte Drehung des Kopfes. Der Schatten der Fingerkuppe darf nicht im Kopf verschwinden.

Qualitätskriterien

Freie und übersichtliche Projektion des Jochbogens.

  • Aufnahmedaten
  • Pädiatrische Besonderheiten
  • Vorbereitung des Patienten
Aufnahmeart: ohne Raster
Belichtungsautomatik: ohne
Bildempfängerdosis: SC 200
Fokus-Detektor-Abstand: 115 cm
Brennflecknennwert: 0,6 (≤1,3)
Aufnahmespannung: 60 – 70 kV
Zusatzfilterung: 1 mm Al + mindestens 0,1 mm Cu
Bildempfängerdosis: SC 400

Haarklammern, Ohrringe und Zahnersatz entfernen, Gonadenschutz anlegen.

Jochbogen axial (Henkeltopfaufnahme)
Es wurden keine Bilder gefunden.

Technik

  • FDA: 80-90 cm
  • Ausgangsformat: 18/24 quer
  • Röhrenkippung: 45° caudo-cranial
  • Übertischaufnahme

Indikation

Fraktur

Lagerung

Rückenlage
Schulter stark unterpolstert
kleiner Keil unter dem Kopf
45° Keil unter den Bildempfänger
Bildempfänger liegt unmittelbar am Haaransatz an
Kinn angehoben, bis Deutsche Horizontale (unterer Orbitaboden-Gehörgang-Linie) parallel zum Bildempfänger verläuft
Mund geöffnet

Zentralstrahl

Querstrahl: mittig zwischen Gehörgang und äußerer Augenwinkel
Längsstrahl: Medianebene

Einblendung

cranial = Augenbraue, caudal = Tragus

Bemerkung

Finger-Schatten-Test; Mund muss geöffnet sein.

Qualitätskriterien

Freie und übersichtliche Projektion des Jochbogens.

  • Aufnahmedaten
  • Pädiatrische Besonderheiten
  • Vorbereitung des Patienten
Aufnahmeart: ohne Raster
Belichtungsautomatik: ohne
Bildempfängerdosis: SC 200
Fokus-Detektor-Abstand: 115 cm
Brennflecknennwert: 0,6 (≤1,3)
Aufnahmespannung: 60 – 70 kV
Zusatzfilterung: 1 mm Al + mindestens 0,1 mm Cu
Bildempfängerdosis: SC 400
Haarklammern, Ohrringe und Zahnersatz entfernen, Gonadenschutz anlegen.

Isolierter Unterkiefer nach Eisler
Es wurden keine Bilder gefunden.

Technik

  • FDA: 105 cm
  • Ausgangsformat: 18/24 quer
  • Röhrenkippung: 10-15° caudo-cranial
  • Übertischaufnahme

Indikation

Lagebestimmung retinierter Zähne oder Geschwülsten, bei Frakturen, Suche nach Herden (Foci) an der Zahnwurzel.

Lagerung

Seitenlage
liegt auf steifer Schulter
Detektor mit 2 x 15° Keilen (30°) schräg unterpolstern, so dass der Kopf abhängt
Schläfe liegt dem Detektor an
Unterkiefer wird vorgestreckt, Mund leicht geöffnet
leichte Drehung nasalwärts zum Detektor

Zentralstrahl

Abhängig von der Kopfneigung, zielt im Winkel von ca. 10° bis 15° caudo-cranial auf detektornahen Unterkiefer in die ertastete Backengrube (oder unterhalb des detektorfernen Unterkieferwinkels)

Qualitätskriterien

Der detektornahe Unterkieferast stellt sich bis zum Kiefergelenk frei dar.

  • Aufnahmedaten
  • Pädiatrische Besonderheiten
  • Vorbereitung des Patienten
Aufnahmeart: ohne Raster
Belichtungsautomatik: ohne
Bildempfängerdosis: SC 400
Fokus-Detektor-Abstand: 115 cm
Brennflecknennwert: ≤1,3
Aufnahmespannung: 70 – 80 kV
Zusatzfilterung: 1 mm Al + mindestens 0,1 mm Cu
Bildempfängerdosis: SC 400

Haarklammern, Ohrringe und Zahnersatz entfernen, Gonadenschutz anlegen.

Kieferköpfchen nach Schüller
Es wurden keine Bilder gefunden.

Technik

  • FDA: 1,15 m
  • Ausgangsformat: 18/18
  • mit Raster
  • Röhrenkippung: 20° cranio-caudal

Lagerung

Bauchlage, d.h. stabile Seitenlage, wie Schädel seitlich
zu untersuchende Seite aufliegend

Zentralstrahl

Zielt mit ca. 20° cranio-caudal auf das aufliegende Ohr (Zur Hilfe kann das detektorferne Ohr verwendet werden, welches auf die Platte projiziert wird.)

Qualitätskriterien

Freier Einblick auf das Kiefergelenk.

  • Aufnahmedaten
  • Pädiatrische Besonderheiten
  • Vorbereitung des Patienten
Aufnahmeart: Rastertisch, Rasterwandgerät
Belichtungsautomatik: mittleres Messfeld
Bildempfängerdosis: SC 400
Fokus-Detektor-Abstand: 115 (90 – 150) cm
Brennflecknennwert: 0,6 (≤1,3)
Aufnahmespannung: 70 – 80 kV
Expositionszeit: < 100 ms
Streustrahlenraster: r 8 (12)
Aufnahmeart: Aufnahmetisch, Rastertisch
Aufnahmespannung: 65 – 75 kV
Zusatzfilterung: 1 mm Al + mindestens 0,1 mm Cu
Bildempfängerdosis: SC 800 (400)
Streustrahlenraster: r 8 (12)

Kopf von Schmuck und evtl. Zahnprothese frei machen, Gonadenschutz anlegen.

Orbita p.a.
Es wurden keine Bilder gefunden.

Technik

  • FDA: 1,15 m
  • Ausgangsformat: Detektor oder 18/24 quer
  • mit Raster

Lagerung

sitzend mit Gesicht zum Stativ
Hände festhaltend am Stativ
Nase liegt auf
Orbitadach und Orbitaboden stehen senkrecht zueinander

Zentralstrahl

Querstrahl: Augenwinkel
Längsstrahl: Medianebene

Einblendung

rechteckig, 1 QF über der Augenbraue,
seitlich: Hautgrenze

Qualitätskriterien

Symmetrische, runde (leicht vergrößerte) Orbitae. Überlagerungsfreie Darstellung der Augenhöhlen. Die Felsenbeine projizieren sich in die Kieferhöhle. Der Orbitaboden und der Orbitarand bilden eine Linie.

  • Aufnahmedaten
  • Pädiatrische Besonderheiten
  • Vorbereitung des Patienten
Aufnahmeart: Rastertisch, Rasterwandgerät
Belichtungsautomatik: mittleres Messfeld
Bildempfängerdosis: SC 400
Fokus-Detektor-Abstand: 115 (90 – 150) cm
Brennflecknennwert: 0,6 (≤1,3)
Aufnahmespannung: 70 – 85 kV
Expositionszeit: < 100 ms
Streustrahlenraster: r 8 (12)
Aufnahmeart: Aufnahmetisch, Rastertisch
Aufnahmespannung: 65 – 75 kV
Zusatzfilterung: 1 mm Al + mindestens 0,1 mm Cu
Bildempfängerdosis: SC 800 (400)
Streustrahlenraster: r 8 (12)

Kopf von Schmuck und evtl. Zahnprothese frei machen, Gonadenschutz anlegen.

Unterkiefer nach Clementschitsch
Es wurden keine Bilder gefunden.

Technik

  • FDA: 1,15 m
  • Ausgangsformat: 18/24 hoch
  • mit Raster
  • Röhrenkippung: 15° caudo-cranial

Lagerung

sitzt aufrecht und gerade mit dem Gesicht zum Stativ
Kopf gerade
Kinn stark anziehen lassen
Stirn dem Stativ anliegt
Mund maximal öffnen

Zentralstrahl

Im Winkel von mindestens 15° caudo-cranial okzipitomental. Längsstrahl verläuft durch die Medianebene. Querstrahl unterhalb des Occiputs auf Nasenwurzel. Achtung! Bei Röhrenkippung auf Zentrierung achten.

Anmerkung

Vollständige Darstellung des Unterkiefers und gute Beurteilung der Kiefergelenke. Bei Kiefergelenk Fragestellung:
1. Aufnahme mit geöffneten Mund
2. Aufnahme mit geschlossenem Mund

Qualitätskriterien

Übersichtliche Darstellung des gesamten Unterkiefers mit seitengleich gut einsehbaren Kiefergelenken

  • Aufnahmedaten
  • Pädiatrische Besonderheiten
  • Vorbereitung des Patienten
Aufnahmeart: Rastertisch, Rasterwandgerät
Belichtungsautomatik: mittleres Messfeld
Bildempfängerdosis: SC 400
Fokus-Detektor-Abstand: 115 (90 – 150) cm
Brennflecknennwert: 0,6 (≤1,3)
Aufnahmespannung: 70 – 85 kV
Expositionszeit: < 100 ms
Streustrahlenraster: r 8 (12)
Aufnahmeart: Aufnahmetisch, Rastertisch
Aufnahmespannung: 65 – 75 kV
Zusatzfilterung: 1 mm Al + mindestens 0,1 mm Cu
Bildempfängerdosis: SC 800 (400)
Streustrahlenraster: r 8 (12)

Kopf von Schmuck und evtl. Zahnprothese frei machen, Gonadenschutz anlegen.

Foramen opticum (nach Rhese-Goalwin)
Es wurden keine Bilder gefunden.

Technik

  • FDA: 1,15 m
  • Ausgangsformat: 18/24 hoch
  • mit Raster
  • Röhrenkippung: 20° cranio-caudal

Lagerung

Patient in Bauchlage, d.h. stabile Seitenlage, Kopf um 50° auf das aufzunehmende Auge drehen, wobei der Längsstrahl des Lichtvisiers das äußere Drittel der Orbita durchläuft, DH-Ebene senkrecht, Querstrahl erscheint in Höhe der Nasenwurzel.

Tipp

Patient legt sein Auge auf den zuvor auf dem Tisch (Papier) markierten Längsstrahl des Lichtvisiers!

Zentralstrahl

Verläuft mit 20° cranio-caudal auf das filmferne Auge d.h. Fingerkontrolle an der Nasenwurzel.

Kontrolle

Ein gleichseitiges Dreieck wird mit zwei Händen auf der Basis zwischen Warzenfortsatz und Hinterhauptshöcker errichtet, Zentralstrahl trifft Spitze des ertasteten Dreiecks.

Qualitätskriterien

Der Canalis opticus projiziert sich als kleiner Ringschatten mit einem Durchmesser in den unteren äußeren Quadranten der Orbita.

  • Aufnahmedaten
  • Pädiatrische Besonderheiten
  • Vorbereitung des Patienten
Aufnahmeart: Rastertisch, Rasterwandgerät
Belichtungsautomatik: mittleres Messfeld
Bildempfängerdosis: SC 400
Fokus-Detektor-Abstand: 115 (90 – 150) cm
Brennflecknennwert: 0,6 (≤1,3)
Aufnahmespannung: 70 – 85 kV
Expositionszeit: < 100 ms
Streustrahlenraster: r 8 (12)
Aufnahmeart: Aufnahmetisch, Rastertisch
Aufnahmespannung: 65 – 75 kV
Zusatzfilterung: 1 mm Al + mindestens 0,1 mm Cu
Bildempfängerdosis: SC 800 (400)
Streustrahlenraster: r 8 (12)

Kopf von Schmuck und evtl. Zahnprothese frei machen, Gonadenschutz anlegen.

Felsenbein Vergleich (Altschul-Uffenorde)
Es wurden keine Bilder gefunden.

Technik

  • FDA: 1,15 m
  • Ausgangsformat: 18/24 quer
  • mit Raster
  • Röhrenkippung: 30° bis 35° cranio-caudal

Lagerung

Patient in Rückenlage, Kopf mit 2 x 15° Keil unterpolstern, Doppel-Kinn! anziehen, Deutsche-Horizontal-Ebene ventralwärts gekippt

Zentralstrahl

zielt mit 30° bis 35° cranio-caudal zu den Tragi. Einblendung: bis zu ermittelten Sella turcica

Anmerkung

Felsenbein bilden sich oberhalb der Augenhöhlen ab und der hintere Atlasbogen erscheint in der Mitte des Foramen magnum.

Qualitätskriterien

Seitengleiche Darstellung der Pyramiden und des inneren Gehörgangs.

  • Aufnahmedaten
  • Pädiatrische Besonderheiten
  • Vorbereitung des Patienten
Aufnahmeart: Rastertisch
Belichtungsautomatik: mittleres Messfeld
Bildempfängerdosis: SC 400
Fokus-Detektor-Abstand: 115 (90 – 150) cm
Brennflecknennwert: 0,6 (≤1,3)
Aufnahmespannung: 70 – 85 kV
Expositionszeit: < 100 ms
Streustrahlenraster: r 8 (12)
Aufnahmeart: Aufnahmetisch, Rastertisch
Aufnahmespannung: 65 – 75 kV
Zusatzfilterung: 1 mm Al + mindestens 0,1 mm Cu
Bildempfängerdosis: SC 800 (400)
Streustrahlenraster: r 8 (12)

Kopf von Schmuck und evtl. Zahnprothese frei machen, Gonadenschutz anlegen.

Felsenbein nach Schüller
Es wurden keine Bilder gefunden.

Technik

  • FDA: 1,15 m
  • Ausgangsformat: 18/24
  • mit Raster
  • Röhrenkippung: 20° cranio-caudal

Lagerung

Patient in Bauchlage, d.h. stabile Seitenlage (Arm und Bein angewinkelt), wie Schädel seitlich, zu untersuchende Seite aufliegend, DH-Ebene senkrecht zum Bildempfänger. Ohr der aufliegenden Seite kann nach ventral umgeschlagen werden.

Zentralstrahl

zielt mit ca. 20° cranio-caudal auf das aufliegende Ohr. Zur Kontrolle: 3-4 Querfinger oberhalb der Ohröffnung. Querstrahl projiziert sich auf den Tragus vom aufliegendem Ohr.

Anmerkung

Mögliche Winkel belaufen sich zwischen 5° bis 35°. Immer beide Seiten aufnehmen.

Qualitätskriterien

Inneren und äußerer Gehörgang müssen sich kreisrund ineinander darstellen. Mastoidzellen sollten vollständig dargestellt werden.

  • Aufnahmedaten
  • Pädiatrische Besonderheiten
  • Vorbereitung des Patienten
Aufnahmeart: Rastertisch
Belichtungsautomatik: mittleres Messfeld
Bildempfängerdosis: SC 400
Fokus-Detektor-Abstand: 115 (90 – 150) cm
Brennflecknennwert: 0,6 (≤1,3)
Aufnahmespannung: 70 – 85 kV
Expositionszeit: < 100 ms
Streustrahlenraster: r 8 (12)
Aufnahmeart: Aufnahmetisch, Rastertisch
Aufnahmespannung: 65 – 75 kV
Zusatzfilterung: 1 mm Al + mindestens 0,1 mm Cu
Bildempfängerdosis: SC 800 (400)
Streustrahlenraster: r 8 (12)

Kopf von Schmuck und evtl. Zahnprothese frei machen, Gonadenschutz anlegen.

Felsenbein nach Stenvers
Es wurden keine Bilder gefunden.

Technik

  • FDA: 1,15 m
  • Ausgangsformat: 18/24
  • mit Raster
  • Röhrenkippung: 12° cranio-caudal

Lagerung

Rückenlage
Patient in Rückenlage, WS gerade ausrichten, Kopf mit 15°-Keil unterpolstern, Kinn anziehen, d.h. DH-Ebene senkrecht zum Bildempfänger, Kopf um 45° zur Gegenseite drehen.


Bauchlage
Patient in Bauchlage, 15°-Keil unter den Brustkorb zur leichteren Lagerung des Kopfes, WS gerade ausrichten. HWS gestreckt, Kopf um 45° auf die aufzunehmende Seite drehen. DH-Ebene senkrecht zum Bildempfänger.

Zentralstrahl

Rückenlage
ziehlt mit 12° cranio-caudal auf die Mitte der Verbindungslinie vom äußeren Augenwinkel und Gehörgang bzw. auf den detektorfernen Warzenfortsatz.


Bauchlage
ziehlt mit 12° caudo-cranial auf das Objekt, d.h. Querstrahl erscheint am plattennahem Tragus und läuft spitzwinklig am äußeren Orbitarand des plattenfernen Auges mit der DH-Ebene zusammen.

Aufblendung erstreckt sich vom plattenfernen Warzenfortsatz hin zum plattennahen Warzenfortsatz (von Ohr zu Ohr)

Kontrolle

Bauchlage
Fadenkreuz befindet sich 2 QF caudalwärts sowie mittig der Verbindungslinie Hinterhaupshöcker und äußerer Gehörgang.

Qualitätskriterien

Felsenbein wird unverkürzt dargestellt.

  • Aufnahmedaten
  • Pädiatrische Besonderheiten
  • Vorbereitung des Patienten
Aufnahmeart: Rastertisch
Belichtungsautomatik: mittleres Messfeld
Bildempfängerdosis: SC 400
Fokus-Detektor-Abstand: 115 (90 – 150) cm
Brennflecknennwert: 0,6 (≤1,3)
Aufnahmespannung: 70 – 85 kV
Expositionszeit: < 100 ms
Streustrahlenraster: r 8 (12)
Aufnahmeart: Aufnahmetisch, Rastertisch
Aufnahmespannung: 65 – 75 kV
Zusatzfilterung: 1 mm Al + mindestens 0,1 mm Cu
Bildempfängerdosis: SC 800 (400)
Streustrahlenraster: r 8 (12)

Kopf von Schmuck und evtl. Zahnprothese frei machen, Gonadenschutz anlegen.

Konversation wird geladen