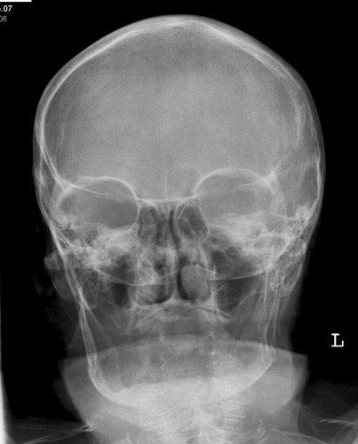
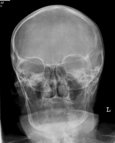
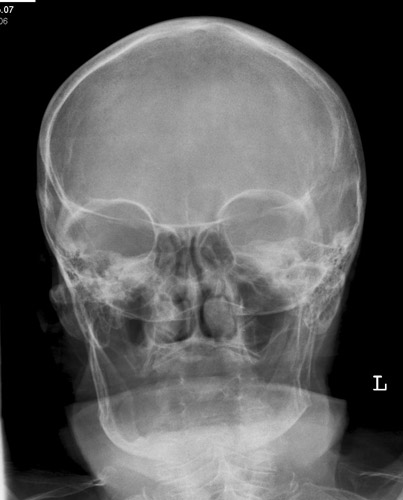
Schädel/Gesicht

Schädel a.p.

44_2.jpg

Fehler

Schräge Projektion, d.h. ungleicher Seitenabstand der Schädelkapsel vom Keilbeinflügel.

Abhilfe

Symmetrische Lagerung des Kopfes.

NNH p.a.

49_3.jpg

Fehler

Projektion der Felsenbeine in die diagnostisch wichtigen unteren Abschnitte der Kieferhöhle, in welchen sich bei einer frischen Sinusitis der Erguss ansammelt (auf der Aufnahme bei sitzendem Patienten!)

Abhilfe

Nasenspitze geringfügig vom Film abheben lassen, mit anderen Worten Kinn mehr vorstrecken; Kopf mehr nach hinten nehmen.

Unterkiefer

74_2.jpg

Fehler

Das Kieferköpfchen, resp. der Kieferhals sind nicht abgebildet. Es legt sich die obere HWS darüber.

Abhilfe

Der Kopf war zwar richtig seitlich zum Film geneigt, aber, für eine Darstellung des horizontalen Unterkiefers bis zum Eckzahngebiet, mit dem Kinn zu wenig dem Film genähert.

Orbita Übersicht

Orbita.jpg

Fehler

Schräge Projektion, d.h. ungleicher Seitenabstand der Schädelkapsel zum Orbitarand. Die Orbitae stellen sich ungleichmäßig dar. Die Außenränder der Orbitae lassen sich nicht richtig vergleichen.

Abhilfe

Der Kopf war zwar richtig für eine Orbita gelagert, doch etwas nach links verkippt. Bei klinischer Relevanz müsste noch mal eine richtig orthograde Einstellung erfolgen.

Konversation wird geladen