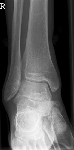
Sprunggelenk

OSG a.p.

129_5.jpg

Fehler

Außenrotation bzw ungenügende Rotation des Fußes nach innen. Der mediale Gelenkspalt projiziert sich besonders schön frei, hingegegen ist der laterale Spalt verschattet.

Abhilfe

Fuß weiter nach innen drehen lassen, bis beide Malleolen auf einer Höhe parallel zum Film stehen.

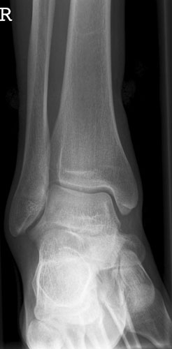
OSG a.p.

OSGapkeineRotation.jpg

Fehler

Leichte Außenrotation des Fußes. Die laterale Kante der distalen Tibia springt besonders markant vor und verdeckt teilweise den Schaft der Fibula.

Abhilfe

Fuß weiter nach innen drehen lassen, bis beide Malleolen auf einer Höhe parallel zum Film stehen.

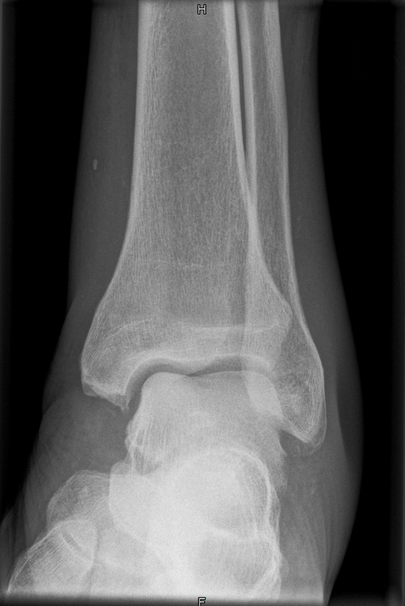
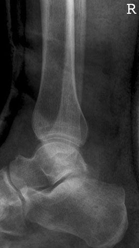
OSG seitlich

132_3.jpg

Fehler

Doppelkonturierung im vorderen Teil der Talusrolle. Die Fibula ist gegen dem Malleolus internus nach ventral verschoben. Die Längsachse des Talus ist verkürzt. Das untere Sprunggelenk kann nicht beurteilt werden.

Abhilfe

Keilkissen unter den Calcaneus legen bzw. Fuß flacher auf den Zehen auflegen lassen.

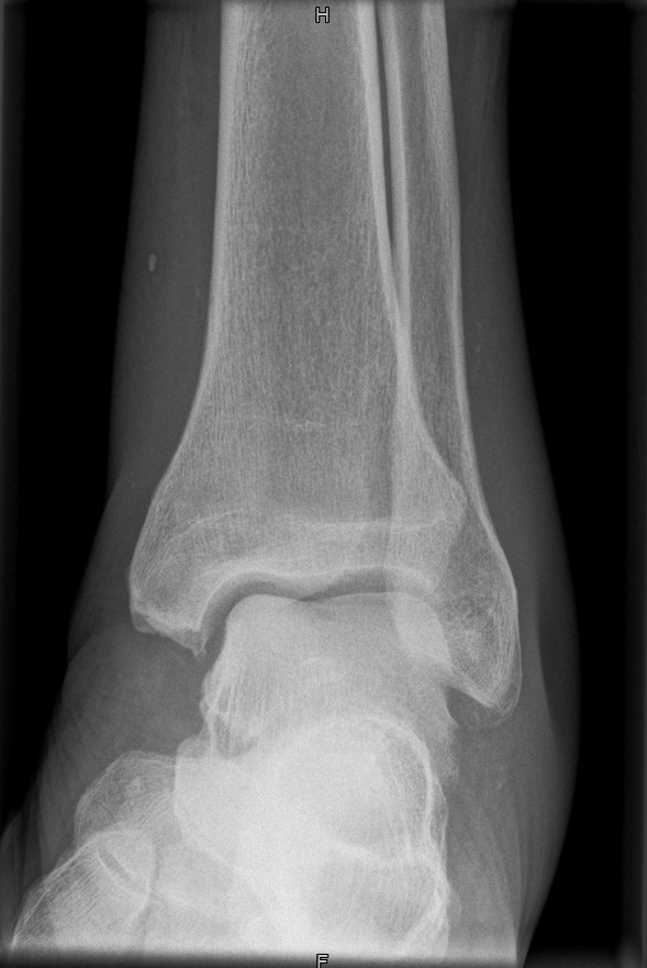
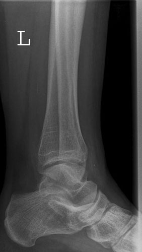
OSG seitlich

132_4.jpg

Fehler

Doppelkonturierung im oberen Teil der Talusrolle. Die Beurteilung des OSG ist nicht möglich. Die Spitze des Malleolus lateralis steht höher als die Spitze des inneren Malleolus.

Abhilfe

Der Fuß muss gesamthaft etwas höher gelagert werden, bei streng seitlicher Zentrierung.

Konversation wird geladen