Schultergürtel

Schulter a.p.

22_2.jpg

Fehler

Hier erfolgte eine ungenügende Rotation in der Schulter, so dass das Gelenk nicht frei dargestellt wurde.

Abhilfe

Abhilfe bringt eine weitere Drehung des Patienten nach dorsal.

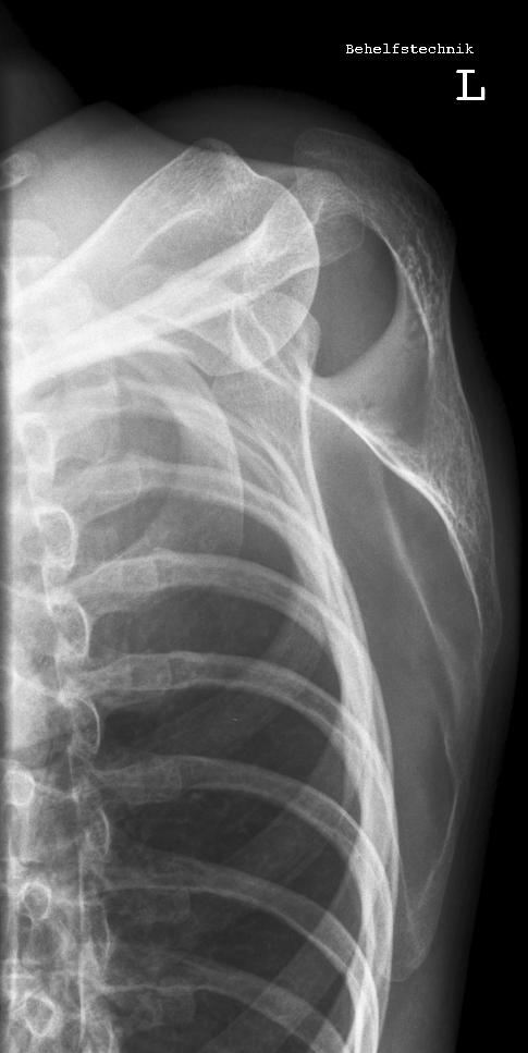
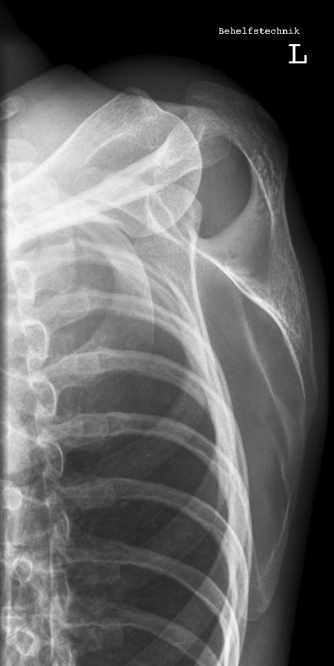
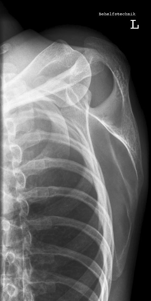
Schulter seitlich

SchulterY.jpg

Fehler

Bei dieser Aufnahme wurde der Patient zu weit gedreht, dass somit der Oberarm in den Rippen verschwunden ist. Zudem scheint der Patient einen Buckel gemacht zu haben.

Abhilfe

Abhilfe bringt erstens den Patienten aufrechter hinzusetzen; den Arm richtig lagern, sprich Hand auf dem Bauch und zweitens auf die Drehung von 45° beim Patienten zu achten.

Scapula tangential

36_2.jpg

Fehler

Der häufigste Fehler ist die teilweise Überdeckung der Scapula, vor allem ihres medialen Randes, durch das Rippengitter.

Abhilfe

Patienten bitten möglichst aufrecht zu Sitzen und die Hand gut in Pronation bringen. Beide Scapularänder sind so gut zu Tasten und können so dann in den Profilstrahlengang gedreht werden.

Konversation wird geladen