Thorax

Thorax

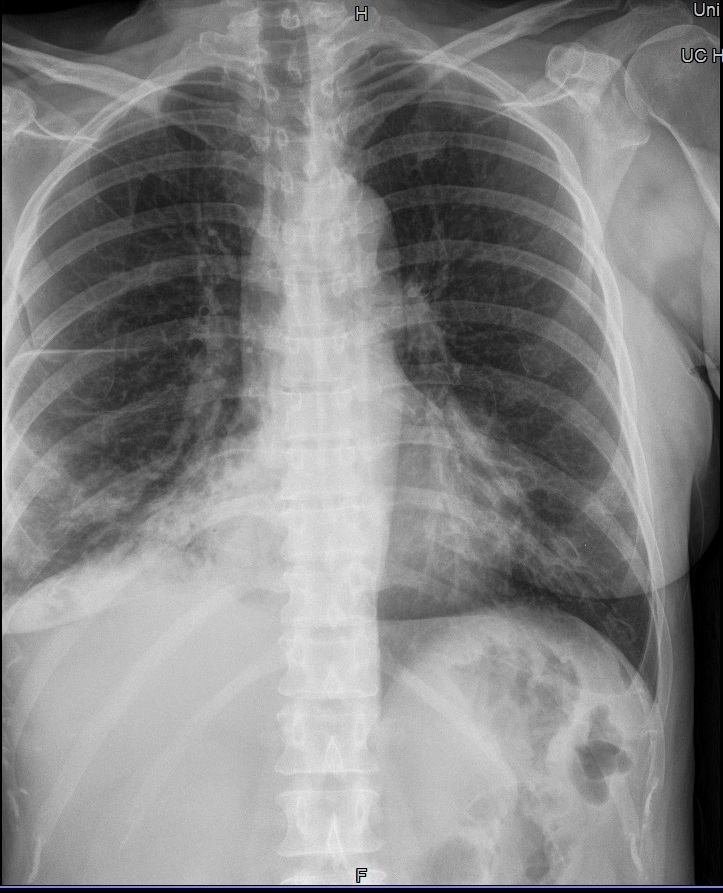
ThxAbgeschnitten.jpg

Fehler

Schneidet der seitliche Filmrand die laterale Thoraxwand ab, evtl. durch zu schmales Filmformat oder unzureichend gute Positionierung, so wird der so wichtige Thorax-Zwerchfell-Winkel (Sinus phrenico-costalis) nicht abgebildet. Eine alte oder eine kleine frische Brustfellentzündung wird auf einer solchen Aufnahme übersehen.

Abhilfe

Man muss den Patienten so stellen, dass der rechte und linke Kassettenrand noch seitlich vorstehen und die Blende nicht abschneidet.

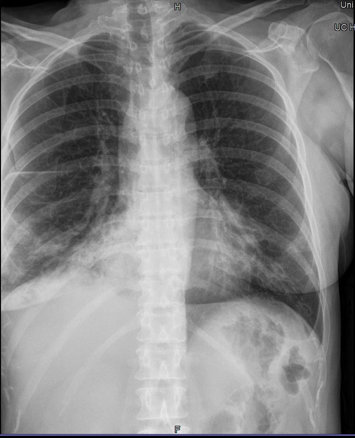
Rippen unten schräg

Rippenunten.jpg

Fehler

Rippen 7-9 werden vom Kassettenrand abgeschnitten. Eine Beurteilung ob die Kortikalis intakt ist, kann hier nicht getroffen werden.

Abhilfe

Patient besser auf der Kassette lagern und schauen, dass beim Atemkommando nicht die Rippen über die Kassette ragen. Sollte das alles nichts bringen evtl. auch auf eine größere Kassette zurückgreifen.

Konversation wird geladen