Kniegelenk

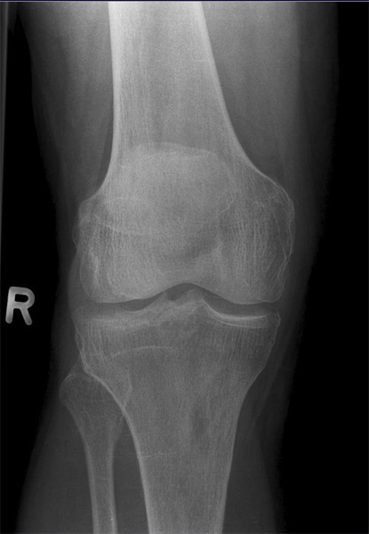
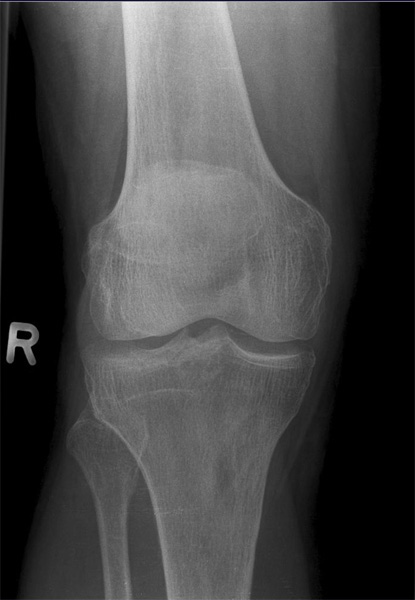
Knie a.p.

120_2.jpg

Fehler

Beide Gelenkfacetten des Tibiakopfes stellen sich oval dar, auf der einen Seite höher als auf der anderen; so kommt es im Röntgenbild zur Überschneidung mit den Gelenkkondylen des Femur und unter Umständen auch zu einer Verdeckung der Eminentia intercondylaris.

Abhilfe

Der Zentralstrahl muss bei jeder Knieaufnahme, sei es bei gestrecktem oder gebeugtem Knie, immer senkrecht auf die Längsachse der Tibia treffen.

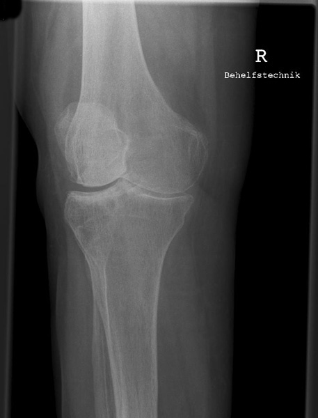
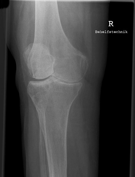
Knie a.p.

121_3.jpg

Fehler

Die Patella ragt über die laterale Begrenzung des distalen Femur hinaus, gleichzeitig projiziert sich das ganze Fibularköpfchen in dem Tibiakopf. Überdies wird dann das Tuberculum intercondylare mediale von der medialen Gelenkrolle des Femus verschattet. Bei dieser Fehleinstellung lassen sich z.B. posttraumatische Verkalkungen, die medial am inneren Gelenkknorren des Oberschenkels liegen (sog. Stieda-Pellegrinische Schatten), nicht mehr erkannt werden.

Abhilfe

Der nach außen schauende Fuß muss leicht, also nicht zu stark, nach innen gedreht werden, Großzehenwärts.

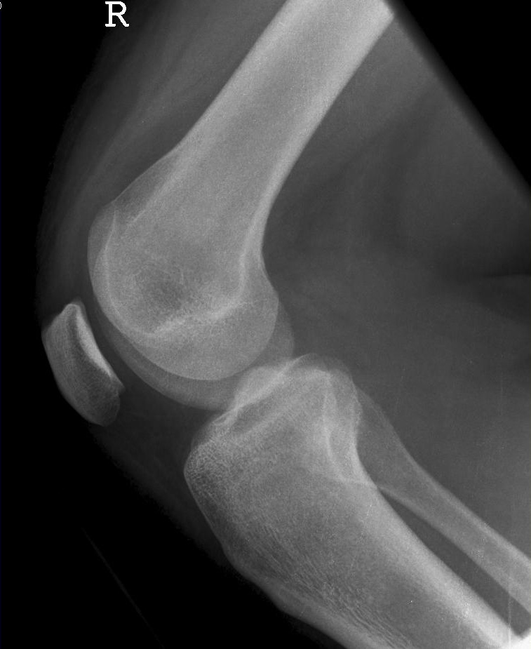
Knie seitlich

126_3.jpg

Fehler

Die Femurkondylen stehen nicht senkrecht übereinander. Zudem wird die Patella vom lateralen Anteil der Femur und das Fibularköpfchen vom Tibiakopf überdeckt.

Abhilfe

Abhilfe bringt eine weitere Drehung des Patienten nach vorne in Richtung Patella, damit die Kondylen wieder übereinander liegen.

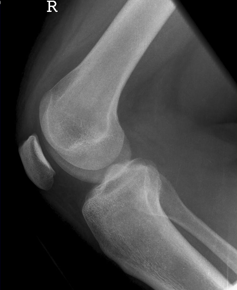
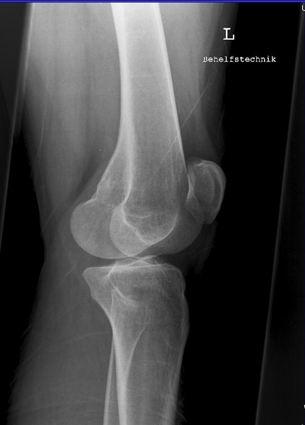
Knie seitlich

126_5.jpg

Fehler

Die filmferne Femurrolle "rutscht" mit ihrer Konturlinie nach unten und überdeckt die ganze Eminetia intercondylaris. Das Knie ist seitlich getroffen, jedoch war der Unterschenkel nicht auf einer Höhe mit dem Oberschenkel.

Abhilfe

Richtige Zentrierung, streng seitlich, aber auch präzise Lagerung des Knies und des ganzen Beines, wobei die Ferse mit einem Keilkissen angehoben wird (nicht zu viel und nicht zu wenig).

Konversation wird geladen