Kniegelenk

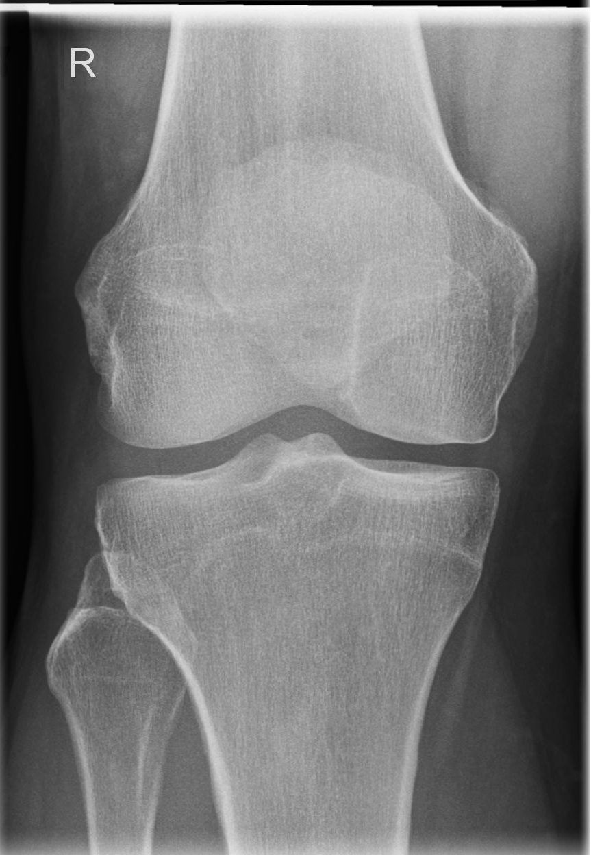
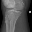
Knie a.-p (1. Ebene)
Es wurden keine Bilder gefunden.

Technik

  • FDA: 1,05 m
  • Ausgangsformat: 18/24
  • Übertischaufnahme

Indikation

Fraktur, Luxation, entzündliche und degenerative Veränderungen

Lagerung

sitzend/ liegend auf Tisch
Bein gestreckt und leicht nach innenrotiert, sodass die Epicondylen auf einer Höhe sind (Patella mittelständig)

Zentralstrahl

senkrecht
Querzentrierung: auf Gelenkspalt (unterer Patellarand)
Längszentrierung auf Objektmitte

Einblendung

prox./dist. min. 5 QF von QZ, lateral 1 QF über Hautgrenze

Bemerkung

Häufiger Fehler: Gelenkspalt nicht frei projiziert, durch zu starke Außenrotation bzw. zu starke Innenrotation.

Qualitätskriterien

Kniegelenkspalt muss frei abgebildet sein, Tibiaplateau lateral muss strichförmig dargestellt werden, medial leicht oval, Kniescheibe mittelständig.

  • Aufnahmedaten
  • Pädiatrische Besonderheiten
  • Vorbereitung des Patienten
Aufnahmeart: ohne Raster / ggf mit Raster
Belichtungsautomatik: ohne oder
mittleres Messfeld
Bildempfängerdosis: SC 400
Fokus-Detektor-Abstand: 105 cm (115cm)
Brennflecknennwert: ≤1,3
Aufnahmespannung: 60 – 70 kV
Zusatzfilterung: 1 mm Al + mindestens 0,1 mm Cu
Bildempfängerdosis: SC 800
Brennflecknennwert: 0,6 (≤ 1,3)
Strahlenschutz: Bleigummiabdeckung der unmittelbar anschließenden Abschnitte des Körperstamms
  • Datenabgleich, Schwangerschaft
  • Voraufnahmen
  • Knie frei von Bekleidung
  • Bleischutz/Gonadenschutz = < 18 Jahre
  • Kopf wegdrehen vom Strahlenfeld

Knie lateral (medio-lateral, 2. Ebene)
Es wurden keine Bilder gefunden.

Technik

  • FDA: 1,05 m
  • Ausgangsformat: 18/24
  • Übertischaufnahme

Indikation

Fraktur, Luxation, entzündliche und degenerative Veränderungen

Lagerung

liegend - streng seitlich (Becken und Schulter senkrecht)
Knie gebeugt, OS -Außenseite liegt auf
Unterschenkel unterpolstern das Malleolus medialis ungefähr auf gleicher Höhe wie Epicondylus medialis kommt (US nicht abhängt)
Epicondylen senkrecht übereinanderliegend (Sichtkontrolle durch tasten der Patellaränder)
Bildempfänger dem US anpassen, OS läuft über der oberen Ecke hinaus
gesunde Bein überschlagen - unterpolstern!

Zentralstrahl

senkrecht
Querzentrierung: unterer Patellarand
Längszentrierung:  Epicondylus medialis femoris

Einblendung

ventral Patella im Licht, prox./dist. min. 5 QF von QZ

Bemerkung

Ergussaufnahme: mit seitlich angestelltem Detektor und horizontalem Strahlengang.
Aufnahme mit Raster möglich

Qualitätskriterien

Deckungsgleiche Darstellung der Femurkondylen. Tibiaplateau-Ränder decken sich. Freier Durchblick durch das Femoropatellargelenk.

  • Aufnahmedaten
  • Pädiatrische Besonderheiten
  • Vorbereitung des Patienten
Aufnahmeart: ohne Raster / ggf mit Raster
Belichtungsautomatik: ohne oder
mittleres Messfeld
Bildempfängerdosis: SC 400
Fokus-Detektor-Abstand: 105 cm (115cm)
Brennflecknennwert: ≤1,3
Aufnahmespannung: 60 – 70 kV
Zusatzfilterung: 1 mm Al + mindestens 0,1 mm Cu
Bildempfängerdosis: SC 800
Brennflecknennwert: 0,6 (≤ 1,3)
Strahlenschutz: Bleigummiabdeckung der unmittelbar anschließenden Abschnitte des Körperstamms
  • Datenabgleich, Schwangerschaft
  • Voraufnahmen
  • Knie frei von Bekleidung
  • Bleischutz/Gonadenschutz = < 18 Jahre
  • Kopf wegdrehen vom Strahlenfeld

Tunnelaufnahme nach Frik
Es wurden keine Bilder gefunden.

Technik

  • FDA: 1,05 m
  • Bildempfänger: 18/24
  • Röhrenkippung
  • Übertischaufnahme

Lagerung

in Rückenlage
Sandwich-Technik: Bildempfänger zwischen zwei engegengesetzte 15° Keile und einem 45° Keil drüber
Knie über der Konstruktion lagern
Bildempfänger evtl anpassen in Richtung Oberschenkel schieben

Zentralstrahl

Röhre parallel zum Unterschenkel (caudo-cranial)
unterer Patellarand
Achtung Bildempfängermitte beachten

Einblendung

prox./dist. min. 4 QF von QZ, lateral 1 QF über Hautgrenze

Qualitätskriterien

Freier Einblick in die Fossa intercondylaris, überlagerungsfreie Darstellung der Femurkondylen und der Eminentia intercondylaris.

  • Aufnahmedaten
  • Pädiatrische Besonderheiten
  • Vorbereitung des Patienten
Aufnahmeart: ohne Raster
Belichtungsautomatik: ohne
Bildempfängerdosis: SC 400
Fokus-Detektor-Abstand: 105 cm (115cm)
Brennflecknennwert: ≤1,3
Aufnahmespannung: 60 – 70 kV
Zusatzfilterung: 1 mm Al + mindestens 0,1 mm Cu
Bildempfängerdosis: SC 800
Brennflecknennwert: 0,6 (≤ 1,3)
Strahlenschutz: Bleigummiabdeckung der unmittelbar anschließenden Abschnitte des Körperstamms
  • Datenabgleich, Schwangerschaft
  • Voraufnahmen
  • Knie frei von Bekleidung
  • Bleischutz/Gonadenschutz = < 18 Jahre
  • Kopf wegdrehen vom Strahlenfeld

Rosenbergaufnahme
Es wurden keine Bilder gefunden.

Technik

  • FDA: 1,05 m
  • Ausgangsformat: 18/24
  • Röhrenkippung 10° cranio-caudal
  • Übertischaufnahme

Lagerung

mit Gesicht zur Röntgenplatte
zum besseren Gleichgewicht mit den Händen am RWG abstützen
Aufnahme erfolgt beidbeinig bei 45° Kniebeugung im dorsoventralen Strahlengang
nur Patellaunterrand berührt den Bildempänger

Zentralstrahl

Röhre 10° nach caudal geneigt auf Mitte Kniegelenk

Qualitätskriterien

Freier Einblick in die Fossa intercondylaris, Tibiaplateau muss strichförmig dargestellt werden.

  • Aufnahmedaten
  • Pädiatrische Besonderheiten
  • Vorbereitung des Patienten
Aufnahmeart: ohne Raster
Belichtungsautomatik: ohne
Bildempfängerdosis: SC 400
Fokus-Detektor-Abstand: 105 cm (115cm)
Brennflecknennwert: ≤1,3
Aufnahmespannung: 60 – 70 kV
Zusatzfilterung: 1 mm Al + mindestens 0,1 mm Cu
Bildempfängerdosis: SC 800
Brennflecknennwert: 0,6 (≤ 1,3)
Strahlenschutz: Bleigummiabdeckung der unmittelbar anschließenden Abschnitte des Körperstamms
  • Datenabgleich, Schwangerschaft
  • Voraufnahmen
  • Knie frei von Bekleidung
  • Bleischutz/Gonadenschutz = < 18 Jahre
  • Kopf wegdrehen vom Strahlenfeld

Patella axial (nach Knutsson)
Es wurden keine Bilder gefunden.

Technik

  • FDA: 1,05 m
  • Ausgangsformat: 15/15
  • Röhrenkippung: 90° caudo-cranial
  • Übertischaufnahme

Indikation

Fraktur, Luxation

Lagerung

liegend auf Tisch
Knie abwinkeln (ca. 60°)
Ferse unterpolstern bis Apex und Basis patellae parallel zueinanderstehen
Patient hält den Bildempfänger (Patella nah) auf OS

Zentralstrahl

Röhre um 90° gekippt
Querstrahl: unteren Rand der Patella
Längsstrahl: Objektmitte

Einblendung

1 QF Licht über Patella und Femurcondylen

Qualitätskriterien

Freier Durchblick durch das Femoropatellargelenk und überlagerungsfreie Darstellung der Patella.

  • Aufnahmedaten
  • Pädiatrische Besonderheiten
  • Vorbereitung des Patienten
Aufnahmeart: ohne Raster
Belichtungsautomatik: ohne
Bildempfängerdosis: SC 400
Fokus-Detektor-Abstand: 105 cm (115cm)
Brennflecknennwert: ≤1,3
Aufnahmespannung: 60 – 65 kV
Zusatzfilterung: 1 mm Al + mindestens 0,1 mm Cu
Bildempfängerdosis: SC 800
Brennflecknennwert: 0,6 (≤ 1,3)
Strahlenschutz: Bleigummiabdeckung der unmittelbar anschließenden Abschnitte des Körperstamms
  • Datenabgleich, Schwangerschaft
  • Voraufnahmen
  • Knie frei von Bekleidung
  • Bleischutz/Gonadenschutz = < 18 Jahre
  • Kopf wegdrehen vom Strahlenfeld

Patella in Bauchlage
Es wurden keine Bilder gefunden.

Technik

  • FDA: 1,05 m
  • Ausgangsformat: 15/15
  • ohne Raster

Indikation

Dysplasie (Stufenbildung), Fraktur, Arthrose.

Lagerung

in Bauchlage
Knie der betroffenen Seite maximal anwinkeln
Unterschenkel und Oberschenkel in der Kniebeuge berühren sich
Als Hilfsmittel sollte ein Band etc. verwendet werden
Oberschenkel liegt flach auf dem Tisch und der Unterschenkel darf nicht verkippen
Bleischürze ordnungsgemäß positionieren

Zentralstrahl

Querstrahl: unteren Rand der Patella
Längsstrahl: Objektmitte

Einblendung

1 QF Licht über Patella und Femurcondylen

Qualitätskriterien

Freier Durchblick durch das Femoropatellargelenk und überlagerungsfreie Darstellung der Patella

  • Aufnahmedaten
  • Pädiatrische Besonderheiten
  • Vorbereitung des Patienten
Aufnahmeart: ohne Raster
Belichtungsautomatik: ohne
Bildempfängerdosis: SC 400
Fokus-Detektor-Abstand: 105 cm (115cm)
Brennflecknennwert: ≤1,3
Aufnahmespannung: 60 – 65 kV
Zusatzfilterung: 1 mm Al + mindestens 0,1 mm Cu
Bildempfängerdosis: SC 800
Brennflecknennwert: 0,6 (≤ 1,3)
Strahlenschutz: Bleigummiabdeckung der unmittelbar anschließenden Abschnitte des Körperstamms
  • Datenabgleich, Schwangerschaft
  • Voraufnahmen
  • Knie frei von Bekleidung
  • Bleischutz/Gonadenschutz = < 18 Jahre
  • Kopf wegdrehen vom Strahlenfeld

Patella Defilée
Es wurden keine Bilder gefunden.

Technik

  • FDA: 1,05 m
  • Ausgangsformat: 15/15
  • Röhrenkippung: 90° caudo-cranial
  • Übertischaufnahme

Indikation

Dysplasie (Stufenbildung), Fraktur, Arthrose.

Lagerung

liegend auf Tisch
Knie abwinkeln (ca. 60°)
Ferse unterpolstern bis Apex und Basis patellae parallel zueinanderstehen
Patient hält den Bildempfänger (Patella nah) auf OS

1. Aufnahme:
Winkeleinstellung des Knies von 60° mit Hilfe selbst angefertigter Winkelmesser z.b. aus Karton, tangierender Verlauf entsprechend von Oberschenkelknochen (Femur) und Unterschenkelknochen (Tibia), die Spitze liegt unterhalb der Patella. Detektor auf Femur senkrecht, bei der 60° Aufnahme sind der Oberrand und Unterrand der Patella deckungsgleich, sie entspricht der Patellaspezialaufnahme.

2. Aufnahme:
Grundlagerung bleibt bestehen, Winkel des Knies 30°, hier ist der FOA größer, es wird der obere (proximale) Rand der Patella abgebildet (Vergrößerung).

3. Aufnahme:
Grundlagerung bleibt bestehen, Winkel des Knies 90°, kleiner FOA, dargestellt wird der untere (distale) Patellarand.

Zentralstrahl

Röhre um 90° gekippt
Querstrahl: unteren Rand der Patella
Längsstrahl: Objektmitte

Einblendung

1 QF Licht über Patella und Femurcondylen

Qualitätskriterien

Freier Durchblick durch das Femoropatellargelenk und überlagerungsfreie Darstellung der Patella.

  • Aufnahmedaten
  • Pädiatrische Besonderheiten
  • Vorbereitung des Patienten
Aufnahmeart: ohne Raster
Belichtungsautomatik: ohne
Bildempfängerdosis: SC 400
Fokus-Detektor-Abstand: 105 cm (115cm)
Brennflecknennwert: ≤1,3
Aufnahmespannung: 60 – 65 kV
Zusatzfilterung: 1 mm Al + mindestens 0,1 mm Cu
Bildempfängerdosis: SC 800
Brennflecknennwert: 0,6 (≤ 1,3)
Strahlenschutz: Bleigummiabdeckung der unmittelbar anschließenden Abschnitte des Körperstamms
  • Datenabgleich, Schwangerschaft
  • Voraufnahmen
  • Knie frei von Bekleidung
  • Bleischutz/Gonadenschutz = < 18 Jahre
  • Kopf wegdrehen vom Strahlenfeld

Fibula-Köpfchen 1. Ebene (Kniegelenk schräg)
Es wurden keine Bilder gefunden.

Technik

  • FDA: 1,05 m
  • Ausgangsformat: 18/24
  • Übertischaufnahme

Indikation

Bei Tibikopffrakturen oder Tumoren, als ergänzende Aufnahme zu den Standardaufnahmen.

Lagerung

in Rückenlage
Knie gestreckt
Fuß anziehen lassen, d.h. Fußsohle und Unterschenkel bilden einen Winkel von 90°
Bein um 45° nach innen drehen (Fuß an 45° Keil anlegen)

Zentralstrahl

senkrecht
Querzentrierung: unterer Patellarand
Längszentrierung:  Epicondylus medialis femoris

Einblendung

ventral Patella im Licht, prox./dist. min. 5 QF von QZ

Qualitätskriterien

Kniegelenkspalt in Bildempfänger möglichst ohne Doppelkontur durchsichtig. Fibulaköpfchen überlagerungsfrei.

  • Aufnahmedaten
  • Pädiatrische Besonderheiten
  • Vorbereitung des Patienten
Aufnahmeart: ohne Raster / ggf mit Raster
Belichtungsautomatik: ohne oder
mittleres Messfeld
Bildempfängerdosis: SC 400
Fokus-Detektor-Abstand: 105 cm (115cm)
Brennflecknennwert: ≤1,3
Aufnahmespannung: 60 – 70 kV
Zusatzfilterung: 1 mm Al + mindestens 0,1 mm Cu
Bildempfängerdosis: SC 800
Brennflecknennwert: 0,6 (≤ 1,3)
Strahlenschutz: Bleigummiabdeckung der unmittelbar anschließenden Abschnitte des Körperstamms
  • Datenabgleich, Schwangerschaft
  • Voraufnahmen
  • Knie frei von Bekleidung
  • Bleischutz/Gonadenschutz = < 18 Jahre
  • Kopf wegdrehen vom Strahlenfeld

Fibula-Köpfchen 2. Ebene (Kniegelenk schräg)
Es wurden keine Bilder gefunden.

Technik

  • FDA: 1,05 m
  • Ausgangsformat: 18/24
  • Übertischaufnahme

Indikation

Bei Tibikopffrakturen oder Tumoren, als ergänzende Aufnahme zu den Standardaufnahmen.

Lagerung

in Rückenlage
Knie gestreckt
Fuß anziehen lassen, d.h. Fußsohle und Unterschenkel bilden einen Winkel von 90°
Bein um 45° nach außen drehen (Fuß an 45° Keil anlegen)

Zentralstrahl

senkrecht
Querzentrierung: unterer Patellarand
Längszentrierung:  Epicondylus medialis femoris

Einblendung

ventral Patella im Licht, prox./dist. min. 5 QF von QZ

Qualitätskriterien

Kniegelenkspalt in Kassettenmitte durchsichtig. Fibulaköpfchen in der Mitte hinter der Tibia.

  • Aufnahmedaten
  • Pädiatrische Besonderheiten
  • Vorbereitung des Patienten
Aufnahmeart: ohne Raster / ggf mit Raster
Belichtungsautomatik: ohne oder
mittleres Messfeld
Bildempfängerdosis: SC 400
Fokus-Detektor-Abstand: 105 cm (115cm)
Brennflecknennwert: ≤1,3
Aufnahmespannung: 60 – 70 kV
Zusatzfilterung: 1 mm Al + mindestens 0,1 mm Cu
Bildempfängerdosis: SC 800
Brennflecknennwert: 0,6 (≤ 1,3)
Strahlenschutz: Bleigummiabdeckung der unmittelbar anschließenden Abschnitte des Körperstamms
  • Datenabgleich, Schwangerschaft
  • Voraufnahmen
  • Knie frei von Bekleidung
  • Bleischutz/Gonadenschutz = < 18 Jahre
  • Kopf wegdrehen vom StrahlenfeldKnie/Unterschenkel von Kleidung frei machen, Gonadenschutz anlegen.
Konversation wird geladen