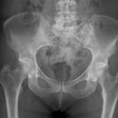
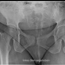
Becken / Hüfte

Beckenübersicht a.-p.
Es wurden keine Bilder gefunden.

index.png

Technik

  • FDA: 1,15 m
  • Ausgangsformat: 35/43 quer
  • mit Raster

Indikation

Fraktur, Luxation und degenerative Veränderungen (Coxarthrose)

Lagerung

Rückenlage
beide Beine gestreckt und Füße innenrotiert, sodass die Großzehen sich berühren

Zentralstrahl

ZS senkrecht auf Objekt- und Detektormitte

Einblendung

proximal 2QF über hinteren oberen Beckenkamm, lateral Hautgrenze auf Höhe Trochanter major

Bemerkung

ggf. bei großen Patienten FDA erhöhen

Qualitätskriterien

Das Becken stellt sich vollständig, symmetrisch und gleichmäßig gut belichtet dar, einschließlich beider Hüftgelenke und der Trochanteren. Trochanter major darf den Schenkelhals nicht überlagern und der Trochanter minor ist gerade erkennbar.

  • Aufnahmedaten
  • Pädiatrische Besonderheiten
  • Vorbereitung des Patienten
Aufnahmeart: Rastertisch
Belichtungsautomatik: seitliche Messfelder
Bildempfängerdosis: SC 400
Fokus-Detektor-Abstand: ≥ 115 cm (150cm)
Brennflecknennwert: ≤1,3
Aufnahmespannung: 75 – 90 kV
Expositionszeit: < 200 ms
Streustrahlenraster: r 12 (8)
Aufnahmeart: bei Säuglingen und Kleinkindern Aufnahmetisch, bei Körperdurchmesser grösser 12-15 cm Rastertisch
Aufnahmespannung: 70 – 80 kV, bei Säuglingen unter 6 Monaten 65 kV
Zusatzfilterung: 1 mm Al + mindestens 0,1 mm Cu
Bildempfängerdosis: SC 800 (400)
Brennflecknennwert: 0,6 (≤ 1,3)
Streustrahlenraster: r 8, kein Raster bei Säuglingen
Belichtungsautomatik: nur wenn Streustrahlenraster verwendet wird
Strahlenschutz: Hodenkapsel bzw. Ovarienschutz oder indirekter Ovarienschutz durch Bleieinschub in Tiefenblende
  • Datenabgleich, Schwangerschaft
  • Voraufnahmen
  • Becken und Oberschenkel von Kleidung und störenden Metallen frei machen
  • Gonadenschutz anlegen je nach Fragestellung = < 18 Jahre
  • Kopf wegdrehen vom Strahlenfeld

Becken tief a.-p.
Es wurden keine Bilder gefunden.

Technik

  • FDA: 1,15 m
  • Ausgangsformat: 35/43 quer
  • mit Raster

Indikation

Fraktur, Luxation, Z.n. Osteosynthesematerial

Lagerung

Rückenlage
beide Beine gestreckt und Füße innenrotiert, sodass die Großzehen sich berühren

Zentralstrahl

ZS senkrecht auf Objekt- und Detektormitte

Einblendung

ab Spina iliaca anterior superior

Bemerkung

1. Wahl bei Frage Fraktur Hüfte/Luxation/TEP
bei nicht gleicher Streckung der Knie, durch Unterpolsterung auf gleiche Höhe bringen

Qualitätskriterien

Symmetrisch und gleichmäßig gut belichtete Hüftgelenke und der Trochanteren. Trochanter major darf den Schenkelhals nicht überlagern und der Trochanter minor ist gerade erkennbar.

  • Aufnahmedaten
  • Pädiatrische Besonderheiten
  • Vorbereitung des Patienten
Aufnahmeart: Rastertisch
Belichtungsautomatik: seitliche Messfelder
Bildempfängerdosis: SC 400
Fokus-Detektor-Abstand: ≥ 115 cm (150cm)
Brennflecknennwert: ≤1,3
Aufnahmespannung: 75 – 90 kV
Expositionszeit: < 200 ms
Streustrahlenraster: r 12 (8)
Aufnahmeart: bei Säuglingen und Kleinkindern Aufnahmetisch, bei Körperdurchmesser grösser 12-15 cm Rastertisch
Aufnahmespannung: 70 – 80 kV, bei Säuglingen unter 6 Monaten 65 kV
Zusatzfilterung: 1 mm Al + mindestens 0,1 mm Cu
Bildempfängerdosis: SC 800 (400)
Brennflecknennwert: 0,6 (≤ 1,3)
Streustrahlenraster: r 8, kein Raster bei Säuglingen
Belichtungsautomatik: nur wenn Streustrahlenraster verwendet wird
Strahlenschutz: Hodenkapsel bzw. Ovarienschutz oder indirekter Ovarienschutz durch Bleieinschub in Tiefenblende
  • Datenabgleich, Schwangerschaft
  • Voraufnahmen
  • Becken und Oberschenkel von Kleidung und störenden Metallen frei machen
  • Gonadenschutz anlegen je nach Fragestellung = < 18 Jahre
  • Kopf wegdrehen vom Strahlenfeld

Becken Outlet (Pennal II)
Es wurden keine Bilder gefunden.

Technik

  • FDA: 1,15 m
  • Ausgangsformat: 35/43 quer
  • Röhenkippung 40° caudo-cranial
  • mit Raster

Lagerung

Rückenlage
Beine leicht gespreizt
Fußspitzen nach innen rotieren (evtl. Sandsack über Fußgelenke)

Zentralstrahl

40° caudo-cranial ca. 2-3 QF unterhalb des Symphysenoberrandes und Bildempfängermitte
Beckenfilter bei schlanken Patienten verwenden.

Qualitätskriterien

Auf der Aufnahme wird der untere Abschnitt der Iliosakralgelenke durch den oberen Schambeinast überlagert. Übersichtlich zur Darstellung kommt das Foramen obturatum mit unterem Schambeinast und Sitzbein. Gute Beurteilung auch des Hüftgelenkes.

  • Aufnahmedaten
  • Pädiatrische Besonderheiten
  • Vorbereitung des Patienten
Aufnahmeart: Rastertisch
Belichtungsautomatik: seitliche Messfelder
Bildempfängerdosis: SC 400
Fokus-Detektor-Abstand: ≥ 115 cm (150cm)
Brennflecknennwert: ≤1,3
Aufnahmespannung: 75 – 90 kV
Expositionszeit: < 200 ms
Streustrahlenraster: r 12 (8)
Aufnahmeart: bei Säuglingen und Kleinkindern Aufnahmetisch, bei Körperdurchmesser grösser 12-15 cm Rastertisch
Aufnahmespannung: 70 – 80 kV, bei Säuglingen unter 6 Monaten 65 kV
Zusatzfilterung: 1 mm Al + mindestens 0,1 mm Cu
Bildempfängerdosis: SC 800 (400)
Brennflecknennwert: 0,6 (≤ 1,3)
Streustrahlenraster: r 8, kein Raster bei Säuglingen
Belichtungsautomatik: nur wenn Streustrahlenraster verwendet wird
Strahlenschutz: Hodenkapsel bzw. Ovarienschutz oder indirekter Ovarienschutz durch Bleieinschub in Tiefenblende
  • Datenabgleich, Schwangerschaft
  • Voraufnahmen
  • Becken und Oberschenkel von Kleidung und störenden Metallen frei machen
  • Gonadenschutz anlegen je nach Fragestellung = < 18 Jahre
  • Kopf wegdrehen vom Strahlenfeld

Becken Inlet (Pennal I)
Es wurden keine Bilder gefunden.

Technik

  • FDA: 1,15 m
  • Ausgangsformat: 35/43 hoch
  • Röhrenkippung 40° cranio-caudal
  • mit Raster

Lagerung

Rückenlage
Beine leicht gespreizt
Fußspitzen nach innen rotieren (evtl. Sandsack über Fußgelenke)

Zentralstrahl

40° cranio-caudal auf die Spina ilica anterior superior und Bildempfängermitte
Beckenfilter bei schlanken Patienten verwenden.

Qualitätskriterien

Auf der Röntgenaufnahme nach Pennal I ist der Beckenring längsoval verzerrt dargestellt. Oberer und unterer Schambeinast projizieren sich nahezu aufeinander. Verzerrte Darstellung des Hüftgelenkes.

  • Aufnahmedaten
  • Pädiatrische Besonderheiten
  • Vorbereitung des Patienten
Aufnahmeart: Rastertisch
Belichtungsautomatik: seitliche Messfelder
Bildempfängerdosis: SC 400
Fokus-Detektor-Abstand: ≥ 115 cm (150cm)
Brennflecknennwert: ≤1,3
Aufnahmespannung: 75 – 90 kV
Expositionszeit: < 200 ms
Streustrahlenraster: r 12 (8)
Aufnahmeart: bei Säuglingen und Kleinkindern Aufnahmetisch, bei Körperdurchmesser grösser 12-15 cm Rastertisch
Aufnahmespannung: 70 – 80 kV, bei Säuglingen unter 6 Monaten 65 kV
Zusatzfilterung: 1 mm Al + mindestens 0,1 mm Cu
Bildempfängerdosis: SC 800 (400)
Brennflecknennwert: 0,6 (≤ 1,3)
Streustrahlenraster: r 8, kein Raster bei Säuglingen
Belichtungsautomatik: nur wenn Streustrahlenraster verwendet wird
Strahlenschutz: Hodenkapsel bzw. Ovarienschutz oder indirekter Ovarienschutz durch Bleieinschub in Tiefenblende
  • Datenabgleich, Schwangerschaft
  • Voraufnahmen
  • Becken und Oberschenkel von Kleidung und störenden Metallen frei machen
  • Gonadenschutz anlegen je nach Fragestellung = < 18 Jahre
  • Kopf wegdrehen vom Strahlenfeld

Rippstein 1
Es wurden keine Bilder gefunden.

Technik

  • FDA: 1,15 m
  • Ausgangsformat: je nach Patientengröße

Lagerung

Rückenlage am Ende des Tisches
Knie hängen im Winkel von 90° parallel zueinander nach unten

Zentralstrahl

Ca. 2QF oberhalb Symphyse, oberer Bildempfängerrand 2QF oberhalb des oberen hinteren Beckenkammes

Qualitätskriterien

Das Becken stellt sich vollständig, symmetrisch und gleichmäßig gut belichtet dar, einschließlich beider Hüftgelenke und der Trochanteren. Trochanter major darf den Schenkelhals nicht überlagern und der Trochanter minor ist gerade erkennbar.

  • Aufnahmedaten Pädiatrisch
  • Vorbereitung des Patienten
Aufnahmeart: bei Säuglingen und Kleinkindern Aufnahmetisch, bei Körperdurchmesser grösser 12-15 cm Rastertisch
Aufnahmespannung: 70 – 80 kV, bei Säuglingen unter 6 Monaten 65 kV
Zusatzfilterung: 1 mm Al + mindestens 0,1 mm Cu
Bildempfängerdosis: SC 800 (400)
Brennflecknennwert: 0,6 (≤ 1,3)
Streustrahlenraster: r 8, kein Raster bei Säuglingen
Belichtungsautomatik: nur wenn Streustrahlenraster verwendet wird
Strahlenschutz: Hodenkapsel bzw. Ovarienschutz oder indirekter Ovarienschutz durch Bleieinschub in Tiefenblende
  • Datenabgleich, Schwangerschaft
  • Voraufnahmen
  • Becken und Oberschenkel von Kleidung und störenden Metallen frei machen
  • Gonadenschutz anlegen je nach Fragestellung = < 18 Jahre
  • Kopf wegdrehen vom Strahlenfeld

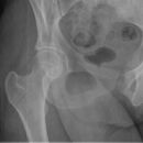
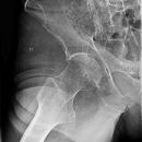
Hüftgelenk a.-p.
Es wurden keine Bilder gefunden.

Technik

  • FDA: 1,15 m
  • Ausgangsformat: 24/30
  • mit Raster

Indikation

Fraktur, Luxation, degenerative Veränderungen, Osteosynthesematerial

Lagerung

Rückenlage
aufzunehmendes Bein gestreckt und innenrotiert

Zentralstrahl

ZS senkrecht auf Objekt- und Detektormitte

Einblendung

ab Spina iliaca anterior superior,
lateral Hautgrenze auf Höhe Trochanter major

Qualitätskriterien

Gut übersichtliche Darstellung des Hüftgelenks und der Trochanteren. Der Trochanter major darf den Schenkelhals nicht überlagern. Vom Trochanter minor ist medialseitig nur die Spitze zu sehen.

  • Aufnahmedaten
  • Pädiatrische Besonderheiten
  • Vorbereitung des Patienten
Aufnahmeart: Rastertisch oder Rasterwandgerät
Belichtungsautomatik: mittleres Messfeld
Bildempfängerdosis: SC 400
Fokus-Detektor-Abstand: 115 cm
Brennflecknennwert: ≤1,3
Aufnahmespannung: 70 – 85 kV
Expositionszeit: < 100 ms
Streustrahlenraster: r 8 (12)
Aufnahmeart: Aufnahmetisch, Rastertisch nur bei größeren Kinder
Aufnahmespannung: 70 – 75 kV, bei Neugeborenen und Säuglingen 60 – 65 kV
Zusatzfilterung: 1 mm Al + mindestens 0,1 mm Cu
Bildempfängerdosis: SC 800 (400)
Brennflecknennwert: 0,6 (≤ 1,3)
Streustrahlenraster: r 8 nur bei Hüftgelenk von Kindern über 8 Jahren und Jugendlichen
Belichtungsautomatik: nur wenn Streustrahlenraster verwendet wird
Strahlenschutz: bei Knaben immer Hodenkapsel; bei Mädchen Ovarienabdeckung oder indirekter Ovarienschutz durch Bleieinschub in die Tiefenblende, wenn diagnostisch möglich
  • Datenabgleich, Schwangerschaft
  • Voraufnahmen
  • Becken und Oberschenkel von Kleidung und störenden Metallen frei machen
  • Gonadenschutz anlegen je nach Fragestellung = < 18 Jahre
  • Kopf wegdrehen vom Strahlenfeld

Hüfte nach Lauenstein I (45°)
Es wurden keine Bilder gefunden.

Technik

  • FDA: 1,15 m
  • Ausgangsformat: 24/30
  • mit Raster

Lagerung

Rückenlage
Beugung der Hüfte des aufzunehmenden Beines um ca. 45°,
Abduktion ohne Verdrehung des Beckens im 45° Winkel
(ggf. aufzunehmende Beckenseite mit 15° Keil unterpolstern)

Zentralstrahl

ZS senkrecht auf Leisten- und Detektormitte

Einblendung

oberes Licht über Spina iliaca; lateral Licht bis Symphyse
Tiefenblende anpassen

Bemerkung

KONTRAINDIKATION: frische Fraktur und Luxation

Qualitätskriterien

Gute Beurteilung des Hüftkopfes, der Pfanne und des Schenkelhalses. Der Trochanter major überdeckt weitgehend den Schenkelhals.

  • Aufnahmedaten
  • Pädiatrische Besonderheiten
  • Vorbereitung des Patienten
Aufnahmeart: Rastertisch
Belichtungsautomatik: mittleres Messfeld
Bildempfängerdosis: SC 400
Fokus-Detektor-Abstand: 115 cm
Brennflecknennwert: ≤1,3
Aufnahmespannung: 70 – 85 kV
Expositionszeit: < 100 ms
Streustrahlenraster: r 8 (12)
Aufnahmeart: Aufnahmetisch, Rastertisch nur bei größeren Kinder
Aufnahmespannung: 70 – 75 kV, bei Neugeborenen und Säuglingen 60 – 65 kV
Zusatzfilterung: 1 mm Al + mindestens 0,1 mm Cu
Bildempfängerdosis: SC 800 (400)
Brennflecknennwert: 0,6 (≤ 1,3)
Streustrahlenraster: r 8 nur bei Hüftgelenk von Kindern über 8 Jahren und Jugendlichen
Belichtungsautomatik: nur wenn Streustrahlenraster verwendet wird
Strahlenschutz: bei Knaben immer Hodenkapsel; bei Mädchen Ovarienabdeckung oder indirekter Ovarienschutz durch Bleieinschub in die Tiefenblende, wenn diagnostisch möglich
  • Datenabgleich, Schwangerschaft
  • Voraufnahmen
  • Becken und Oberschenkel von Kleidung und störenden Metallen frei machen
  • Gonadenschutz anlegen je nach Fragestellung = < 18 Jahre
  • Kopf wegdrehen vom Strahlenfeld

Hüfte nach Lauenstein II (15°)
Es wurden keine Bilder gefunden.

Technik

  • FDA: 1,15 m
  • Ausgangsformat: 24/30
  • mit Raster

Indikation

Beurteilung des Schenkelhalses

Lagerung

Rückenlage
aufzunehmendes Bein maximal anziehen lassen (soweit wie Patient kann)
Fuß steht exakt parallel zur Körperachse
Hüfte geringfügig um 15°abduzieren

Zentralstrahl

ZS senkrecht auf Leisten- und Detektormitte

Einblendung

oberes Licht über Spina iliaca; lateral Licht bis Symphyse
Tiefenblende anpassen

Bemerkung

KONTRAINDIKATION: frische Fraktur und Luxation

Qualitätskriterien

Gute Beurteilung des Hüftkopfes, der Pfanne und des Schenkelhalses. Der Trochanter major überdeckt bei teilweise den Schenkelhals.

  • Aufnahmedaten
  • Pädiatrische Besonderheiten
  • Vorbereitung des Patienten
Aufnahmeart: Rastertisch
Belichtungsautomatik: mittleres Messfeld
Bildempfängerdosis: SC 400
Fokus-Detektor-Abstand: 115 cm
Brennflecknennwert: ≤1,3
Aufnahmespannung: 70 – 85 kV
Expositionszeit: < 100 ms
Streustrahlenraster: r 8 (12)
Aufnahmeart: Aufnahmetisch, Rastertisch nur bei größeren Kinder
Aufnahmespannung: 70 – 75 kV, bei Neugeborenen und Säuglingen 60 – 65 kV
Zusatzfilterung: 1 mm Al + mindestens 0,1 mm Cu
Bildempfängerdosis: SC 800 (400)
Brennflecknennwert: 0,6 (≤ 1,3)
Streustrahlenraster: r 8 nur bei Hüftgelenk von Kindern über 8 Jahren und Jugendlichen
Belichtungsautomatik: nur wenn Streustrahlenraster verwendet wird
Strahlenschutz: bei Knaben immer Hodenkapsel; bei Mädchen Ovarienabdeckung oder indirekter Ovarienschutz durch Bleieinschub in die Tiefenblende, wenn diagnostisch möglich
  • Datenabgleich, Schwangerschaft
  • Voraufnahmen
  • Becken und Oberschenkel von Kleidung und störenden Metallen frei machen
  • Gonadenschutz anlegen je nach Fragestellung = < 18 Jahre
  • Kopf wegdrehen vom Strahlenfeld

Hüfte axial (Sven Johansson)
Es wurden keine Bilder gefunden.

Technik

  • FDA: 1,15 m
  • Ausgangsformat: 24/30
  • Röhrenkippung

Indikation

Beurteilung des Schenkelhalses

Lagerung

Rückenlage
Becken unterpolstern (bei dünnen Patienten oder bei Bettaufnahmen)
Fuß der aufzunehmen Seite nach innen rotieren (wenn möglich)
das gesunde Bein anziehen lassen und den angewinkelten Unterschenkel nach außen drehen
senkrecht stehender Detektor im Winkel von ca. 45° (d.h. parallel zum Schenkelhals) an untere Rippen schieben
Keilfilter in die Tiefenblende

Zentralstrahl

Auf Leiste und senkrecht auf Bildempfänger
Röhre 90°

Bemerkung

Kein Gonadenschutz möglich.

Qualitätskriterien

Der Schenkelhals soll nicht verkürzt dargestellt werden.

  • Aufnahmedaten
  • Pädiatrische Besonderheiten
  • Vorbereitung des Patienten
Aufnahmeart: Rasterwandgerät oder ohne Raster
Belichtungsautomatik: mittleres Messfeld oder freie Belichtung
Bildempfängerdosis: SC 400
Fokus-Detektor-Abstand: 115 cm
Brennflecknennwert: ≤1,3
Aufnahmespannung: 75 – 90 kV
Expositionszeit: < 100 ms
Streustrahlenraster: r 8 (12)
Aufnahmeart: Aufnahmetisch, Rastertisch nur bei größeren Kinder
Aufnahmespannung: 70 – 75 kV, bei Neugeborenen und Säuglingen 60 – 65 kV
Zusatzfilterung: 1 mm Al + mindestens 0,1 mm Cu
Bildempfängerdosis: SC 800 (400)
Brennflecknennwert: 0,6 (≤ 1,3)
Streustrahlenraster: r 8 nur bei Hüftgelenk von Kindern über 8 Jahren und Jugendlichen
Belichtungsautomatik: nur wenn Streustrahlenraster verwendet wird
Strahlenschutz: bei Knaben immer Hodenkapsel; bei Mädchen Ovarienabdeckung oder indirekter Ovarienschutz durch Bleieinschub in die Tiefenblende, wenn diagnostisch möglich
  • Datenabgleich, Schwangerschaft
  • Voraufnahmen
  • Becken und Oberschenkel von Kleidung und störenden Metallen frei machen
  • Gonadenschutz anlegen je nach Fragestellung = < 18 Jahre
  • Kopf wegdrehen vom Strahlenfeld

Foramen obturatum
Es wurden keine Bilder gefunden.

Technik

  • FDA: 1,15 m
  • Ausgangsformat: 24/30
  • mit Raster

Indikation

Beckenring- und Hüftgelenksfrakturen, Osteosynthesematerial

Lagerung

Rückenlage
um 45° wird die aufzunehmende Seite angehoben
Beinstellung; betroffene Seite strecken, Gegenseite anwinkeln

Zentralstrahl

Querstrahl: 5 QF unterhalb der Spina iliaca
Längsstrahl: 1 QF medial der Spina iliaca

Einblendung

Symphyse und Spina iliaca im Licht

Qualitätskriterien

Foramen obturatum erscheint quer, oval, Darmbeinschaufel (Ala) erscheint verkürzt; am Hüftgelenk ist der dorsale Pfannenrand und Pfannendach gut beurteilbar.

  • Aufnahmedaten
  • Pädiatrische Besonderheiten
  • Vorbereitung des Patienten
Aufnahmeart: Rastertisch oder Rasterwandgerät
Belichtungsautomatik: mittleres Messfeld
Bildempfängerdosis: SC 400
Fokus-Detektor-Abstand: 115 cm
Brennflecknennwert: ≤1,3
Aufnahmespannung: 75 – 90 kV
Expositionszeit: < 100 ms
Streustrahlenraster: r 8 (12)
Aufnahmeart: Aufnahmetisch, Rastertisch nur bei größeren Kinder
Aufnahmespannung: 70 – 75 kV, bei Neugeborenen und Säuglingen 60 – 65 kV
Zusatzfilterung: 1 mm Al + mindestens 0,1 mm Cu
Bildempfängerdosis: SC 800 (400)
Brennflecknennwert: 0,6 (≤ 1,3)
Streustrahlenraster: r 8 nur bei Hüftgelenk von Kindern über 8 Jahren und Jugendlichen
Belichtungsautomatik: nur wenn Streustrahlenraster verwendet wird
Strahlenschutz: bei Knaben immer Hodenkapsel; bei Mädchen Ovarienabdeckung oder indirekter Ovarienschutz durch Bleieinschub in die Tiefenblende, wenn diagnostisch möglich
  • Datenabgleich, Schwangerschaft
  • Voraufnahmen
  • Becken und Oberschenkel von Kleidung und störenden Metallen frei machen
  • Gonadenschutz anlegen je nach Fragestellung = < 18 Jahre
  • Kopf wegdrehen vom Strahlenfeld

Ala
Es wurden keine Bilder gefunden.

Technik

  • FDA: 1,15 m
  • Ausgangsgröße: 24/30 hoch
  • mit Raster

Indikation

Fraktur, Osteosynthesematerial, Tumore

Lagerung

liegend auf dem UT
um 45° wird die nicht aufzunehmende Seite angehoben
Beinstellung: betroffene Seite strecken, Gegenseite anwinkeln
und leicht abduzieren

Zentralstrahl

Querstrahl: Spina iliaca
Längsstrahl: Symphyse

Einblendung

oberes Licht 2 QF über Beckenkamm

Qualitätskriterien

Gute Beurteilbarkeit des Gelenkspalts, des hinteren Pfannenrandes sowie des größten Teils der Darmbeinschaufel. Das Foramen obturatum wird vom Sitzbein überlagert.

  • Aufnahmedaten
  • Pädiatrische Besonderheiten
  • Vorbereitung des Patienten
Aufnahmeart: Rastertisch oder Rasterwandgerät
Belichtungsautomatik: mittleres Messfeld
Bildempfängerdosis: SC 400
Fokus-Detektor-Abstand: 115 cm
Brennflecknennwert: ≤1,3
Aufnahmespannung: 75 – 90 kV
Expositionszeit: < 100 ms
Streustrahlenraster: r 8 (12)
Aufnahmeart: Aufnahmetisch, Rastertisch nur bei größeren Kinder
Aufnahmespannung: 70 – 75 kV, bei Neugeborenen und Säuglingen 60 – 65 kV
Zusatzfilterung: 1 mm Al + mindestens 0,1 mm Cu
Bildempfängerdosis: SC 800 (400)
Brennflecknennwert: 0,6 (≤ 1,3)
Streustrahlenraster: r 8 nur bei Hüftgelenk von Kindern über 8 Jahren und Jugendlichen
Belichtungsautomatik: nur wenn Streustrahlenraster verwendet wird
Strahlenschutz: bei Knaben immer Hodenkapsel; bei Mädchen Ovarienabdeckung oder indirekter Ovarienschutz durch Bleieinschub in die Tiefenblende, wenn diagnostisch möglich
  • Datenabgleich, Schwangerschaft
  • Voraufnahmen
  • Becken und Oberschenkel von Kleidung und störenden Metallen frei machen
  • Gonadenschutz anlegen je nach Fragestellung = < 18 Jahre
  • Kopf wegdrehen vom Strahlenfeld

Symphyse a.-p.
Es wurden keine Bilder gefunden.

Technik

  • FDA: 1,15 m
  • Ausgangsformat: 18/24 quer
  • Röhrenkippung 10° cranio-caudal
  • mit Raster

Lagerung

Rückenlage
Beine sind gestreckt und die Symphyse liegt in der Mitte

Zentralstrahl

10° cranio-caudal auf die ertastete Symphyse.

Qualitätskriterien

Scharfe Darstellung der Symphyse. Das Foramen obturatum stellt sich längsoval dar.

  • Aufnahmedaten
  • Pädiatrische Besonderheiten
  • Vorbereitung des Patienten
Aufnahmeart: Rastertisch oder Rasterwandgerät
Belichtungsautomatik: mittleres Messfeld
Bildempfängerdosis: SC 400
Fokus-Detektor-Abstand: 115 cm
Brennflecknennwert: ≤1,3
Aufnahmespannung: 75 – 90 kV
Expositionszeit: < 100 ms
Streustrahlenraster: r 8 (12)
Aufnahmeart: Aufnahmetisch, Rastertisch nur bei größeren Kinder
Aufnahmespannung: 70 – 75 kV, bei Neugeborenen und Säuglingen 60 – 65 kV
Zusatzfilterung: 1 mm Al + mindestens 0,1 mm Cu
Bildempfängerdosis: SC 800 (400)
Brennflecknennwert: 0,6 (≤ 1,3)
Streustrahlenraster: r 8 nur bei Hüftgelenk von Kindern über 8 Jahren und Jugendlichen
Belichtungsautomatik: nur wenn Streustrahlenraster verwendet wird
Strahlenschutz: bei Knaben immer Hodenkapsel; bei Mädchen Ovarienabdeckung oder indirekter Ovarienschutz durch Bleieinschub in die Tiefenblende, wenn diagnostisch möglich
  • Datenabgleich, Schwangerschaft
  • Voraufnahmen
  • Becken und Oberschenkel von Kleidung und störenden Metallen frei machen
  • Gonadenschutz anlegen je nach Fragestellung = < 18 Jahre
  • Kopf wegdrehen vom Strahlenfeld

Flamingo - Beckenübersicht Einbeinstand
Es wurden keine Bilder gefunden.

Technik

  • FDA: 1,15 m
  • Ausgangsformat: 24/30 quer
  • mit Raster

Lagerung

stehend mit dem Rücken im Einbeinstand am Rasterwandgerät
Dabei sollte nur im Knie angewinkelt werden

Zentralstrahl

Senkrecht auf ca. 1 Querfinger über der Symphyse.

Anmerkung

Die Aufnahmen erfolgen immer beidseits, da es hier um einen Nachweis einer Symphyseninstabilität geht.

Qualitätskriterien

Scharfe Darstellung der Symphyse mit einschließlich der Schambeinäste.

  • Aufnahmedaten
  • Pädiatrische Besonderheiten
  • Vorbereitung des Patienten
Aufnahmeart: Rastertisch oder Rasterwandgerät
Belichtungsautomatik: mittleres Messfeld
Bildempfängerdosis: SC 400
Fokus-Detektor-Abstand: 115 cm
Brennflecknennwert: ≤1,3
Aufnahmespannung: 75 – 90 kV
Expositionszeit: < 100 ms
Streustrahlenraster: r 8 (12)
Aufnahmeart: Aufnahmetisch, Rastertisch nur bei größeren Kinder
Aufnahmespannung: 70 – 75 kV, bei Neugeborenen und Säuglingen 60 – 65 kV
Zusatzfilterung: 1 mm Al + mindestens 0,1 mm Cu
Bildempfängerdosis: SC 800 (400)
Brennflecknennwert: 0,6 (≤ 1,3)
Streustrahlenraster: r 8 nur bei Hüftgelenk von Kindern über 8 Jahren und Jugendlichen
Belichtungsautomatik: nur wenn Streustrahlenraster verwendet wird
Strahlenschutz: bei Knaben immer Hodenkapsel; bei Mädchen Ovarienabdeckung oder indirekter Ovarienschutz durch Bleieinschub in die Tiefenblende, wenn diagnostisch möglich
  • Datenabgleich, Schwangerschaft
  • Voraufnahmen
  • Becken und Oberschenkel von Kleidung und störenden Metallen frei machen
  • Gonadenschutz anlegen je nach Fragestellung = < 18 Jahre
  • Kopf wegdrehen vom StrahlenfeldBecken und Oberschenkel von Kleidung und störenden Metallen frei machen, Gonadenschutz anlegen je nach Fragestellung.

Ganzbeinaufnahme a.-p.
Es wurden keine Bilder gefunden.

Technik

  • Format 3 x 35/43 im Ganzbeinstativ oder 30/120 Rasterkassette
  • FDA 3m
  • Ausgleichsfilter

Lagerung

steht mit dem Rücken am Ganzbeinstativ bzw. an Detektor
Fersen ans Stativ bzw. Detektor angelehnt
Patellamittelstellung
evtl. Ausgleichsfilter an der Tiefenblende einschieben

Zentralstrahl

Ergibt sich anhand der Aufblendung.

Einblendung

Aufblendung von Spina iliaca bis einschließlich komplettes Sprunggelenk

Qualitätskriterien

Vollständige Darstellung des Beckens, der Hüftgelenke bis runter zum Fuss. Für Winkelmessungen am Hüftgelenk ist es wichtig, dass Trochanter major und minor gut sichtbar sind.

  • Aufnahmedaten
  • Pädiatrische Besonderheiten
  • Vorbereitung des Patienten
Aufnahmeart: Rasterwandgerät
Belichtungsautomatik: mittleres Messfeld
Bildempfängerdosis: SC 400
Fokus-Detektor-Abstand: 300 cm
Brennflecknennwert: ≤1,3
Aufnahmespannung: 75 – 90 kV
Expositionszeit: < 100 ms
Streustrahlenraster: r 8 (12)
Aufnahmeart: Rasterwandgerät
Aufnahmespannung: 70 – 75 kV, bei Neugeborenen und Säuglingen 60 – 65 kV
Zusatzfilterung: 1 mm Al + mindestens 0,1 mm Cu
Bildempfängerdosis: SC 800 (400)
Brennflecknennwert: 0,6 (≤ 1,3)
Streustrahlenraster: r 8 nur bei Hüftgelenk von Kindern über 8 Jahren und Jugendlichen
Belichtungsautomatik: nur wenn Streustrahlenraster verwendet wird
Strahlenschutz: bei Knaben immer Hodenkapsel; bei Mädchen Ovarienabdeckung oder indirekter Ovarienschutz durch Bleieinschub in die Tiefenblende, wenn diagnostisch möglich
  • Datenabgleich, Schwangerschaft
  • Voraufnahmen
  • Ganzes Blein von Kleidung und störenden Metallen frei machen
  • Gonadenschutz anlegen je nach Fragestellung = < 18 Jahre
  • Kopf wegdrehen vom Strahlenfeld

Beckenübersicht nach Erlanger Standard
Es wurden keine Bilder gefunden.

Technik

  • FDA: 1.15m bei kleinen Kindern, 1.50 m bei großen Kindern
  • Ausgangsformat: 35/43 bei großen Kindern, 24/30 bei kleinen Kindern

Indikation

Vor Nierentransplantation (NTX) bei Kindern um die maximale Größe des Spenderorgans berechnen zu können.

Lagerung

In Rückenlage
Arme etwas abgespreizt, oder wenn möglich nach oben nehmen lassen
Metalllineal mit Skalierung seitlich in der Mitte des Patienten halten bzw positionieren damit es auf Höhe der Axillarlinie befindet (nicht auf den Tisch legen!)

Zentralstrahl

Senkrecht auf Beckenkamm und Körpermitte. Das Lineal muss voll aufgeblendet sein!

Qualitätskriterien

Untere Bildbegrenzung Symphysenunterrand, oberer Rand ist die 12. Rippe, das Lineal muss gut sichtbar sein.

Anmerkung

Gonadenschutz nur bei Jungen möglich!!!

  • Aufnahmedaten Pädiatrisch
  • Vorbereitung des Patienten
Aufnahmeart: Aufnahmetisch, Rastertisch nur bei größeren Kinder
Aufnahmespannung: 70 – 75 kV, bei Neugeborenen und Säuglingen 60 – 65 kV
Zusatzfilterung: 1 mm Al + mindestens 0,1 mm Cu
Bildempfängerdosis: SC 800 (400)
Brennflecknennwert: 0,6 (≤ 1,3)
Streustrahlenraster: r 8 nur bei Hüftgelenk von Kindern über 8 Jahren und Jugendlichen
Belichtungsautomatik: nur wenn Streustrahlenraster verwendet wird
Strahlenschutz: bei Knaben immer Hodenkapsel; bei Mädchen Ovarienabdeckung oder indirekter Ovarienschutz durch Bleieinschub in die Tiefenblende, wenn diagnostisch möglich
  • Datenabgleich, Schwangerschaft
  • Voraufnahmen
  • Becken und Oberschenkel von Kleidung und störenden Metallen frei machen
  • Gonadenschutz anlegen je nach Fragestellung = < 18 Jahre
  • Kopf wegdrehen vom Strahlenfeld
Konversation wird geladen