Wirbelsäule

Halswirbelsäule a.-p.
Es wurden keine Bilder gefunden.

Technik

  • FDA: 1,15 m
  • Ausgangsformat: 18/24 
  • mit Raster

Indikation

Fraktur, Schleudertrauma und degenerative Veränderungen 

Lagerung

aufrecht sitzend/stehend am Stativ oder Rückenlage
Kopf gerade und Kinn leicht angehoben

Zentralstrahl

auf Objekt- und Detektormitte

Einblendung

oberes Licht ab Tragus, lateral Hautgrenze

Anmerkung

Röhrenkippung 15° caudo-cranial möglich

Qualitätskriterien

Alle 7 Halswirbelkörper symmetrisch dargestellt, Übergänge zum Schädel und zu der BWS müssen abgebildet sein, Dornfortsätze sind mittelständig.

  • Aufnahmedaten
  • Pädiatrische Besonderheiten
  • Vorbereitung des Patienten
Aufnahmeart: Rastertisch, Rasterwandgerät
Belichtungsautomatik: mittleres Messfeld
Bildempfängerdosis: SC 400
Fokus-Detektor-Abstand: 115 cm
Brennflecknennwert: ≤1,3
Aufnahmespannung: 65 – 75 kV
Expositionszeit: < 100 ms
Streustrahlenraster: r 12 (8)
Aufnahmeart: Aufnahmetisch, Rastertisch
Aufnahmespannung: 60 – 75 kV
Zusatzfilterung: 1 mm Al + mindestens 0,1 mm Cu
Bildempfängerdosis: SC 800 (400)
Brennflecknennwert: 0,6 (≤ 1,3)
Streustrahlenraster: r 8, kein Raster bei Säuglingen
Strahlenschutz: Bleigummiabdeckung der unmittelbar anschließenden Abschnitte des Körperstamms
  • Datenabgleich, Schwangerschaft
  • Voraufnahmen 
  • Hals/Kopf von Kleidung und Schmuck und evtl. Zahnprothese frei machen
  • Bleischutz/Gonadenschutz = < 18 Jahre

Halswirbelsäule lateral
Es wurden keine Bilder gefunden.

Technik

  • FDA: 1,15 m
  • Ausgangsformat: 24/30
  • mit Raster

Indikation

Fraktur, Schleudertrauma und degenerative Veränderungen

Lagerung

aufrecht sitzend am Stativ 
Arme seitlich hängend, aktiv nach unten ziehen lassen
Kopf gerade und Kinn leicht angehoben

Zentralstrahl

ZS senkrecht auf Objekt- und Detektormitte
Quer: 2 QF unter Kieferwinkel
Längs: ca. Processus mastoideus
Tiefenblende anpassen

Einblendung

oberes Licht Tragus, lateral Prominens im Licht 

Qualitätskriterien

Alle 7 HWK lateral dargestellt, orthogonale Darstellung der Grund- und Deckplatten, Processus spinosus des 7. HWK vollständig dargestellt, Mandibula überdeckt HWS nicht.

  • Aufnahmedaten
  • Pädiatrische Besonderheiten
  • Vorbereitung des Patienten
Aufnahmeart: Rastertisch, Rasterwandgerät
Belichtungsautomatik: mittleres Messfeld
Bildempfängerdosis: SC 400
Fokus-Detektor-Abstand: 115 cm
Brennflecknennwert: ≤1,3
Aufnahmespannung: 65 – 80 kV
Expositionszeit: < 100 ms
Streustrahlenraster: r 12 (8)
Aufnahmeart: Aufnahmetisch, Rastertisch
Aufnahmespannung: 60 – 75 kV
Zusatzfilterung: 1 mm Al + mindestens 0,1 mm Cu
Bildempfängerdosis: SC 800 (400)
Brennflecknennwert: 0,6 (≤ 1,3)
Streustrahlenraster: r 8, kein Raster bei Säuglingen
Strahlenschutz: Bleigummiabdeckung der unmittelbar anschließenden Abschnitte des Körperstamms
  • Datenabgleich, Schwangerschaft
  • Voraufnahmen 
  • Hals/Kopf von Kleidung und Schmuck und evtl. Zahnprothese frei machen
  • Bleischutz/Gonadenschutz = < 18 Jahre

Dens
Es wurden keine Bilder gefunden.

index.png

Technik

  • FDA: 1,15 m
  • Ausgangsformat: 18/24
  • mit Raster

Indikation

Fraktur

Lagerung

Rückenlage
Kinn anziehen, bis obere Zahnreihe und Hinterhauptshöcker senkrecht zueinanderstehen
Mund weit geöffnet

Zentralstrahl

Querstrahl: Mundwinkel
Längsstrahl: Medianebene

Einblendung

seitlich ca. 1 QF neben Mundwinkel, 
cranial: Spina nasalis

Bemerkung

auch sitzend am Stativ möglich

Qualitätskriterien

Bissebene und Unterkante des Hinterhaupts sollen sich überdecken. Der Dens ist mittelständig: gleicher Abstand zum aufsteigenden Ast des Unterkiefers beidseits. Weitgehend überlagerungsfreie Darstellung des Atlas und des Axis mit Dens. Gut einsehbares Atlantookzipital- und Atlantoaxialgelenk. Der vordere und der hintere Atlasbogen überlagern den Dens.

  • Aufnahmedaten
  • Pädiatrische Besonderheiten
  • Vorbereitung des Patienten
Aufnahmeart: Rastertisch, Rasterwandgerät
Belichtungsautomatik: mittleres Messfeld
Bildempfängerdosis: SC 400
Fokus-Detektor-Abstand: 115 cm
Brennflecknennwert: ≤1,3
Aufnahmespannung: 65 – 75 kV
Expositionszeit: < 100 ms
Streustrahlenraster: r 12 (8)
Aufnahmeart: Aufnahmetisch, Rastertisch
Aufnahmespannung: 60 – 75 kV
Zusatzfilterung: 1 mm Al + mindestens 0,1 mm Cu
Bildempfängerdosis: SC 800 (400)
Brennflecknennwert: 0,6 (≤ 1,3)
Streustrahlenraster: r 8, kein Raster bei Säuglingen
Strahlenschutz: Bleigummiabdeckung der unmittelbar anschließenden Abschnitte des Körperstamms
  • Datenabgleich, Schwangerschaft
  • Voraufnahmen 
  • Hals/Kopf von Kleidung und Schmuck und evtl. Zahnprothese frei machen
  • Bleischutz/Gonadenschutz = < 18 Jahre

Halswirbelsäule schräg (Foramina intervertebralia)
Es wurden keine Bilder gefunden.

Technik

  • FDA: 1,15 m
  • Ausgangsformat: 24/30
  • Röhrenkippung: 10° caudo-cranial
  • mit Raster

Indikation

Verengung der Foramina intervertebralia, Tumor

Lagerung

sitzend/stehend mit Rücken am Stativ
45° aufzunehmende Seite angehoben
Kinn leicht angehoben

Zentralstrahl

Querstrahl: 2 QF unter Kieferwinkel
Längsstrahl: mittig über Hals

Einblendung

oberes Licht Tragus
Tiefenblende anpassen

Bemerkung

immer im Seitenvergleich
detektorferne Foramina werden dargestellt
Buchstabe der anliegenden Seite u. dargestellte Foramina auf der Aufnahme notieren

Qualitätskriterien

Alle Foramina intervertebralia müssen einsehbar sein, keine Überlagerung des oberen Kieferastes durch den cranialen Unterkieferast.

  • Aufnahmedaten
  • Pädiatrische Besonderheiten
  • Vorbereitung des Patienten
Aufnahmeart: Rasterwandgerät
Belichtungsautomatik: mittleres Messfeld
Bildempfängerdosis: SC 400
Fokus-Detektor-Abstand: 115 cm
Brennflecknennwert: ≤1,3
Aufnahmespannung: 65 – 75 kV
Expositionszeit: < 100 ms
Streustrahlenraster: r 12 (8)
Aufnahmeart: Aufnahmetisch, Rastertisch
Aufnahmespannung: 60 – 80 kV
Zusatzfilterung: 1 mm Al + mindestens 0,1 mm Cu
Bildempfängerdosis: SC 800 (400)
Brennflecknennwert: 0,6 (≤ 1,3)
Streustrahlenraster: r 8, kein Raster bei Säuglingen
Strahlenschutz: Bleigummiabdeckung der unmittelbar anschließenden Abschnitte des Körperstamms
  • Datenabgleich, Schwangerschaft
  • Voraufnahmen 
  • Hals/Kopf von Kleidung und Schmuck und evtl. Zahnprothese frei machen
  • Bleischutz/Gonadenschutz = < 18 Jahre

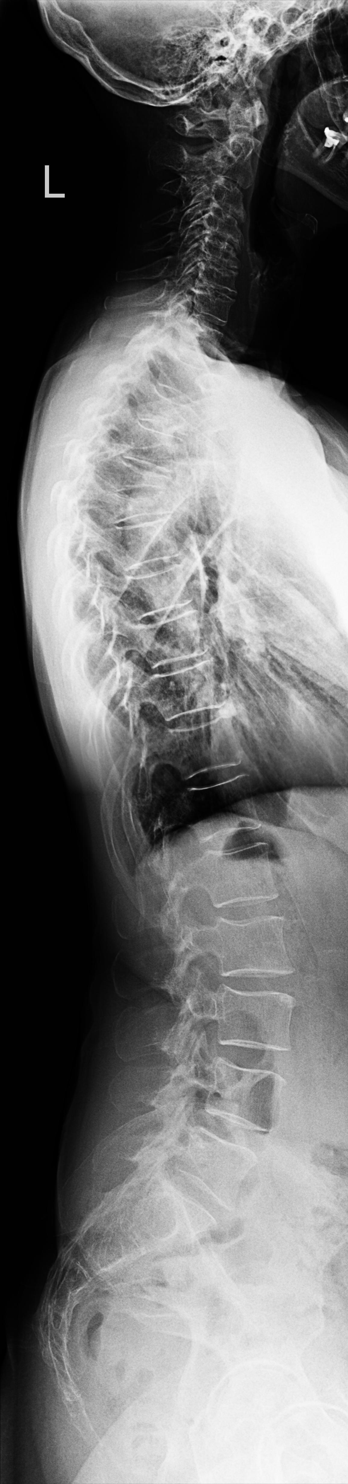
HWS-BWS-Übergang nach Safawi
Es wurden keine Bilder gefunden.

Technik

  • FDA: 1,15 m
  • Ausgangsformat: 24/30
  • mit Raster

Indikation

Fraktur, Zusatz-Aufnahme bei rechtfertigender Indikation

Lagerung

exakte (Links-)Seitenlage
HWS u. BWS auf einer Höhe 
filmferne Hand zwischen die Knie 
filmnahe Hand parallel zum Kopf

Zentralstrahl

Quer: filmfernes AC-Gelenk
Längs: Dornfortsätzen 4 QF nach ventral auf Höhe QZ

Einblendung

Hautgrenze

Qualitätskriterien

Freie Projektion des 1.–3. Brustwirbels einschließlich ihrer Dornfortsätze, keine Überlagerung durch den Schultergürtel.

  • Aufnahmedaten
  • Pädiatrische Besonderheiten
  • Vorbereitung des Patienten
Aufnahmeart: Rastertisch, Rasterwandgerät
Belichtungsautomatik: mittleres Messfeld
Bildempfängerdosis: SC 400
Fokus-Detektor-Abstand: 115 cm
Brennflecknennwert: ≤1,3
Aufnahmespannung: 65 – 80kV
Expositionszeit: < 100 ms
Streustrahlenraster: r 12 (8)
Aufnahmeart: Aufnahmetisch, Rastertisch
Aufnahmespannung: 60 – 75 kV
Zusatzfilterung: 1 mm Al + mindestens 0,1 mm Cu
Bildempfängerdosis: SC 800 (400)
Brennflecknennwert: 0,6 (≤ 1,3)
Streustrahlenraster: r 8, kein Raster bei Säuglingen
Strahlenschutz: Bleigummiabdeckung der unmittelbar anschließenden Abschnitte des Körperstamms
  • Datenabgleich, Schwangerschaft
  • Voraufnahmen 
  • Hals/Kopf von Kleidung und Schmuck und evtl. Zahnprothese frei machen
  • Bleischutz/Gonadenschutz = < 18 Jahre

Funktionsaufnahme der HWS
Es wurden keine Bilder gefunden.

Technik

  • FDA: 1,15 m
  • Ausgangsformat: 18/24 hoch für Reklination / 24/30 quer für Inklination
  • mit Raster

Lagerung

Patient seitlich am Wandstativ
möglichst Gewichte in die Hände geben

Inklination:

Kopf soweit wie möglich auf die Brust.

Reklination:

Kopf soweit wie möglich nach hinten. Achtung: WS muss über der Messkammer liegen!

Zentralstrahl

senkrecht auf Objekt- und Detektormitte

Einblendung

oberes Licht Tragus, lateral Prominens im Licht 

Qualitätskriterien

Orthograde, streng seitliche Abbildung der Grund- und Deckplatten der HWS. Alle 7 HWK in maximaler Inklination bzw. Reklination.

  • Aufnahmedaten
  • Pädiatrische Besonderheiten
  • Vorbereitung des Patienten
Aufnahmeart: Rasterwandgerät
Belichtungsautomatik: mittleres Messfeld
Bildempfängerdosis: SC 400
Fokus-Detektor-Abstand: 115 cm
Brennflecknennwert: ≤1,3
Aufnahmespannung: 65 – 80kV
Expositionszeit: < 100 ms
Streustrahlenraster: r 12 (8)
Aufnahmeart: Aufnahmetisch, Rastertisch
Aufnahmespannung: 60 – 75 kV
Zusatzfilterung: 1 mm Al + mindestens 0,1 mm Cu
Bildempfängerdosis: SC 800 (400)
Brennflecknennwert: 0,6 (≤ 1,3)
Streustrahlenraster: r 8, kein Raster bei Säuglingen
Strahlenschutz: Bleigummiabdeckung der unmittelbar anschließenden Abschnitte des Körperstamms
  • Datenabgleich, Schwangerschaft
  • Voraufnahmen 
  • Hals/Kopf von Kleidung und Schmuck und evtl. Zahnprothese frei machen
  • Bleischutz/Gonadenschutz = < 18 Jahre

Brustwirbelsäule a.- p.
Es wurden keine Bilder gefunden.

Technik

  • FDA: 1,15 m
  • Format: 20/43
  • mit Raster

Indikation

Fraktur, degenerative Veränderungen, Skoliose

Lagerung

Rückenlage
Arme seitlich am Körper
Kopf leicht angehoben

Zentralstrahl

ZS senkrecht auf Objekt- und Detektormitte 

Einblendung

oberes Licht Prominens (Fingerkontrolle)
lateral: handbreit (5 QF)

Qualitätskriterien

Gute beurteilungsfähige, orthograde Abbildung aller Wirbelkörper der BWS, der Zwischenwirbelräume und der Übergänge zur Hals- und Lendenwirbelsäule.

  • Aufnahmedaten
  • Pädiatrische Besonderheiten
  • Vorbereitung des Patienten
Aufnahmeart: Rastertisch, Rasterwandgerät
Belichtungsautomatik: mittleres Messfeld
Bildempfängerdosis: SC 400
Fokus-Detektor-Abstand: 115 cm
Brennflecknennwert: ≤1,3
Aufnahmespannung: 75 – 85 kV
Expositionszeit: < 200 ms
Streustrahlenraster: r 12 (8)
Aufnahmeart: Aufnahmetisch, Rastertisch
Aufnahmespannung: 65 kV bei Säuglingen unter 6 Monaten
Zusatzfilterung: 1 mm Al + mindestens 0,1 mm Cu
Bildempfängerdosis: SC 800 (400)
Brennflecknennwert: 0,6 (≤ 1,3)
Streustrahlenraster: r 8, kein Raster bei Säuglingen unter 6 Monaten und bei digitaler Radiographie
Strahlenschutz: Bleigummiabdeckung der unmittelbar anschließenden Abschnitte des Körperstamms
  • Datenabgleich, Schwangerschaft
  • Voraufnahmen 
  • Thorax/Abdomen von Kleidung und Schmuck frei machen
  • Bleischutz/Gonadenschutz = < 18 Jahre

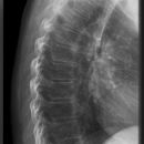
Brustwirbelsäule lateral
Es wurden keine Bilder gefunden.

Technik

  • FDA: 1,15 m
  • Format: 20/43
  • mit Raster

Indikation

Fraktur, degenerative Veränderungen, Skoliose

Lagerung

exakte (Links-)Seitenlage
Arme nach vorn oben nehmen 
Beine angewinkelt
Achtung: HWS und BWS eine Höhe

Zentralstrahl

ZS senkrecht auf Objekt- und Detektormitte 
Längs: an der QZ von Dornfortsätzen 4 QF nach ventral

Einblendung

oberes Licht erfasst den 7 HWK (Prominens)

Bemerkung

möglichst flach Atmen
auch im Stehen möglich (orthopädisch)

Qualitätskriterien

Streng seitliche Darstellung der Brustwirbelräume und der Übergänge zur Hals- und Lendenwirbelsäule mit strichförmiger Abbildung der Wirbelkörperabschlussplatten.

  • Aufnahmedaten
  • Pädiatrische Besonderheiten
  • Vorbereitung des Patienten
Aufnahmeart: Rastertisch, Rasterwandgerät
Belichtungsautomatik: mittleres Messfeld
Bildempfängerdosis: SC 400
Fokus-Detektor-Abstand: 115 cm
Brennflecknennwert: ≤1,3
Aufnahmespannung: 75 – 90 kV
Expositionszeit: < 200 ms
Streustrahlenraster: r 12 (8)
Aufnahmeart: Aufnahmetisch, Rastertisch
Aufnahmespannung: 65 kV bei Säuglingen unter 6 Monaten
Zusatzfilterung: 1 mm Al + mindestens 0,1 mm Cu
Bildempfängerdosis: SC 800 (400)
Brennflecknennwert: 0,6 (≤ 1,3)
Streustrahlenraster: r 8, kein Raster bei Säuglingen unter 6 Monaten und bei digitaler Radiographie
Strahlenschutz: Bleigummiabdeckung der unmittelbar anschließenden Abschnitte des Körperstamms
  • Thorax/Abdomen von Datenabgleich, Schwangerschaft
  • Voraufnahmen 
  • Thorax/Abdomen von Kleidung und Schmuck frei machen
  • Bleischutz/Gonadenschutz = < 18 Jahre

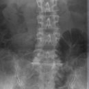
Lendenwirbelsäule a.- p.
Es wurden keine Bilder gefunden.

Technik

  • FDA: 1,15 m
  • Format: 20/40
  • mit Raster

Indikation

Fraktur und degenerative Veränderungen, Skoliose

Lagerung

Rückenlage, Arme auf Brust oder seitlich am Körper
Beine angewinkelt

Zentralstrahl

ZS senkrecht auf Objekt- und Detektormitte 
Quer: 1-2 QF über oberen Beckenkamm

Bemerkung

möglichst bei Atemanhalten
auch im Stehen möglich (orthopädisch)
Gegenkontrolle: unteres Licht 2 QF über Symphysenrand

Qualitätskriterien

Scharfe und orthograde Abbildung aller Lendenwirbel mit ihren Querfortsätzen, der Kreuzdarmbeingelenke und des thorakolumbalen Überganges. Die Dornfortsätze sind mittelständig. Zwischenwirbelraum frei projiziert.

  • Aufnahmedaten
  • Pädiatrische Besonderheiten
  • Vorbereitung des Patienten
Aufnahmeart: Rastertisch, Rasterwandgerät
Belichtungsautomatik: mittleres Messfeld
Bildempfängerdosis: SC 400
Fokus-Detektor-Abstand: 115 cm
Brennflecknennwert: ≤1,3
Aufnahmespannung: 80 – 90 kV
Expositionszeit: < 500 ms
Streustrahlenraster: r 12 (8)
Aufnahmeart: Aufnahmetisch, Rastertisch
Aufnahmespannung: 70 – 85 kV, bei Säuglingen unter 6 Monaten 65 kV
Zusatzfilterung: 1 mm Al + mindestens 0,1 mm Cu
Bildempfängerdosis: SC 800 (400)
Brennflecknennwert: 0,6 (≤ 1,3)
Streustrahlenraster: r 8, kein Raster bei Säuglingen unter 6 Monaten
Strahlenschutz: Ovarialabdeckung wenn diagnostisch möglich, Hodenkapsel, Bleigummiabdeckung der unmittelbar anschließenden Abschnitte des Körperstamms
  • Datenabgleich, Schwangerschaft
  • Voraufnahmen 
  • Abdomen/Becken von Kleidung und Schmuck frei machen
  • Bleischutz/Gonadenschutz = < 18 Jahre    Bleischutz/Gonadenschutz = < 18 Jahre

Lendenwirbelsäule lateral
Es wurden keine Bilder gefunden.

Technik

  • FDA: 1,15 m
  • Format: 20/40
  • mit Raster

Indikation

Fraktur und degenerative Veränderungen, Skoliose

Lagerung

exakte Seitenlage
Arme nach vorn oben,
Beine angewinkelt und 45° zwischen die Knie
evtl. einen 15° Keil unter Taille zum WS- Ausgleich

Zentralstrahl

ZS senkrecht auf Objekt- und Detektormitte 
Quer: 2 QF über Beckenkamm
Längs: an QZ von den Dornfortsätzen 4 QF nach ventral

Bemerkung

möglichst bei Atemanhalten - Exspiration
auch im Stehen möglich (orthopädisch)

Qualitätskriterien

Rein seitliche Darstellung der Lendenwirbelsäule einschließlich ihrer Dornfortsätze mit 12. Brustwirbel und lumbosacralem Übergang.

  • Aufnahmedaten
  • Pädiatrische Besonderheiten
  • Vorbereitung des Patienten
Aufnahmeart: Rastertisch, Rasterwandgerät
Belichtungsautomatik: mittleres Messfeld
Bildempfängerdosis: SC 400
Fokus-Detektor-Abstand: 115 cm
Brennflecknennwert: ≤1,3
Aufnahmespannung: 85 - 100 kV
Expositionszeit: < 1,0 s
Streustrahlenraster: r 12 (8)
Aufnahmeart: Aufnahmetisch, Rastertisch
Aufnahmespannung: 70 – 85 kV, bei Säuglingen unter 6 Monaten 65 kV
Zusatzfilterung: 1 mm Al + mindestens 0,1 mm Cu
Bildempfängerdosis: SC 800 (400)
Brennflecknennwert: 0,6 (≤ 1,3)
Streustrahlenraster: r 8, kein Raster bei Säuglingen unter 6 Monaten
Strahlenschutz: Ovarialabdeckung wenn diagnostisch möglich, Hodenkapsel, Bleigummiabdeckung der unmittelbar anschließenden Abschnitte des Körperstamms
  • Datenabgleich, Schwangerschaft
  • Voraufnahmen 
  • Abdomen/Becken von Kleidung und Schmuck frei machen
  • Bleischutz/Gonadenschutz = < 18 Jahre

LWS schräg
Es wurden keine Bilder gefunden.

Technik

  • FDA: 1,15 m
  • Format: 20/40
  • mit Raster

Lagerung

exakte Seitenlage
dann 45° dorsalwärts drehen
LWS soll gerade sein und plattennahes Bein angewinkelt
plattenfernes Bein gestreckt

Zentralstrahl

ZS senkrecht auf Objekt- und Detektormitte 
Quer: 2 QF über Beckenkamm

Längsstrahleinstellung

1. 1-2 QF medial der Spina der angehobenen Seite.
2. 1-2 QF ventralwärts der getasteten Dornfortsätze
3. Mitte Sternumende und äußerer Rippenbogen

Qualitätskriterien

Bei richtiger Einstellung zeigt sich die typische Lachapell´sche Hundefigur, d.h. Darstellung der lumbalen Zwischenwirbelgelenkstücke (Interarticularportionen) und der angrenzenden Zwischenwirbelgelenke, der Buchstabe -R- oder -L- bezeichnen jeweils die filmnahe Körperseite, im Gegensatz zu den Schrägaufnahmen der HWS. Achtung: Beide Seiten müssen geröntgt werden.

  • Aufnahmedaten
  • Pädiatrische Besonderheiten
  • Vorbereitung des Patienten
Aufnahmeart: Rastertisch, Rasterwandgerät
Belichtungsautomatik: mittleres Messfeld
Bildempfängerdosis: SC 400
Fokus-Detektor-Abstand: 115 cm
Brennflecknennwert: ≤1,3
Aufnahmespannung: 85 - 100 kV
Expositionszeit: < 1,0 s
Streustrahlenraster: r 12 (8)
Aufnahmeart: Aufnahmetisch, Rastertisch
Aufnahmespannung: 70 – 85 kV, bei Säuglingen unter 6 Monaten 65 kV
Zusatzfilterung: 1 mm Al + mindestens 0,1 mm Cu
Bildempfängerdosis: SC 800 (400)
Brennflecknennwert: 0,6 (≤ 1,3)
Streustrahlenraster: r 8, kein Raster bei Säuglingen unter 6 Monaten
Strahlenschutz: Ovarialabdeckung wenn diagnostisch möglich, Hodenkapsel, Bleigummiabdeckung der unmittelbar anschließenden Abschnitte des Körperstamms
  • Datenabgleich, Schwangerschaft
  • Voraufnahmen 
  • Abdomen/Becken von Kleidung und Schmuck frei machen
  • Bleischutz/Gonadenschutz = < 18 Jahre

Lendenwirbelsäule a.- p. stehend
Es wurden keine Bilder gefunden.

Technik

  • FDA: 1,15 m
  • Format: 20/40
  • mit Raster

Indikation

Fraktur und degenerative Veränderungen, Skoliose

Lagerung

Mit dem Rücken am Rasterwandstativ
Arme längs des Körpers
evtl. Beckenschiefstand oder Beinverkürzung ausgleichen

Zentralstrahl

ZS senkrecht auf Objekt- und Detektormitte 
Quer: 1-2 QF über oberen Beckenkamm

Bemerkung

Schuhe ausziehen.

Qualitätskriterien

Scharfe und orthograde Abbildung aller Lendenwirbel mit ihren Querfortsätzen, der Kreuzdarmbeingelenke und des thorakolumbalen Überganges. Die Dornfortsätze sind mittelständig. Zwischenwirbelraum frei projiziert.

  • Aufnahmedaten
  • Pädiatrische Besonderheiten
  • Vorbereitung des Patienten
Aufnahmeart: Rasterwandgerät
Belichtungsautomatik: mittleres Messfeld
Bildempfängerdosis: SC 400
Fokus-Detektor-Abstand: 115 cm
Brennflecknennwert: ≤1,3
Aufnahmespannung: 80 – 90 kV
Expositionszeit: < 500 ms
Streustrahlenraster: r 12 (8)
Aufnahmeart: Rastertisch
Aufnahmespannung: 70 – 85 kV, bei Säuglingen unter 6 Monaten 65 kV
Zusatzfilterung: 1 mm Al + mindestens 0,1 mm Cu
Bildempfängerdosis: SC 800 (400)
Brennflecknennwert: 0,6 (≤ 1,3)
Streustrahlenraster: r 8, kein Raster bei Säuglingen unter 6 Monaten
Strahlenschutz: Ovarialabdeckung wenn diagnostisch möglich, Hodenkapsel, Bleigummiabdeckung der unmittelbar anschließenden Abschnitte des Körperstamms
  • Datenabgleich, Schwangerschaft
  • Voraufnahmen 
  • Abdomen/Becken von Kleidung und Schmuck frei machen
  • Schuhe ausziehen
  • Bleischutz/Gonadenschutz = < 18 Jahre

Lendenwirbelsäule lateral stehend
Es wurden keine Bilder gefunden.

Technik

  • FDA: 1,15 m
  • Format: 20/40
  • mit Raster

Indikation

Fraktur und degenerative Veränderungen, Skoliose

Lagerung

Mit der linken Seite am Rasterwand
Beine streckt und Arme nach oben oder vorne ausstrecken
evtl. einen Infusionsständer oder des Gleichen anbieten

Zentralstrahl

ZS senkrecht auf Objekt- und Detektormitte 
Quer: 2 QF über Beckenkamm
Längs: an QZ von den Dornfortsätzen 4 QF nach ventral

Bemerkung

Schuhe ausziehen.

Anmerkung

Nur bei exakt paralleler Lagerung erfolgt orthostatische Abbildung des Zwischenwirbelräume.

Qualitätskriterien

Rein seitliche Darstellung der Lendenwirbelsäule einschließlich ihrer Dornfortsätze mit 12. Brustwirbel und lumbosacralem Übergang.

  • Aufnahmedaten
  • Pädiatrische Besonderheiten
  • Vorbereitung des Patienten
Aufnahmeart: Rasterwandgerät
Belichtungsautomatik: mittleres Messfeld
Bildempfängerdosis: SC 400
Fokus-Detektor-Abstand: 115 cm
Brennflecknennwert: ≤1,3
Aufnahmespannung: 85 - 100 kV
Expositionszeit: < 1,0 s
Streustrahlenraster: r 12 (8)
Aufnahmeart: Rastertisch
Aufnahmespannung: 70 – 85 kV, bei Säuglingen unter 6 Monaten 65 kV
Zusatzfilterung: 1 mm Al + mindestens 0,1 mm Cu
Bildempfängerdosis: SC 800 (400)
Brennflecknennwert: 0,6 (≤ 1,3)
Streustrahlenraster: r 8, kein Raster bei Säuglingen unter 6 Monaten
Strahlenschutz: Ovarialabdeckung wenn diagnostisch möglich, Hodenkapsel, Bleigummiabdeckung der unmittelbar anschließenden Abschnitte des Körperstamms
  • Datenabgleich, Schwangerschaft
  • Voraufnahmen 
  • Abdomen/Becken von Kleidung und Schmuck frei machen
  • Schuhe ausziehen
  • Bleischutz/Gonadenschutz = < 18 Jahre

ISG p.-a.
Es wurden keine Bilder gefunden.

Technik

  • FDA: 100 cm
  • Ausgangsformat: 24/30 quer
  • mit Raster
  • Röhrenkippung 10 ° cranio-caudal

Lagerung

Bauchlage, Beine gestreckt

Zentralstrahl

Längsstrahl: Medianebene

Einblendung

oberes Licht 1 QF über Beckenkamm, 
seitlich ca. 20 cm

Anmerkung

FDA ist 1,00 m, damit gehen auf Grund der Divergenz die Strahlen senkrecht durch die Fugen. Bei bauchigen Patienten etwas, am besten einen 45° Keil, unter das Becken legen, damit die ISG parallel zum Film stehen.

Qualitätskriterien

Symmetrische Darstellung des ventralen und des dorsalen unteren Anteils der Iliosakralgelenke

  • Aufnahmedaten
  • Pädiatrische Besonderheiten
  • Vorbereitung des Patienten
Aufnahmeart: Rastertisch
Belichtungsautomatik: mittleres Messfeld
Bildempfängerdosis: SC 400
Fokus-Detektor-Abstand: 115 cm
Brennflecknennwert: ≤1,3
Aufnahmespannung: 80 – 90 kV
Expositionszeit: < 500 ms
Streustrahlenraster: r 12 (8)
Aufnahmeart: Aufnahmetisch, Rastertisch
Aufnahmespannung: 70 – 85 kV, bei Säuglingen unter 6 Monaten 65 kV
Zusatzfilterung: 1 mm Al + mindestens 0,1 mm Cu
Bildempfängerdosis: SC 800 (400)
Brennflecknennwert: 0,6 (≤ 1,3)
Streustrahlenraster: r 8, kein Raster bei Säuglingen unter 6 Monaten
Strahlenschutz: Ovarialabdeckung wenn diagnostisch möglich, Hodenkapsel, Bleigummiabdeckung der unmittelbar anschließenden Abschnitte des Körperstamms
  • Datenabgleich, Schwangerschaft
  • Voraufnahmen 
  • Becken von Kleidung und Schmuck frei machen
  • Bleischutz/Gonadenschutz = < 18 Jahre

ISF nach Teschendorf (Steinschnittlage)
Es wurden keine Bilder gefunden.

Technik

  • FDA: 1,15 m
  • Format: 20/40
  • mit Raster

Lagerung

Rückenlage
Oberschenkel über 90° anziehen und voneinander abspreizen
Hocker unter die Unterschenkel gestellt
Beine nach außen fallen lassen

Zentralstrahl

ZS senkrecht auf Objekt- und Detektormitte 
Quer: in Höhe oberen Beckenkamm

Qualitätskriterien

Orthograde Darstellung des Zwischenwirbelraums von L5/S1. Gute Darstellung der Kreuz-Darmbein-Gelenke. Scharfe und orthograde Abbildung aller Lendenwirbel mit ihren Querfortsätzen, der Kreuzdarmbeingelenke und des thorakolumbalen Überganges.

  • Aufnahmedaten
  • Pädiatrische Besonderheiten
  • Vorbereitung des Patienten
Aufnahmeart: Rastertisch
Belichtungsautomatik: mittleres Messfeld
Bildempfängerdosis: SC 400
Fokus-Detektor-Abstand: 115 cm
Brennflecknennwert: ≤1,3
Aufnahmespannung: 80 – 90 kV
Expositionszeit: < 100 ms
Streustrahlenraster: r 8 (12)
Aufnahmeart: Aufnahmetisch, Rastertisch nur bei größeren Kinder
Aufnahmespannung: 70 – 75 kV, bei Neugeborenen und Säuglingen 60 – 65 kV
Zusatzfilterung: 1 mm Al + mindestens 0,1 mm Cu
Bildempfängerdosis: SC 800 (400)
Brennflecknennwert: 0,6 (≤ 1,3)
Streustrahlenraster: r 8 nur bei Hüftgelenk von Kindern über 8 Jahren und Jugendlichen
Belichtungsautomatik: nur wenn Streustrahlenraster verwendet wird
Strahlenschutz: bei Knaben immer Hodenkapsel; bei Mädchen Ovarienabdeckung oder indirekter Ovarienschutz durch Bleieinschub in die Tiefenblende, wenn diagnostisch möglich
  • Datenabgleich, Schwangerschaft
  • Voraufnahmen 
  • Abdomen/Becken und Oberschenkel von Kleidung und Schmuck frei machen
  • Bleischutz/Gonadenschutz = < 18 Jahre

Os sacrum a.-p.
Es wurden keine Bilder gefunden.

Technik

  • FDA: 1,15 m
  • Röhrenkippung: 15°caudo-cranial
  • Ausgangsformat: 24/30 hoch
    • mit Raster

Indikation

Fraktur, degenerative Veränderungen (Arthritis)

Lagerung

Rückenlage, gerade
Beine leicht angezogen und Hüftbreit aufgestellt

Zentralstrahl

Querstrahl: gedachte Senkrechte von Spina iliaca auf Tisch
Längsstrahl: Medianebene

Einblendung

20x30

Bemerkung

25° Röhrenkippung bei gestreckten Beinen

Qualitätskriterien

Überlagerungsfreie, scharfe Abbildung des Kreuzbeins mit Kreuzdarmbeingelenken und Übergang zum LWK 5 und Os sacrum.

  • Aufnahmedaten
  • Pädiatrische Besonderheiten
  • Vorbereitung des Patienten
Aufnahmeart: Rastertisch
Belichtungsautomatik: mittleres Messfeld
Bildempfängerdosis: SC 400
Fokus-Detektor-Abstand: 115 cm
Brennflecknennwert: ≤1,3
Aufnahmespannung: 80 – 90 kV
Expositionszeit: < 500 ms
Streustrahlenraster: r 12 (8)
Aufnahmeart: Aufnahmetisch, Rastertisch
Aufnahmespannung: 70 – 85 kV, bei Säuglingen unter 6 Monaten 65 kV
Zusatzfilterung: 1 mm Al + mindestens 0,1 mm Cu
Bildempfängerdosis: SC 800 (400)
Brennflecknennwert: 0,6 (≤ 1,3)
Streustrahlenraster: r 8, kein Raster bei Säuglingen unter 6 Monaten
Strahlenschutz: Ovarialabdeckung wenn diagnostisch möglich, Hodenkapsel, Bleigummiabdeckung der unmittelbar anschließenden Abschnitte des Körperstamms
  • Datenabgleich, Schwangerschaft
  • Voraufnahmen 
  • Becken von Kleidung und Schmuck frei machen
  • Bleischutz/Gonadenschutz = < 18 Jahre

Os coccygis a.-p.
Es wurden keine Bilder gefunden.

Technik

  • FDA: 1,15 m 
  • Röhrenkippung: 15°cranio-caudal
  • Ausgangsformat: 18/24
  • mit Raster

Indikation

Fraktur, (degenerative Veränderungen)

Lagerung

Rückenlage, gerade
Beine gestreckt

Zentralstrahl

Querstrahl: Spina iliaca
Längsstrahl: Medianebene

Einblendung

15x15 bzw. quadratisch 

Qualitätskriterien

Überlagerungsfreie, scharfe Abbildung des Steißbeins

  • Aufnahmedaten
  • Pädiatrische Besonderheiten
  • Vorbereitung des Patienten
Aufnahmeart: Rastertisch
Belichtungsautomatik: mittleres Messfeld
Bildempfängerdosis: SC 400
Fokus-Detektor-Abstand: 115 cm
Brennflecknennwert: ≤1,3
Aufnahmespannung: 80 – 90 kV
Expositionszeit: < 500 ms
Streustrahlenraster: r 12 (8)
Aufnahmeart: Aufnahmetisch, Rastertisch
Aufnahmespannung: 70 – 85 kV, bei Säuglingen unter 6 Monaten 65 kV
Zusatzfilterung: 1 mm Al + mindestens 0,1 mm Cu
Bildempfängerdosis: SC 800 (400)
Brennflecknennwert: 0,6 (≤ 1,3)
Streustrahlenraster: r 8, kein Raster bei Säuglingen unter 6 Monaten
Strahlenschutz: Ovarialabdeckung wenn diagnostisch möglich, Hodenkapsel, Bleigummiabdeckung der unmittelbar anschließenden Abschnitte des Körperstamms
  • Datenabgleich, Schwangerschaft
  • Voraufnahmen 
  • Becken von Kleidung und Schmuck frei machen
  • Bleischutz/Gonadenschutz = < 18 Jahre

Os sacrum und Os coccygis lateral
Es wurden keine Bilder gefunden.

Technik

  • FDA: 1,15 m
  • Ausgangsformat: 24/30 hoch
  • mit Raster

Indikation

Fraktur, degenerative Veränderung

Lagerung

exakte Seitenlage
Beine angezogen und Keil zwischen Knie

Zentralstrahl

Querstrahl: 2 QF unterhalb Spina iliaca
Längsstrahl: vom QS 4 QF von Dornfortsätzen nach ventral

Einblendung

Längs: komplette Länge (30 cm)
lateral: Hautgrenze im Licht

Qualitätskriterien

Kreuz- und Steißbein sollen orthograd und vollständig gut beurteilbar abgebildet sein, d.h. keine Überlagerung des wenig schattengebenden Steißbeins.

  • Aufnahmedaten
  • Pädiatrische Besonderheiten
  • Vorbereitung des Patienten
Aufnahmeart: Rastertisch
Belichtungsautomatik: mittleres oder beide seitlichen Messfelder
Bildempfängerdosis: SC 400
Fokus-Detektor-Abstand: 115 cm
Brennflecknennwert: ≤1,3
Aufnahmespannung: 80 – 95 kV
Expositionszeit: < 200 ms
Streustrahlenraster: r 12
Aufnahmeart: bei Säuglingen und Kleinkindern Aufnahmetisch, bei Körperdurchmesser grösser 12-15 cm Rastertisch
Aufnahmespannung: 70 – 90 kV, bei Sauglingen unter 6 Monaten 65 – 70 kV
Zusatzfilterung: 1 mm Al + mindestens 0,1 mm Cu
Bildempfängerdosis: SC 800
Brennflecknennwert: 0,6 (≤ 1,3)
Streustrahlenraster: r 8, kein Raster bei Säuglingen
Belichtungsautomatik: nur wenn Streustrahlenraster verwendet wird
Strahlenschutz: bei Knaben Hodenkapsel
  • Datenabgleich, Schwangerschaft
  • Voraufnahmen 
  • Becken von Kleidung und Schmuck frei machen
  • Bleischutz/Gonadenschutz = < 18 Jahre

Wirbelsäule Ganzaufnahme a.-p.
Es wurden keine Bilder gefunden.

Technik

  • FDA: 3 m 
  • Ausgangsformat: 3 x 35/43
  • mit Raster

Indikation

Beurteilung der Wirbelsäule und des Beckens bei Schiefstand.

Lagerung

Mit dem Rücken am Rasterwandstativ
Kopf leicht nach hinten nehmen
Arme an der Seite

Zentralstrahl

Senkrecht auf Wirbelsäule

Einblendung

von Oberlippe bis einschließlich Hüftköpfe.

Qualitätskriterien

HWS-BWS-LWS mit Sakrum sollte vollständig und gut beurteilbar abgebildet sein.

Anmerkung

Spezialstativ mit Raster oder Digitalaufnahme mit Abbildung eines Rasters zur Vermessung. Evtl Ausgleichschuhe ausziehen und auch ggf. Verlaufsfilter für guten Kontrast verwenden.

  • Aufnahmedaten
  • Pädiatrische Besonderheiten
  • Vorbereitung des Patienten
Aufnahmeart: Rasterwandgerät, Spezialstativ
Belichtungsautomatik: mittleres Messfeld
Bildempfängerdosis: SC 400
Fokus-Detektor-Abstand: 300 cm
Brennflecknennwert: ≤1,3
Aufnahmespannung: 75 – 100 kV
Expositionszeit: < 500 ms
Streustrahlenraster: r 12 (8)
Aufnahmeart: Rasterwandgerät
Aufnahmespannung: 70 – 85 kV, bei Säuglingen unter 6 Monaten 65 kV
Zusatzfilterung: 1 mm Al + mindestens 0,1 mm Cu
Bildempfängerdosis: SC 800 (400)
Brennflecknennwert: 0,6 (≤ 1,3)
Streustrahlenraster: r 8, kein Raster bei Säuglingen unter 6 Monaten
Strahlenschutz: Ovarialabdeckung wenn diagnostisch möglich, Hodenkapsel, Bleigummiabdeckung der unmittelbar anschließenden Abschnitte des Körperstamms
  • Datenabgleich, Schwangerschaft
  • Voraufnahmen 
  • Hals / Thorax / Abdomen / Becken von Kleidung und Schmuck frei machen
  • Bleischutz/Gonadenschutz = < 18 Jahre

Wirbelsäule Ganzaufnahme lateral
Es wurden keine Bilder gefunden.

Technik

  • FDA: 3 m 
  • Ausgangsformat: 3 x 35/43

Indikation

Beurteilung der Wirbelsäulestatik, Kyphose und Skoliose.

Lagerung

Mit der Seite am Rasterwandstativ
Kopf in Neutralstellung
Arme nach vorne ausstrecken
Händen kreuzen damit die Schulterblätter rausgezogen werden

Zentralstrahl

Senkrecht auf Wirbelsäule

Einblendung

von Oberlippe bis einschließlich Hüftköpfe

Qualitätskriterien

HWS-BWS-LWS mit Sakrum sollte vollständig und gut beurteilbar abgebildet sein.

Anmerkung

Spezialstativ mit Raster oder Digitalaufnahme mit Abbildung eines Rasters zur Vermessung. Evtl Ausgleichschuhe ausziehen und auch ggf. Verlaufsfilter für guten Kontrast verwenden.

  • Aufnahmedaten
  • Pädiatrische Besonderheiten
  • Vorbereitung des Patienten
Aufnahmeart: Rasterwandgerät, Spezialstativ
Belichtungsautomatik: mittleres Messfeld
Bildempfängerdosis: SC 400
Fokus-Detektor-Abstand: 300 cm
Brennflecknennwert: ≤1,3
Aufnahmespannung: 75 – 100 kV
Expositionszeit: < 500 ms
Streustrahlenraster: r 12 (8)
Aufnahmeart: Rasterwandgerät
Aufnahmespannung: 70 – 85 kV, bei Säuglingen unter 6 Monaten 65 kV
Zusatzfilterung: 1 mm Al + mindestens 0,1 mm Cu
Bildempfängerdosis: SC 800 (400)
Brennflecknennwert: 0,6 (≤ 1,3)
Streustrahlenraster: r 8, kein Raster bei Säuglingen unter 6 Monaten
Strahlenschutz: Ovarialabdeckung wenn diagnostisch möglich, Hodenkapsel, Bleigummiabdeckung der unmittelbar anschließenden Abschnitte des Körperstamms
  • Datenabgleich, Schwangerschaft
  • Voraufnahmen 
  • Hals / Thorax / Abdomen / Becken von Kleidung und Schmuck frei machen
  • Bleischutz/Gonadenschutz = < 18 Jahre
Konversation wird geladen