HWS a.p.
Es wurden keine Bilder gefunden.
CAVE
- 1) Exakte Aufnahmetechnik? - Projektion korrekt?
- 2) Fehlhaltung z.B. Skoliose?
- 3) Atlantoaxialer Übergang: Distanz Dens-Massa lateralis (gestrichelt!)?
- 4) Dornfortsatzabstand überprüften
- 5) Konturlinien überprüft: Laterale Konturlinien, Dornfortsatzlinien
Kriterien für Instabilität (Konsequenz: Operation) an der HWS und oberen BWS:
- Wirbelkörperkompression > 50%
- Zwei benachbarte Wirbelsegment sind mehr als 3,5 mm horizontal gegeneinander verschoben
- Zwei benachbarte Wirbel sind mehr als 11° gegeneinander anguliert
- Retrolisthese
- Dehiszenz der Dornfortsätze (bei bilateraler Gelenkluxation)
- Zeichen der nackten Gelenkfacette (Abgleiten der Gelenkflächen um mehr als 50%)
- Zwischenwirbelraum erweitert
- Zwischenwirbelgelenkspalt erweitert
Beurteilung von
- Wirbelkörper
- Bogenwurzel
- Dornfortsatz
- Zwischenwirbelraum
- Paravertebrallinie
Indikation
- V.a. Frakturen der Wirbelkörper C3-C7
- V.a. Anomalien von z.B. Zwischenwirbelräumen oder Uncovertebralgelenken
- V.a. Entzündliche und degenerative Veränderungen
- V.a. Tumoren
- V.a. Halsrippe (Scalenussyndrom)
| Alter |
Männlich |
Weiblich |
Unbekannt |
| <1 |
 |
 |
|
| 1 |
 |
 |
|
| 2 |
 |
 |
|
| 3 |
 |
 |
|
| 4 |
 |
 |
 |
| 5 |
 |
 |
|
| 6 |
 |
 |
|
| 7 |
 |
 |
|
| 8 |
 |
 |
|
| 9 |
 |
 |
|
| 10 |
 |
 |
|
| 11 |
 |
 |
|
| 12 |
 |
 |
|
| 13 |
 |
 |
|
| 14 |
 |
 |
|
| 15 |
 |
 |
|
| 16 |
 |
 |
|
| 17 |
 |
 |
|
| 18 |
 |
 |
|
| 19 |
 |
 |
|
| 20 |
 |
 |
 |
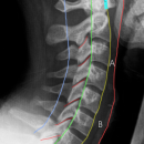
HWS seitlich
Es wurden keine Bilder gefunden.
CAVE
- 1) Exakte Aufnahmetechnik? - Projektion korrekt?
- 2) Fehlhaltung z.B. Kyphose (z.B. im Sinne einer traumatischen Kyphose)?
- 3) Beurteilung des Alignments:
- vorderer Wirbelkörperlinie
- hintere Wirbelkörperlinie
- Spinolaminäre Linie
- 4) Physiologische Weichteilbreite
- Höhe A: max. 7 mm
- Höhe B: max. 22 mm
- 5) Physiologische Abstände zwischen Atlasbogen und Dens (C)
- bei Erwachsenen: 2,5 - 3mm (CAVE: Kann bei rheumatoider Arthritis vergrößert sein)
- bei Kindern 3 - 4mm
- Weite der Zwischenwirbelräume
- Interlaminäre Distanz
- Interspinale Distanz
- Länge der Laminabaschnitte
- 6) Korrekte Stellung der Facettengelenke?
Kriterien für Instabilität (Konsequenz: Operation) an der HWS und oberen BWS:
- Wirbelkörperkompression > 50%
- Zwei benachbarte Wirbelsegment sind mehr als 3,5 mm horizontal gegeneinander verschoben
- Zwei benachbarte Wirbel sind mehr als 11° gegeneinander anguliert
- Retrolisthese
- Dehiszenz der Dornfortsätze (bei bilateraler Gelenkluxation)
- Zeichen der nackten Gelenkfacette (Abgleiten der Gelenkflächen um mehr als 50%)
- Zwischenwirbelraum erweitert
- Zwischenwirbelgelenkspalt erweitert
Cave Normvarianten
- Pseudoluxation des Atlas: Der hintere Atlasbogen darf wenige mm vor der Spinolaminarinie liegen
- Abschrägungen oder Einkerbungen an der Wirbelvorderkante (Randleistenregion)
- Der Dornfortsatzabstand zwischen C2/3 ist normalerweise größer als in den übrigen Segmenten
- Anlagebedingte flache Wirbelkörber (meist C5) oder hohe Wirbelkörper (meist C7)
- Einkerbungen am Wirbelbogen dorsal der oberen Facettengelenke
CAVE KINDLICHE WIRBELSÄULE
- Physiologisches Treppenphänomen der kindlichen HWS, das eine Dislokation vortäuschen kann (Pseudoluxation) - v.a. bei Kindern unter 8 Jahren Höhe C2/3 und/oder C3/4
- Bei Kindern kann der vordere Atlasbogen die Densspitze bei reklination überragen
Beispiele
Indikation
Frakturen von:
- Atlasbogen
- Dens axis
- Wirbelkörper C2-C7
- Dornfortsätzen
- Wirbel(Sub-)luxation
- Ein - oder beidseitige Fassettenblockade
| Alter |
Männlich |
Weiblich |
Unbekannt |
| <1 |
 |
 |
|
| 1 |
 |
 |
|
| 2 |
 |
 |
|
| 3 |
 |
 |
|
| 4 |
 |
 |
 |
| 5 |
 |
 |
|
| 6 |
 |
 |
|
| 7 |
 |
 |
|
| 8 |
 |
 |
|
| 9 |
 |
 |
|
| 10 |
 |
 |
|
| 11 |
 |
 |
|
| 12 |
 |
 |
|
| 13 |
 |
 |
|
| 14 |
 |
 |
|
| 15 |
 |
 |
|
| 16 |
 |
 |
|
| 17 |
 |
 |
|
| 18 |
 |
 |
|
| 19 |
 |
 |
|
| 20 |
 |
 |
 |
Dens (Spezialaufnahme)
Es wurden keine Bilder gefunden.
CAVE
- 1) Exakte Aufnahmetechnik? - Projektion korrekt?
- 2) Atlantoaxialer Übergang: Distanz Dens-Massa lateralis ? (Distanz 3-5mm = V.a. parteielle Ruptur des Lig transversum; Distanz > 5mm = V.a. komplette Ruptur des Lig. transversum)
- 3) Konturlinien überprüft: Laterale Konturlinien, Dornfortsatzlinien
Beurteilung von
- Atlas
- Axis mit Dens axis
- Atlantoaxialgelenk
Indikation
Einteilung der Densfraktur nach Anderson und D`Alonso
- Typ 1: Fraktur des oberen Anteils des Dens (stabile Fraktur!)
- Typ 2: Densbasis-Querfraktur (instabile Fraktru!)
- Typ 3: Densbasisfraktur mit Ausdehnung auf den Axiskörper (stabile Fraktur!)
- CAVE: Os odontoideum
Einteilung der Atlasfraktur
- Typ 1: Vordere Atlasbogenfraktur
- Typ 2: Hintere Atlasbogenfraktur
- Typ 3: Vordere und hintere Atlasbogenfraktur (Jeffersonfraktur)
- Typ 4: Fraktur der Massa lateralis
- Typ 5: Proc. transversus Fraktur
Einteilung der Atlasfraktur
- Typ 1: Vordere Atlasbogenfraktur
- Typ 2: Hintere Atlasbogenfraktur
- Typ 3: Vordere und hintere Atlasbogenfraktur (Jeffersonfraktur)
- Typ 4: Fraktur der Massa lateralis
- Typ 5: Proc. transversus Fraktur
Kriterien für Instabilität (Konsequenz: Operation) an der HWS und oberen BWS
- Wirbelkörperkompression > 50%
- Zwei benachbarte Wirbelsegment sind mehr als 3,5 mm horizontal gegeneinander verschoben
- Zwei benachbarte Wirbel sind mehr als 11° gegeneinander anguliert
- Retrolisthese
- Dehiszenz der Dornfortsätze (bei bilateraler Gelenkluxation)
- Zeichen der nackten Gelenkfacette (Abgleiten der Gelenkflächen um mehr als 50%)
- Zwischenwirbelraum erweitert
- Zwischenwirbelgelenkspalt erweitert
| Alter |
Männlich |
Weiblich |
Unbekannt |
| <1 |
|
|
|
| 1 |
|
|
|
| 2 |
|
 |
|
| 3 |
 |
 |
|
| 4 |
|
 |
|
| 5 |
 |
|
|
| 6 |
|
 |
|
| 7 |
|
|
|
| 8 |
|
 |
|
| 9 |
 |
 |
|
| 10 |
 |
 |
|
| 11 |
 |
 |
|
| 12 |
 |
 |
|
| 13 |
 |
|
|
| 14 |
 |
 |
|
| 15 |
 |
 |
|
| 16 |
 |
 |
|
| 17 |
 |
 |
|
| 18 |
 |
|
|
| 19 |
 |
 |
 |
| 20 |
 |
 |
 |
Foramina intervertebralia (HWS schräg)
Es wurden keine Bilder gefunden.
Indikation
Beurteilung der:
- Foramina intervertebralia
- Kleinen Wirbelgelenken
Kriterien für Instabilität (Konsequenz: Operation) an der HWS und oberen BWS
- Wirbelkörperkompression > 50%
- Zwei benachbarte Wirbelsegment sind mehr als 3,5 mm horizontal gegeneinander verschoben
- Zwei benachbarte Wirbel sind mehr als 11° gegeneinander anguliert
- Retrolisthese
- Dehiszenz der Dornfortsätze (bei bilateraler Gelenkluxation)
- Zeichen der nackten Gelenkfacette (Abgleiten der Gelenkflächen um mehr als 50%)
- Zwischenwirbelraum erweitert
- Zwischenwirbelgelenkspalt erweitert
| Alter |
Männlich |
Weiblich |
Unbekannt |
| <1 |
 |
 |
|
| 1 |
 |
 |
|
| 2 |
 |
 |
|
| 3 |
 |
 |
|
| 4 |
 |
 |
 |
| 5 |
 |
 |
|
| 6 |
 |
 |
|
| 7 |
 |
 |
|
| 8 |
 |
 |
|
| 9 |
 |
 |
|
| 10 |
 |
 |
|
| 11 |
 |
 |
|
| 12 |
 |
 |
|
| 13 |
 |
 |
|
| 14 |
 |
 |
|
| 15 |
 |
 |
|
| 16 |
 |
 |
|
| 17 |
 |
 |
|
| 18 |
 |
 |
|
| 19 |
 |
 |
|
| 20 |
 |
 |
 |
HWS Übergang
Es wurden keine Bilder gefunden.
Kriterien für Instabilität (Konsequenz: Operation) an der HWS und oberen BWS:
- Wirbelkörperkompression > 50%
- Zwei benachbarte Wirbelsegment sind mehr als 3,5 mm horizontal gegeneinander verschoben
- Zwei benachbarte Wirbel sind mehr als 11° gegeneinander anguliert
- Retrolisthese
- Dehiszenz der Dornfortsätze (bei bilateraler Gelenkluxation)
- Zeichen der nackten Gelenkfacette (Abgleiten der Gelenkflächen um mehr als 50%)
- Zwischenwirbelraum erweitert
- Zwischenwirbelgelenkspalt erweitert
Indikation
V.a. Frakturen von
| Alter |
Männlich |
Weiblich |
Unbekannt |
| <1 |
 |
 |
|
| 1 |
 |
 |
|
| 2 |
 |
 |
|
| 3 |
 |
 |
|
| 4 |
 |
 |
 |
| 5 |
 |
 |
|
| 6 |
 |
 |
|
| 7 |
 |
 |
|
| 8 |
 |
 |
|
| 9 |
 |
 |
|
| 10 |
 |
 |
|
| 11 |
 |
 |
|
| 12 |
 |
 |
|
| 13 |
 |
 |
|
| 14 |
 |
 |
|
| 15 |
 |
 |
|
| 16 |
 |
 |
|
| 17 |
 |
 |
|
| 18 |
 |
 |
|
| 19 |
 |
 |
|
| 20 |
 |
 |
 |
Funktionsaufnahme der HWS
Es wurden keine Bilder gefunden.
Bei V.a. Instabilitäten (nur bei unauffälligen Basisaufnahmen!)
Kriterien für Instabilität (Konsequenz: Operation) an der HWS und oberen BWS
- Wirbelkörperkompression > 50%
- Zwei benachbarte Wirbelsegment sind mehr als 3,5 mm horizontal gegeneinander verschoben
- Zwei benachbarte Wirbel sind mehr als 11° gegeneinander anguliert
- Retrolisthese
- Dehiszenz der Dornfortsätze (bei bilateraler Gelenkluxation)
- Zeichen der nackten Gelenkfacette (Abgleiten der Gelenkflächen um mehr als 50%)
- Zwischenwirbelraum erweitert
- Zwischenwirbelgelenkspalt erweitert
| Alter |
Männlich |
Weiblich |
Unbekannt |
| <1 |
 |
 |
|
| 1 |
 |
 |
|
| 2 |
 |
 |
|
| 3 |
 |
 |
|
| 4 |
 |
 |
 |
| 5 |
 |
 |
|
| 6 |
 |
 |
|
| 7 |
 |
 |
|
| 8 |
 |
 |
|
| 9 |
 |
 |
|
| 10 |
 |
 |
|
| 11 |
 |
 |
|
| 12 |
 |
 |
|
| 13 |
 |
 |
|
| 14 |
 |
 |
|
| 15 |
 |
 |
|
| 16 |
 |
 |
|
| 17 |
 |
 |
|
| 18 |
 |
 |
|
| 19 |
 |
 |
|
| 20 |
 |
 |
 |
BWS a.p.
Es wurden keine Bilder gefunden.
CAVE
- Korrekte Einstellung?
- Wirbelkörperverformung - im Vergleich zu übrigen Wirbelkörpern
- Wirbelkörperhöhenminderung - im Vergleich zu übrigen Wirbelkörpern
- Wirbelkörperverbreitung - im Vergleich zu übrigen Wirbelkörpern
- Deformierung der Bogenwurze - im Vergleich zu übrigen Bogenwurzeln
- Vergrößerter Bogenwurzelabstand - im Vergleich zu übrigen Bogenwurzeln
- Abstand der Dornfortsätze - im Vergleich zu übrigen Dornfortsätzen
- Querfortsatzfrakur?
- paravertebrale Weichteilsturkturen im Normbereich (Psoaswandkontur)
Allgemeine Kriterien für Instabilität (Konsequenz: Operation)
- Wirbelkörperverbreiterung um mehr als 25%
- Wirbelkörperverbreitung bei WK-Berstung
- Höhenminderung des Wirbelkörpers um mehr als 25%
- Bogenwurzelabstand vergrößert
- Abstand der Dornfortsätze vergrößert
- Bei Fraktur der Wirbelkörperrückfläche und der Bogenanteile
- Bei neurol. Symptomen
Kriterien für Instabilität (Konsequenz: Operation) an unterer BWS und LWS anhand 3-Säulen Modells von Denis
- Vordere Säule (A): vorderes Längsband, vordere 2/3 des Wirbelkörpers und Diskus
- Mittlere Säule (B): Hinteres Längsband, hinteres 1/3 des Wirbelkörpers und Diskus
- Hintere Säule (C): Wirbelbogen, Ligg. interspinosa et flave, Kapseln der Intervertebralgelenke

3-SäulenModell von Denis
Gemäß dieses Models gelten Verletzungen einer Säule als stabil, Verletzungen von zwei oder drei Säulen als instabil. Bei der Beteiligung der mittleren Säule muss immer von Instabilität ausgegangen werden.
| Alter |
Männlich |
Weiblich |
Unbekannt |
| <1 |
|
|
|
| 1 |
|
|
|
| 2 |
|
|
|
| 3 |
|
|
|
| 4 |
|
|
|
| 5 |
|
 |
|
| 6 |
|
|
|
| 7 |
 |
 |
|
| 8 |
 |
|
|
| 9 |
 |
|
|
| 10 |
 |
|
|
| 11 |
 |
|
|
| 12 |
|
 |
|
| 13 |
 |
|
|
| 14 |
 |
 |
|
| 15 |
 |
|
|
| 16 |
 |
|
|
| 17 |
 |
|
|
| 18 |
|
|
|
| 19 |
 |
|
|
| 20 |
|
 |
 |
BWS seitlich
Es wurden keine Bilder gefunden.
CAVE
- Einstellung korrekt?
- Wirbelkörperverformung - im Vergleich zu übrigen Wirbelkörpern
- Wirbelkörperhöhenminderung - im Vergleich zu übrigen Wirbelkörpern
- Vorderes und hinteres Wirbelkörperalignment und spinolaminäre Linie korrekt?
- Stufe in der Wirbelkörpervorderkante - im Vergleich zu übrigen Wirbelkörpern
- Wirbelkörperhinterwandprotrusion - im Vergleich zu übrigen Wirbelkörpern
- Verdichtung der Spongiosa - im Vergleich zu übrigen Wirbelkörpern
- Impression der Deckplatte - im Vergleich zu übrigen Wirbelkörpern
- Dornfortsatzabstand - m Vergleich zu übrigen Dornfortsätzen
- Aorta verdrängt im Sinne eines Weichteilzeichnes (z.B. bei retroperitonealem Hämatom)
Allgemeine Kriterien für Instabilität (Konsequenz: Operation)
- Wirbelkörperverbreiterung um mehr als 25%
- Wirbelkörperverbreitung bei WK-Berstung
- Höhenminderung des Wirbelkörpers um mehr als 25%
- Bogenwurzelabstand vergrößert
- Abstand der Dornfortsätze vergrößert
- Bei Fraktur der Wirbelkörperrückfläche und der Bogenanteile
- Bei neurol. Symptomen
Kriterien für Instabilität (Konsequenz: Operation) an unterer BWS und LWS anhand 3-Säulen Modells von Denis
- Vordere Säule (A): vorderes Längsband, vordere 2/3 des Wirbelkörpers und Diskus
- Mittlere Säule (B): Hinteres Längsband, hinteres 1/3 des Wirbelkörpers und Diskus
- Hintere Säule (C): Wirbelbogen, Ligg. interspinosa et flave, Kapseln der Intervertebralgelenke

3-SäulenModell von Denis
Gemäß dieses Models gelten Verletzungen einer Säule als stabil, Verletzungen von zwei oder drei Säulen als instabil. Bei der Beteiligung der mittleren Säule muss immer von Instabilität ausgegangen werden.
| Alter |
Männlich |
Weiblich |
Unbekannt |
| <1 |
|
|
|
| 1 |
|
|
|
| 2 |
|
|
|
| 3 |
|
|
|
| 4 |
|
|
|
| 5 |
|
 |
|
| 6 |
|
|
|
| 7 |
 |
 |
|
| 8 |
 |
|
|
| 9 |
 |
|
|
| 10 |
 |
|
|
| 11 |
 |
|
|
| 12 |
|
 |
|
| 13 |
 |
|
|
| 14 |
 |
 |
|
| 15 |
 |
|
|
| 16 |
 |
|
|
| 17 |
 |
|
|
| 18 |
|
|
|
| 19 |
 |
|
|
| 20 |
|
 |
 |
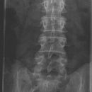
LWS a.p.
Es wurden keine Bilder gefunden.
CAVE
- Korrekte Einstellung?
- Wirbelkörperverformung - im Vergleich zu übrigen Wirbelkörpern
- Wirbelkörperhöhenminderung - im Vergleich zu übrigen Wirbelkörpern
- Wirbelkörperverbreitung - im Vergleich zu übrigen Wirbelkörpern
- Deformierung der Bogenwurze - im Vergleich zu übrigen Bogenwurzeln
- Vergrößerter Bogenwurzelabstand - im Vergleich zu übrigen Bogenwurzeln
- Abstand der Dornfortsätze - im Vergleich zu übrigen Dornfortsätzen
- Querfortsatzfrakur?
- paravertebrale Weichteilsturkturen im Normbereich (Psoaswandkontur)
Allgemeine Kriterien für Instabilität (Konsequenz: Operation)
- Wirbelkörperverbreiterung um mehr als 25%
- Wirbelkörperverbreitung bei WK-Berstung
- Höhenminderung des Wirbelkörpers um mehr als 25%
- Bogenwurzelabstand vergrößert
- Abstand der Dornfortsätze vergrößert
- Bei Fraktur der Wirbelkörperrückfläche und der Bogenanteile
- Bei neurol. Symptomen
Kriterien für Instabilität (Konsequenz: Operation) an unterer BWS und LWS anhand 3-Säulen Modells von Denis
- Vordere Säule (A): vorderes Längsband, vordere 2/3 des Wirbelkörpers und Diskus
- Mittlere Säule (B): Hinteres Längsband, hinteres 1/3 des Wirbelkörpers und Diskus
- Hintere Säule (C): Wirbelbogen, Ligg. interspinosa et flave, Kapseln der Intervertebralgelenke

3-SäulenModell von Denis
Gemäß dieses Models gelten Verletzungen einer Säule als stabil, Verletzungen von zwei oder drei Säulen als instabil. Bei der Beteiligung der mittleren Säule muss immer von Instabilität ausgegangen werden.
Weitere Infos aus: Bohndorf WS. 52 instabilitätskriterien der untern LWS und Zeichnung : vorder und Hinterkante nie mehr als 2mm Differnz !!!!!!!!!!
| Alter |
Männlich |
Weiblich |
Unbekannt |
| <1 |
|
|
|
| 1 |
|
|
|
| 2 |
|
|
|
| 3 |
|
|
|
| 4 |
|
|
|
| 5 |
|
 |
|
| 6 |
|
|
|
| 7 |
 |
 |
|
| 8 |
 |
 |
|
| 9 |
 |
 |
|
| 10 |
|
 |
|
| 11 |
 |
 |
|
| 12 |
 |
 |
|
| 13 |
|
 |
|
| 14 |
 |
 |
|
| 15 |
|
 |
|
| 16 |
 |
 |
|
| 17 |
 |
|
|
| 18 |
|
 |
|
| 19 |
 |
|
|
| 20 |
 |
 |
 |
LWS seitlich
Es wurden keine Bilder gefunden.
CAVE
- Einstellung korrekt?
- Wirbelkörperverformung - im Vergleich zu übrigen Wirbelkörpern
- Wirbelkörperhöhenminderung - im Vergleich zu übrigen Wirbelkörpern
- Vorderes und hinteres Wirbelkörperalignment und spinolaminäre Linie korrekt?
- Stufe in der Wirbelkörpervorderkante - im Vergleich zu übrigen Wirbelkörpern
- Wirbelkörperhinterwandprotrusion - im Vergleich zu übrigen Wirbelkörpern
- Verdichtung der Spongiosa - im Vergleich zu übrigen Wirbelkörpern
- Impression der Deckplatte - im Vergleich zu übrigen Wirbelkörpern
- Dornfortsatzabstand - m Vergleich zu übrigen Dornfortsätzen
- Aorta verdrängt im Sinne eines Weichteilzeichnes (z.B. bei retroperitonealem Hämatom)
Allgemeine Kriterien für Instabilität (Konsequenz: Operation)
- Wirbelkörperverbreiterung um mehr als 25%
- Wirbelkörperverbreitung bei WK-Berstung
- Höhenminderung des Wirbelkörpers um mehr als 25%
- Bogenwurzelabstand vergrößert
- Abstand der Dornfortsätze vergrößert
- Bei Fraktur der Wirbelkörperrückfläche und der Bogenanteile
- Bei neurol. Symptomen
Kriterien für Instabilität (Konsequenz: Operation) an unterer BWS und LWS anhand 3-Säulen Modells von Denis
- Vordere Säule (A): vorderes Längsband, vordere 2/3 des Wirbelkörpers und Diskus
- Mittlere Säule (B): Hinteres Längsband, hinteres 1/3 des Wirbelkörpers und Diskus
- Hintere Säule (C): Wirbelbogen, Ligg. interspinosa et flave, Kapseln der Intervertebralgelenke

3-SäulenModell von Denis
Gemäß dieses Models gelten Verletzungen einer Säule als stabil, Verletzungen von zwei oder drei Säulen als instabil. Bei der Beteiligung der mittleren Säule muss immer von Instabilität ausgegangen werden.
| Alter |
Männlich |
Weiblich |
Unbekannt |
| <1 |
|
|
|
| 1 |
|
|
|
| 2 |
|
|
|
| 3 |
|
|
|
| 4 |
|
|
|
| 5 |
|
 |
|
| 6 |
|
|
|
| 7 |
 |
 |
|
| 8 |
 |
 |
|
| 9 |
 |
 |
|
| 10 |
|
 |
|
| 11 |
 |
 |
|
| 12 |
 |
 |
|
| 13 |
|
 |
|
| 14 |
 |
 |
|
| 15 |
|
 |
|
| 16 |
 |
 |
|
| 17 |
 |
|
|
| 18 |
|
 |
|
| 19 |
 |
|
|
| 20 |
 |
 |
 |
Konversation wird geladen