Wirbelsäule

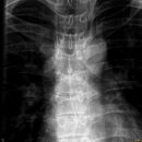
Deckplatte LWK 2 ohne Hinterkante

Es wurden keine Bilder gefunden.

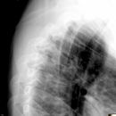
BWK 5 Fraktur

Es wurden keine Bilder gefunden.

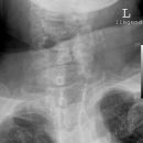
Densfraktur

Es wurden keine Bilder gefunden.

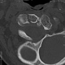
Foramen arcuale bzw Kimmerle Anomalie

Es wurden keine Bilder gefunden.

Sakroiliitis bei Bechterew

Es wurden keine Bilder gefunden.
Konversation wird geladen