Anmelden
Home
Glossar
MTR
Kopf
Clavicula
Schulter
Oberarm
Ellenbogen
Unterarm
Hand / Handgelenk
Finger
Thoraxbereich
Abdomen
Becken / Hüfte
Oberschenkel
Kniegelenk
Unterschenkel
Sprunggelenk
Calcaneus
Fuß
Zehen
Wirbelsäule
Arzt
Kopf
Clavicula
Schulter
Oberarm
Ellenbogen
Unterarm
Hand / Handgelenk
Finger
Thorax
Abdomen
Becken / Hüfte
Oberschenkel
Knie
Unterschenkel
Sprunggelenk
Calcaneus
Fuß
Zeh
Wirbelsäule
Orthorad
Anatomie
TraumaRad
Pedbone
Fehleinstellungen
Anforderung
Youtube
Tipps & Tricks
Einstelltechniken
App Tour
Strahlenschutz
Fun
Zusatz
Checkliste
Basic
Osteosynthese
OrthoRad-Quiz
Nomenklatur etc.
App
Kontakt
Shop
Unterarm
TraumaRad Menü
Kopf
Wirbelsäule
Clavicula
Schulter
Ellenbogen
Unterarm
Hand / Handgelenk
Finger
Thorax
Abdomen
Becken / Hüfte
Oberschenkel
Kniegelenk
Unterschenkel
Sprunggelenk
Calcaneus
Fuß
Zehen
☰
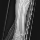
Unterarmschaft Fraktur
Es wurden keine Bilder gefunden.
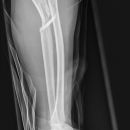
Monteggia-Fraktur
Es wurden keine Bilder gefunden.
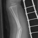
Galeazzi-Fraktur
Es wurden keine Bilder gefunden.
Konversation wird geladen