Becken / Hüfte

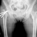
Fraktur Ramus pubis sup. und inf.

Es wurden keine Bilder gefunden.

Cam FAI mit herniation pit

Es wurden keine Bilder gefunden.

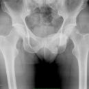
Coxarthrose

Es wurden keine Bilder gefunden.

Coxarthrose

Es wurden keine Bilder gefunden.

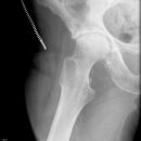
Sekundäre Dislokation

Es wurden keine Bilder gefunden.

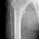
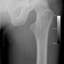
pertrochantäre Femurfraktur

Es wurden keine Bilder gefunden.

pertrochantäre Femurfraktur

Es wurden keine Bilder gefunden.

Nichtdislozierte Sitzbeinfraktur

Es wurden keine Bilder gefunden.

Ganzbeinaufnahme mit Beinprothese

Es wurden keine Bilder gefunden.

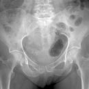
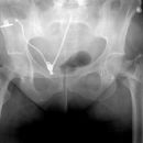
Open Book Fracture

Es wurden keine Bilder gefunden.

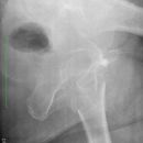
HüftTEP Luxation

Es wurden keine Bilder gefunden.

Schlecht festgeschraubt

Es wurden keine Bilder gefunden.
Konversation wird geladen