Wirbelsäule

HWS a.p.
Es wurden keine Bilder gefunden.

Kassette/Abstand

Format 18/24 hoch / FFA 1,15m

Lagerung

Patient in Rückenlage, Körper gerade ausrichten, Kopf etwas in den Nacken nehmen, damit der obere Anteil der Halswirbelsäule nicht zu sehr vom Unterkiefer überlagert wird. Halswirbelsäule parallel zur Tischebene.

Zentralstrahl

Senkrecht auf Kinn- und Kassettenmitte.

Anmerkung

Ist es nicht möglich den Kopf in den Nacken zu nehmen sollte der Zentralstrahl bis zu 15° caudo-cranial einschießen, dann jedoch wird eine zusätzliche Densaufnahme notwendig.

Qualitätskriterien

Alle 7 Halswirbelkörper symmetrisch dargestellt, Übergänge zum Schädel und zu der BWS müssen abgebildet sein, Dornfortsätze sind mittelständig.

  • Aufnahmedaten
  • Pädiatrische Besonderheiten
  • Vorbereitung des Patienten
Aufnahmeart: Rastertisch, Rasterwandgerät
Belichtungsautomatik: mittleres Messfeld
Bildempfängerdosis: SC 400
Fokus-Detektor-Abstand: 115 cm
Brennflecknennwert: ≤1,3
Aufnahmespannung: 65 – 75 kV
Expositionszeit: < 100 ms
Streustrahlenraster: r 12 (8)
Aufnahmeart: Aufnahmetisch, Rastertisch
Aufnahmespannung: 60 – 75 kV
Zusatzfilterung: 1 mm Al + mindestens 0,1 mm Cu
Bildempfängerdosis: SC 800 (400)
Brennflecknennwert: 0,6 (≤ 1,3)
Streustrahlenraster: r 8, kein Raster bei Säuglingen
Strahlenschutz: Bleigummiabdeckung der unmittelbar anschließenden Abschnitte des Körperstamms
Hals/Kopf von Kleidung und Schmuck und evtl. Zahnprothese frei machen, Gonadenschutz anbringen.

HWS seitlich
Es wurden keine Bilder gefunden.

Kassette/Abstand

Format 24/30 hoch oder 18/24 hoch/ FFA 1,15m

Lagerung

Patient sitzt seitlich am Wandstativ, Schulter nach unten ziehen, Medianebene parallel zum Stativ, Kassette erstreckt sich von Tragus bis Jugulum.

Zentralstrahl

Senkrecht auf hinteres Drittel der HWS (2-3 QF) und Kassettenmitte, bzw. auf Muskelstrang (M. sternocleidomastoideus) des Halses.

Indikation

Bei Schleudertrauma (traumatische Läsion), degenerative Veränderungen.

Qualitätskriterien

Alle 7 HWK lateral dargestellt, orthogonale Darstellung der Grund- und Deckplatten, Processus spinosus des 7. HWK vollständig dargestellt, Mandibula überdeckt HWS nicht.

  • Aufnahmedaten
  • Pädiatrische Besonderheiten
  • Vorbereitung des Patienten
Aufnahmeart: Rastertisch, Rasterwandgerät
Belichtungsautomatik: mittleres Messfeld
Bildempfängerdosis: SC 400
Fokus-Detektor-Abstand: 115 cm
Brennflecknennwert: ≤1,3
Aufnahmespannung: 65 – 75 kV
Expositionszeit: < 100 ms
Streustrahlenraster: r 12 (8)
Aufnahmeart: Aufnahmetisch, Rastertisch
Aufnahmespannung: 60 – 75 kV
Zusatzfilterung: 1 mm Al + mindestens 0,1 mm Cu
Bildempfängerdosis: SC 800 (400)
Brennflecknennwert: 0,6 (≤ 1,3)
Streustrahlenraster: r 8, kein Raster bei Säuglingen
Strahlenschutz: Bleigummiabdeckung der unmittelbar anschließenden Abschnitte des Körperstamms
Hals/Kopf von Kleidung und Schmuck und evtl. Zahnprothese frei machen, Gonadenschutz anbringen.

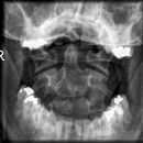
Dens (Spezialaufnahme)
Es wurden keine Bilder gefunden.

Kassette/Abstand

Format 18/24 / FFA 1,15m

Lagerung

Patient in Rückenlage, Körper gerade ausrichten, Prothesen usw. entfernen, 15° Keil unter den Kopf legen, Bissfläche der oberen Zahnreihe senkrecht über Hinterhaupt, Mund öffnen.

Zentralstrahl

Senkrecht in den Mund, kleine Einblendung.

Qualitätskriterien

Bissebene und Unterkante des Hinterhaupts sollen sich überdecken. Der Dens ist mittelständig: gleicher Abstand zum aufsteigenden Ast des Unterkiefers beidseits. Weitgehend überlagerungsfreie Darstellung des Atlas und des Axis mit Dens. Gut einsehbares Atlantookzipital- und Atlantoaxialgelenk. Der vordere und der hintere Atlasbogen überlagern den Dens.

  • Aufnahmedaten
  • Pädiatrische Besonderheiten
  • Vorbereitung des Patienten
Aufnahmeart: Rastertisch, Rasterwandgerät
Belichtungsautomatik: mittleres Messfeld
Bildempfängerdosis: SC 400
Fokus-Detektor-Abstand: 115 cm
Brennflecknennwert: ≤1,3
Aufnahmespannung: 65 – 75 kV
Expositionszeit: < 100 ms
Streustrahlenraster: r 12 (8)
Aufnahmeart: Aufnahmetisch, Rastertisch
Aufnahmespannung: 60 – 75 kV
Zusatzfilterung: 1 mm Al + mindestens 0,1 mm Cu
Bildempfängerdosis: SC 800 (400)
Brennflecknennwert: 0,6 (≤ 1,3)
Streustrahlenraster: r 8, kein Raster bei Säuglingen
Strahlenschutz: Bleigummiabdeckung der unmittelbar anschließenden Abschnitte des Körperstamms
Hals/Kopf von Kleidung und Schmuck und evtl. Zahnprothese frei machen, Gonadenschutz anbringen.

Foramina intervertebralia (HWS schräg)
Es wurden keine Bilder gefunden.

Kassette/Abstand

Format 24/30 hoch / FFA 1,15m

Lagerung

Patient sitzt im Winkel von 45° (45° Bocollo) mit dem Rücken vor dem Wandstativ, Medianebene des Schädels ist parallel zum Film, Kinn leicht vorgestreckt.

Zentralstrahl

Senkrecht auf Kassette oder im Winkel von 10° caudo-cranial auf Mitte Kassettenmitte. Längsstrahl: Mitte Hals. HWS von Tragus bis Jugulum auf Kassette.

Bemerkung

Es werden die plattenfernen Foramina dargestellt. p.a ist nicht zu empfehlen, aufgrund von Lagerungsschwierigkeiten. Beide Seiten der Foramina müssen geröntgt werden.

Qualitätskriterien

Alle Foramina intervertebralia müssen einsehbar sein, keine Überlagerung des oberen Kieferastes durch den cranialen Unterkieferast.

  • Aufnahmedaten
  • Pädiatrische Besonderheiten
  • Vorbereitung des Patienten
Aufnahmeart: Rasterwandgerät
Belichtungsautomatik: mittleres Messfeld
Bildempfängerdosis: SC 400
Fokus-Detektor-Abstand: 115 cm
Brennflecknennwert: ≤1,3
Aufnahmespannung: 65 – 75 kV
Expositionszeit: < 100 ms
Streustrahlenraster: r 12 (8)
Aufnahmeart: Aufnahmetisch, Rastertisch
Aufnahmespannung: 60 – 75 kV
Zusatzfilterung: 1 mm Al + mindestens 0,1 mm Cu
Bildempfängerdosis: SC 800 (400)
Brennflecknennwert: 0,6 (≤ 1,3)
Streustrahlenraster: r 8, kein Raster bei Säuglingen
Strahlenschutz: Bleigummiabdeckung der unmittelbar anschließenden Abschnitte des Körperstamms
Hals/Kopf von Kleidung und Schmuck und evtl. Zahnprothese frei machen, Gonadenschutz anbringen.

HWS Übergang
Es wurden keine Bilder gefunden.

Kassette/Abstand

Format 24/30 / FFA 1,15m

Lagerung

1. Möglichkeit:

Patient in Seitenlage, plattennahen Arm unter den Kopf legen, damit HWS parallel zum Tisch (Schlafstellung), filmfernen Arm zu den Knien ziehen.

2. Möglichkeit:

Patient in Rückenlage, filmnaher Arm über den Kopf und Schulter hochziehen, filmferne Schulter caudalwärts ziehen.

Zentralstrahl

Senkrecht auf Kassettenmitte und auf 1. bzw. 2. BWK.

Bemerkung

Aufblendung wie HWS seitlich, da man alle HWK's zum Abzählen braucht.

Qualitätskriterien

Freie Projektion des 1.–3. Brustwirbels einschließlich ihrer Dornfortsätze, keine Überlagerung durch den Schultergürtel.

  • Aufnahmedaten
  • Pädiatrische Besonderheiten
  • Vorbereitung des Patienten
Aufnahmeart: Rastertisch, Rasterwandgerät
Belichtungsautomatik: mittleres Messfeld
Bildempfängerdosis: SC 400
Fokus-Detektor-Abstand: 115 cm
Brennflecknennwert: ≤1,3
Aufnahmespannung: 65 – 75 kV
Expositionszeit: < 100 ms
Streustrahlenraster: r 12 (8)
Aufnahmeart: Aufnahmetisch, Rastertisch
Aufnahmespannung: 60 – 75 kV
Zusatzfilterung: 1 mm Al + mindestens 0,1 mm Cu
Bildempfängerdosis: SC 800 (400)
Brennflecknennwert: 0,6 (≤ 1,3)
Streustrahlenraster: r 8, kein Raster bei Säuglingen
Strahlenschutz: Bleigummiabdeckung der unmittelbar anschließenden Abschnitte des Körperstamms
Hals/Kopf von Kleidung und Schmuck und evtl. Zahnprothese frei machen, Gonadenschutz anbringen.

Funktionsaufnahme der HWS
Es wurden keine Bilder gefunden.

Kassette/Abstand

Format 24/30 quer für Inklination, 18/24 hoch für Reklination / FFA 1,15m

Lagerung

Patient seitlich gegen Wandstativ stellen, möglichst Gewichte in die Hände geben.

Inklination:

Patient beugt Kopf soweit wie möglich auf die Brust.

Reklination:

Patient beugt Kopf soweit wie möglich nach hinten. Achtung: WS muss über der Messkammer liegen!

Zentralstrahl

Senkrecht auf Objekt- und Filmmitte.

Qualitätskriterien

Orthograde, streng seitliche Abbildung der Grund- und Deckplatten der HWS. Alle 7 HWK in maximaler Inklination bzw. Reklination.

  • Aufnahmedaten
  • Pädiatrische Besonderheiten
  • Vorbereitung des Patienten
Aufnahmeart: Rasterwandgerät
Belichtungsautomatik: mittleres Messfeld
Bildempfängerdosis: SC 400
Fokus-Detektor-Abstand: 115 cm
Brennflecknennwert: ≤1,3
Aufnahmespannung: 65 – 75 kV
Expositionszeit: < 100 ms
Streustrahlenraster: r 12 (8)
Aufnahmeart: Aufnahmetisch, Rastertisch
Aufnahmespannung: 60 – 75 kV
Zusatzfilterung: 1 mm Al + mindestens 0,1 mm Cu
Bildempfängerdosis: SC 800 (400)
Brennflecknennwert: 0,6 (≤ 1,3)
Streustrahlenraster: r 8, kein Raster bei Säuglingen
Strahlenschutz: Bleigummiabdeckung der unmittelbar anschließenden Abschnitte des Körperstamms
Hals/Kopf von Kleidung und Schmuck und evtl. Zahnprothese frei machen, Gonadenschutz anbringen.

BWS a.p.
Es wurden keine Bilder gefunden.

Kassette/Abstand

Format 20/40 hoch / FFA 1,15m

Lagerung

Patient in Rückenlage, Arme längs des Körpers, exakt gerade ausrichten.

Zentralstrahl

Senkrecht auf Brustwirbelsäule und Kassettenmitte, einblenden; Medianebene: Jugulum-Sternumspitze. Oberer Kassettenrand 2 QF oberhalb der Schulter.

Bemerkung

Hilfsmittel: Bei konventioneller Röntgentechnik sollte ein Ausgleichsfilter und eine Röntgenkassette mit Ausgleichsfolie (+/-) verwendet werden, um ein Überstrahlen der oberen Brustwirbel zu vermeiden. Zwischenwirbelräume voll einsichtig.

Qualitätskriterien

Gute beurteilungsfähige, orthograde Abbildung aller Wirbelkörper der BWS, der Zwischenwirbelräume und der Übergänge zur Hals- und Lendenwirbelsäule.

  • Aufnahmedaten
  • Pädiatrische Besonderheiten
  • Vorbereitung des Patienten
Aufnahmeart: Rastertisch, Rasterwandgerät
Belichtungsautomatik: mittleres Messfeld
Bildempfängerdosis: SC 400
Fokus-Detektor-Abstand: 115 cm
Brennflecknennwert: ≤1,3
Aufnahmespannung: 70 – 85 kV
Expositionszeit: < 200 ms
Streustrahlenraster: r 12 (8)
Aufnahmeart: Aufnahmetisch, Rastertisch
Aufnahmespannung: 65 kV bei Säuglingen unter 6 Monaten
Zusatzfilterung: 1 mm Al + mindestens 0,1 mm Cu
Bildempfängerdosis: SC 800 (400)
Brennflecknennwert: 0,6 (≤ 1,3)
Streustrahlenraster: r 8, kein Raster bei Säuglingen unter 6 Monaten und bei digitaler Radiographie
Strahlenschutz: Bleigummiabdeckung der unmittelbar anschließenden Abschnitte des Körperstamms
Thorax/Abdomen von Kleidung und Schmuck frei machen, Gonadenschutz anbringen.

BWS seitlich
Es wurden keine Bilder gefunden.

Kassette/Abstand

Format 20/40 hoch / FFA 1,15m

Lagerung

Patient liegt auf der linken Seite (Herz), Hüft- und Kniegelenk leicht gebeugt, Schultern und Arme nach vorne ziehen, Brustwirbelsäule parallel zur Tischoberfläche.

Zentralstrahl

Senkrecht auf ca. handbreit vom hinteren Dornfortsatz ventralwärts, nicht einblenden. Obere Aufblendung erfasst den 7. HWK (Vertebra Prominens)

Bemerkung

Hilfsmittel: Bei konventioneller Röntgentechnik sollte eine Kassette mit Verlaufsfolie (+/-/+) und ein Ausgleichsfilter verwendet werden.
Atemphase: Patient atmet während der Aufnahme leicht weiter, Veratmungstechnik.

Qualitätskriterien

Streng seitliche Darstellung der Brustwirbelräume und der Übergänge zur Hals- und Lendenwirbelsäule mit strichförmiger Abbildung der Wirbelkörperabschlussplatten.

  • Aufnahmedaten
  • Pädiatrische Besonderheiten
  • Vorbereitung des Patienten
Aufnahmeart: Rastertisch, Rasterwandgerät
Belichtungsautomatik: mittleres Messfeld
Bildempfängerdosis: SC 400
Fokus-Detektor-Abstand: 115 cm
Brennflecknennwert: ≤1,3
Aufnahmespannung: 70 – 85 kV
Expositionszeit: < 200 ms
Streustrahlenraster: r 12 (8)
Aufnahmeart: Aufnahmetisch, Rastertisch
Aufnahmespannung: 65 kV bei Säuglingen unter 6 Monaten
Zusatzfilterung: 1 mm Al + mindestens 0,1 mm Cu
Bildempfängerdosis: SC 800 (400)
Brennflecknennwert: 0,6 (≤ 1,3)
Streustrahlenraster: r 8, kein Raster bei Säuglingen unter 6 Monaten und bei digitaler Radiographie
Strahlenschutz: Bleigummiabdeckung der unmittelbar anschließenden Abschnitte des Körperstamms
Thorax/Abdomen von Kleidung und Schmuck frei machen, Gonadenschutz anbringen.

LWS a.p.
Es wurden keine Bilder gefunden.

Kassette/Abstand

Format 20/40 hoch / FFA 1,15m

Lagerung

Patient in Rückenlage, Arme längs des Körpers, durch Unterpolsterung oder Anziehen der Knie, Ausgleich der Lendenlordose. Zur Darstellung der ISF darf das Format nicht eingeblendet werden! Keine Bleischürze - falls möglich Hodenkapsel/Schmetterling

Zentralstrahl

Senkrecht auf WS und oberen hinteren Beckenkamm.

Indikation

Zwischenwirbelraum frei projiziert.

Qualitätskriterien

Scharfe und orthograde Abbildung aller Lendenwirbel mit ihren Querfortsätzen, der Kreuzdarmbeingelenke und des thorakolumbalen Überganges. Die Dornfortsätze sind mittelständig. Zwischenwirbelraum frei projiziert.

  • Aufnahmedaten
  • Pädiatrische Besonderheiten
  • Vorbereitung des Patienten
Aufnahmeart: Rastertisch, Rasterwandgerät
Belichtungsautomatik: mittleres Messfeld
Bildempfängerdosis: SC 400
Fokus-Detektor-Abstand: 115 cm
Brennflecknennwert: ≤1,3
Aufnahmespannung: 75 – 85 kV
Expositionszeit: < 500 ms
Streustrahlenraster: r 12 (8)
Aufnahmeart: Aufnahmetisch, Rastertisch
Aufnahmespannung: 70 – 85 kV, bei Säuglingen unter 6 Monaten 65 kV
Zusatzfilterung: 1 mm Al + mindestens 0,1 mm Cu
Bildempfängerdosis: SC 800 (400)
Brennflecknennwert: 0,6 (≤ 1,3)
Streustrahlenraster: r 8, kein Raster bei Säuglingen unter 6 Monaten
Strahlenschutz: Ovarialabdeckung wenn diagnostisch möglich, Hodenkapsel, Bleigummiabdeckung der unmittelbar anschließenden Abschnitte des Körperstamms
Abdomen/Becken von Kleidung und Schmuck frei machen, Ovarialabdeckung. Wenn diagnostisch möglich, Hodenkapsel.

LWS seitlich
Es wurden keine Bilder gefunden.

Kassette/Abstand

Format 20/40 hoch / FFA 1,15m

Lagerung

Patient liegt auf der linken Seite (Herz), Hüft- und Kniegelenk leicht gebeugt, Schaumstoffkeil zwischen Knie (damit Oberschenkel parallel), Arme nach vorne, WS parallel zur Tischoberfläche, evtl. Taille unterpolstern (bei dünnen Patienten). Keine Bleischürze - falls möglich Hodenkapsel/Schmetterling

Zentralstrahl

Senkrecht auf oberen hinteren Beckenkamm. Handbreit von Dornfortsätzen ventralwärts (in Höhe des ZS gemessen unter Abzug des Gewebes).

Anmerkung

Nur bei exakt paralleler Lagerung erfolgt orthostatische Abbildung des Zwischenwirbelräume.

Qualitätskriterien

Rein seitliche Darstellung der Lendenwirbelsäule einschließlich ihrer Dornfortsätze mit 12. Brustwirbel und lumbosacralem Übergang.

  • Aufnahmedaten
  • Pädiatrische Besonderheiten
  • Vorbereitung des Patienten
Aufnahmeart: Rastertisch, Rasterwandgerät
Belichtungsautomatik: mittleres Messfeld
Bildempfängerdosis: SC 400
Fokus-Detektor-Abstand: 115 cm
Brennflecknennwert: ≤1,3
Aufnahmespannung: 85 - 95 kV
Expositionszeit: < 1,0 s
Streustrahlenraster: r 12 (8)
Aufnahmeart: Aufnahmetisch, Rastertisch
Aufnahmespannung: 70 – 85 kV, bei Säuglingen unter 6 Monaten 65 kV
Zusatzfilterung: 1 mm Al + mindestens 0,1 mm Cu
Bildempfängerdosis: SC 800 (400)
Brennflecknennwert: 0,6 (≤ 1,3)
Streustrahlenraster: r 8, kein Raster bei Säuglingen unter 6 Monaten
Strahlenschutz: Ovarialabdeckung wenn diagnostisch möglich, Hodenkapsel, Bleigummiabdeckung der unmittelbar anschließenden Abschnitte des Körperstamms
Abdomen/Becken von Kleidung und Schmuck frei machen, Ovarialabdeckung. Wenn diagnostisch möglich, Hodenkapsel.

LWS schräg
Es wurden keine Bilder gefunden.

Kassette/Abstand

Format 20/40 hoch / FFA 1,15m

Lagerung

Patient zunächst in Seitenlage, dann 45° dorsalwärts drehen, LWS soll gerade sein, plattennahes Bein angewinkelt, plattenfernes Bein gestreckt.

Zentralstrahl

Senkrecht in Höhe Beckenkamm.

Längsstrahleinstellung

1. 1-2 QF medial der Spina der angehobenen Seite.
2. 1-2 QF ventralwärts der getasteten Dornfortsätze
3. Mitte Sternumende und äußerer Rippenbogen

Qualitätskriterien

Bei richtiger Einstellung zeigt sich die typische Lachapell´sche Hundefigur, d.h. Darstellung der lumbalen Zwischenwirbelgelenkstücke (Interarticularportionen) und der angrenzenden Zwischenwirbelgelenke, der Buchstabe -R- oder -L- bezeichnen jeweils die filmnahe Körperseite, im Gegensatz zu den Schrägaufnahmen der HWS. Achtung: Beide Seiten müssen geröntgt werden.

  • Aufnahmedaten
  • Pädiatrische Besonderheiten
  • Vorbereitung des Patienten
Aufnahmeart: Rastertisch, Rasterwandgerät
Belichtungsautomatik: mittleres Messfeld
Bildempfängerdosis: SC 400
Fokus-Detektor-Abstand: 115 cm
Brennflecknennwert: ≤1,3
Aufnahmespannung: 85 - 95 kV
Expositionszeit: < 1,0 s
Streustrahlenraster: r 12 (8)
Aufnahmeart: Aufnahmetisch, Rastertisch
Aufnahmespannung: 70 – 85 kV, bei Säuglingen unter 6 Monaten 65 kV
Zusatzfilterung: 1 mm Al + mindestens 0,1 mm Cu
Bildempfängerdosis: SC 800 (400)
Brennflecknennwert: 0,6 (≤ 1,3)
Streustrahlenraster: r 8, kein Raster bei Säuglingen unter 6 Monaten
Strahlenschutz: Ovarialabdeckung wenn diagnostisch möglich, Hodenkapsel, Bleigummiabdeckung der unmittelbar anschließenden Abschnitte des Körperstamms
Abdomen/Becken von Kleidung und Schmuck frei machen, Ovarialabdeckung. Wenn diagnostisch möglich, Hodenkapsel.

LWS a.p. stehend
Es wurden keine Bilder gefunden.

Kassette/Abstand

Format 20/40 hoch / FFA 1,15m

Lagerung

Patient steht mit dem Rücken am Rasterwandstativ, Arme längs des Körpers, evtl. Beckenschiefstand oder Beinverkürzung ausgleichen. Zur Darstellung der ISF darf das Format nicht eingeblendet werden! Keine Bleischürze - falls möglich Hodenkapsel/Schmetterling

Zentralstrahl

Senkrecht auf WS und oberen hinteren Beckenkamm.

Bemerkung

Schuhe ausziehen.

Qualitätskriterien

Scharfe und orthograde Abbildung aller Lendenwirbel mit ihren Querfortsätzen, der Kreuzdarmbeingelenke und des thorakolumbalen Überganges. Die Dornfortsätze sind mittelständig. Zwischenwirbelraum frei projiziert.

  • Aufnahmedaten
  • Pädiatrische Besonderheiten
  • Vorbereitung des Patienten
Aufnahmeart: Rasterwandgerät
Belichtungsautomatik: mittleres Messfeld
Bildempfängerdosis: SC 400
Fokus-Detektor-Abstand: 115 cm
Brennflecknennwert: ≤1,3
Aufnahmespannung: 75 – 85 kV
Expositionszeit: < 500 ms
Streustrahlenraster: r 12 (8)
Aufnahmeart: Rastertisch
Aufnahmespannung: 70 – 85 kV, bei Säuglingen unter 6 Monaten 65 kV
Zusatzfilterung: 1 mm Al + mindestens 0,1 mm Cu
Bildempfängerdosis: SC 800 (400)
Brennflecknennwert: 0,6 (≤ 1,3)
Streustrahlenraster: r 8, kein Raster bei Säuglingen unter 6 Monaten
Strahlenschutz: Ovarialabdeckung wenn diagnostisch möglich, Hodenkapsel, Bleigummiabdeckung der unmittelbar anschließenden Abschnitte des Körperstamms
Abdomen/Becken von Kleidung und Schmuck frei machen, Ovarialabdeckung. Wenn diagnostisch möglich, Hodenkapsel.

LWS seitlich stehend
Es wurden keine Bilder gefunden.

Kassette/Abstand

Format 20/40 hoch / FFA 1,15m

Lagerung

Patient steht mit der linken Seite am Rasterwand, Beine streckt und Arme nach oben oder vorne ausstrecken. Eventuell einen Infusionsständer oder des Gleichen anbieten. Keine Bleischürze - falls möglich Hodenkapsel/Schmetterling

Zentralstrahl

Senkrecht auf oberen hinteren Beckenkamm. Handbreit von Dornfortsätzen ventralwärts (in Höhe des ZS gemessen unter Abzug des Gewebes).

Bemerkung

Schuhe ausziehen.

Anmerkung

Nur bei exakt paralleler Lagerung erfolgt orthostatische Abbildung des Zwischenwirbelräume.

Qualitätskriterien

Rein seitliche Darstellung der Lendenwirbelsäule einschließlich ihrer Dornfortsätze mit 12. Brustwirbel und lumbosacralem Übergang.

  • Aufnahmedaten
  • Pädiatrische Besonderheiten
  • Vorbereitung des Patienten
Aufnahmeart: Rasterwandgerät
Belichtungsautomatik: mittleres Messfeld
Bildempfängerdosis: SC 400
Fokus-Detektor-Abstand: 115 cm
Brennflecknennwert: ≤1,3
Aufnahmespannung: 85 - 95 kV
Expositionszeit: < 1,0 s
Streustrahlenraster: r 12 (8)
Aufnahmeart: Rastertisch
Aufnahmespannung: 70 – 85 kV, bei Säuglingen unter 6 Monaten 65 kV
Zusatzfilterung: 1 mm Al + mindestens 0,1 mm Cu
Bildempfängerdosis: SC 800 (400)
Brennflecknennwert: 0,6 (≤ 1,3)
Streustrahlenraster: r 8, kein Raster bei Säuglingen unter 6 Monaten
Strahlenschutz: Ovarialabdeckung wenn diagnostisch möglich, Hodenkapsel, Bleigummiabdeckung der unmittelbar anschließenden Abschnitte des Körperstamms
Abdomen/Becken von Kleidung und Schmuck frei machen, Ovarialabdeckung. Wenn diagnostisch möglich, Hodenkapsel.

ISG p.a.
Es wurden keine Bilder gefunden.

Kassette/Abstand

Format 24/30 quer / FFA 1,00m

Lagerung

Patient in Bauchlage, Beine ausgestreckt. Bei bauchigen Patienten etwas, am besten einen 45° Keil, unter das Becken legen, damit die ISG parallel zum Film stehen.

Zentralstrahl

Senkrecht 2 Querfinger oberhalb der Spina, oberer Kassettenrand: 2 Querfinger oberhalb des Beckenkammes.

Anmerkung

FFA ist 1,00 m, damit gehen auf Grund der Divergenz die Strahlen senkrecht durch die Fugen.

Qualitätskriterien

Symmetrische Darstellung des ventralen und des dorsalen unteren Anteils der Iliosakralgelenke

  • Aufnahmedaten
  • Pädiatrische Besonderheiten
  • Vorbereitung des Patienten
Aufnahmeart: Rastertisch
Belichtungsautomatik: mittleres Messfeld
Bildempfängerdosis: SC 400
Fokus-Detektor-Abstand: 115 cm
Brennflecknennwert: ≤1,3
Aufnahmespannung: 75 – 85 kV
Expositionszeit: < 500 ms
Streustrahlenraster: r 12 (8)
Aufnahmeart: Aufnahmetisch, Rastertisch
Aufnahmespannung: 70 – 85 kV, bei Säuglingen unter 6 Monaten 65 kV
Zusatzfilterung: 1 mm Al + mindestens 0,1 mm Cu
Bildempfängerdosis: SC 800 (400)
Brennflecknennwert: 0,6 (≤ 1,3)
Streustrahlenraster: r 8, kein Raster bei Säuglingen unter 6 Monaten
Strahlenschutz: Ovarialabdeckung wenn diagnostisch möglich, Hodenkapsel, Bleigummiabdeckung der unmittelbar anschließenden Abschnitte des Körperstamms
Becken von Kleidung und Schmuck frei machen, Hodenkapsel.

ISF nach Teschendorf (Steinschnittlage)
Es wurden keine Bilder gefunden.

Kassette/Abstand

Format 24/30 hoch bzw. 20/40 / FFA 1,15m

Lagerung

Patient in Rückenlage, Einstellung wie LWS, dann Oberschenkel über 90° anziehen und voneinander abspreizen. Patienten wird Hocker unter die Unterschenkel gestellt, Beine nach außen fallen lassen, Lendenlordose wird vollständig aufgehoben.

Zentralstrahl

Senkrecht je nach Format in Höhe Beckenkamm (20/40) oder auf Spina (24/30) und Kassettenmitte.

Qualitätskriterien

Orthograde Darstellung des Zwischenwirbelraums von L5/S1. Gute Darstellung der Kreuz-Darmbein-Gelenke. Scharfe und orthograde Abbildung aller Lendenwirbel mit ihren Querfortsätzen, der Kreuzdarmbeingelenke und des thorakolumbalen Überganges.

  • Aufnahmedaten
  • Pädiatrische Besonderheiten
  • Vorbereitung des Patienten
Aufnahmeart: Rastertisch
Belichtungsautomatik: mittleres Messfeld
Bildempfängerdosis: SC 400
Fokus-Detektor-Abstand: 115 cm
Brennflecknennwert: ≤1,3
Aufnahmespannung: 60 – 75 kV
Expositionszeit: < 100 ms
Streustrahlenraster: r 8 (12)
Aufnahmeart: Aufnahmetisch, Rastertisch nur bei größeren Kinder
Aufnahmespannung: 70 – 75 kV, bei Neugeborenen und Säuglingen 60 – 65 kV
Zusatzfilterung: 1 mm Al + mindestens 0,1 mm Cu
Bildempfängerdosis: SC 800 (400)
Brennflecknennwert: 0,6 (≤ 1,3)
Streustrahlenraster: r 8 nur bei Hüftgelenk von Kindern über 8 Jahren und Jugendlichen
Belichtungsautomatik: nur wenn Streustrahlenraster verwendet wird
Strahlenschutz: bei Knaben immer Hodenkapsel; bei Mädchen Ovarienabdeckung oder indirekter Ovarienschutz durch Bleieinschub in die Tiefenblende, wenn diagnostisch möglich
Becken und Oberschenkel von Kleidung und störenden Metallen frei machen, Gonadenschutz anlegen je nach Fragestellung.

Os sacrum a.p.
Es wurden keine Bilder gefunden.

Kassette/Abstand

Format 24/30 hoch / FFA 1,15m

Lagerung

Patient in Rückenlage, Beine angewinkelt.

Zentralstrahl

15° caudo-cranial oberhalb des Symphysenrandes, oberer Kassettenrand: Beckenkamm
oder: ermittelt: Spina tasten - senkrecht zum Tisch den Querstrahl einstellen.
können die Beine nicht angewinkelt werden, dann Winkel mit 25° caudo-cranial

Qualitätskriterien

Überlagerungsfreie, scharfe Abbildung des Kreuzbeins mit Kreuzdarmbeingelenken und Übergang zum LWK 5 und Os sacrum.

  • Aufnahmedaten
  • Pädiatrische Besonderheiten
  • Vorbereitung des Patienten
Aufnahmeart: Rastertisch
Belichtungsautomatik: mittleres Messfeld
Bildempfängerdosis: SC 400
Fokus-Detektor-Abstand: 115 cm
Brennflecknennwert: ≤1,3
Aufnahmespannung: 75 – 85 kV
Expositionszeit: < 500 ms
Streustrahlenraster: r 12 (8)
Aufnahmeart: Aufnahmetisch, Rastertisch
Aufnahmespannung: 70 – 85 kV, bei Säuglingen unter 6 Monaten 65 kV
Zusatzfilterung: 1 mm Al + mindestens 0,1 mm Cu
Bildempfängerdosis: SC 800 (400)
Brennflecknennwert: 0,6 (≤ 1,3)
Streustrahlenraster: r 8, kein Raster bei Säuglingen unter 6 Monaten
Strahlenschutz: Ovarialabdeckung wenn diagnostisch möglich, Hodenkapsel, Bleigummiabdeckung der unmittelbar anschließenden Abschnitte des Körperstamms
Becken von Kleidung und Schmuck frei machen, Hodenkapsel.

Os coccygis a.p.
Es wurden keine Bilder gefunden.

Kassette/Abstand

Format 18/24 hoch oder 24/30 hoch / FFA 1,15m

Lagerung

Patient in Rückenlage, Beine gestreckt.

Zentralstrahl

15° cranio-caudal in Höhe Spina.

Qualitätskriterien

Überlagerungsfreie, scharfe Abbildung des Steißbeins

  • Aufnahmedaten
  • Pädiatrische Besonderheiten
  • Vorbereitung des Patienten
Aufnahmeart: Rastertisch
Belichtungsautomatik: mittleres Messfeld
Bildempfängerdosis: SC 400
Fokus-Detektor-Abstand: 115 cm
Brennflecknennwert: ≤1,3
Aufnahmespannung: 75 – 85 kV
Expositionszeit: < 500 ms
Streustrahlenraster: r 12 (8)
Aufnahmeart: Aufnahmetisch, Rastertisch
Aufnahmespannung: 70 – 85 kV, bei Säuglingen unter 6 Monaten 65 kV
Zusatzfilterung: 1 mm Al + mindestens 0,1 mm Cu
Bildempfängerdosis: SC 800 (400)
Brennflecknennwert: 0,6 (≤ 1,3)
Streustrahlenraster: r 8, kein Raster bei Säuglingen unter 6 Monaten
Strahlenschutz: Ovarialabdeckung wenn diagnostisch möglich, Hodenkapsel, Bleigummiabdeckung der unmittelbar anschließenden Abschnitte des Körperstamms
Becken von Kleidung und Schmuck frei machen, Hodenkapsel.

Os sacrum/coccygis seitlich
Es wurden keine Bilder gefunden.

Kassette/Abstand

Format 24/30 / FFA 1,15m

Lagerung

Patient in Seitenlage, Beine mäßig angewinkelt. Keil zwischen Knie und evtl. Taille unterpolstern damit die Wirbelsäule parallel zum Film verläuft.

Zentralstrahl

Senkrecht 2 QF unterhalb der Spina iliaca, sowie ventralwärts wie LWS seitlich. Oberer Kassettenrand: ca. Beckenkamm.

Qualitätskriterien

Kreuz- und Steißbein sollen orthograd und vollständig gut beurteilbar abgebildet sein, d.h. keine Überlagerung des wenig schattengebenden Steißbeins.

  • Aufnahmedaten
  • Pädiatrische Besonderheiten
  • Vorbereitung des Patienten
Aufnahmeart: Rastertisch
Belichtungsautomatik: mittleres oder beide seitlichen Messfelder
Bildempfängerdosis: SC 400
Fokus-Detektor-Abstand: 115 cm
Brennflecknennwert: ≤1,3
Aufnahmespannung: 80 – 90 kV
Expositionszeit: < 200 ms
Streustrahlenraster: r 12
Aufnahmeart: bei Säuglingen und Kleinkindern Aufnahmetisch, bei Körperdurchmesser grösser 12-15 cm Rastertisch
Aufnahmespannung: 70 – 90 kV, bei Sauglingen unter 6 Monaten 65 – 70 kV
Zusatzfilterung: 1 mm Al + mindestens 0,1 mm Cu
Bildempfängerdosis: SC 800
Brennflecknennwert: 0,6 (≤ 1,3)
Streustrahlenraster: r 8, kein Raster bei Säuglingen
Belichtungsautomatik: nur wenn Streustrahlenraster verwendet wird
Strahlenschutz: bei Knaben Hodenkapsel
Becken von Kleidung und Schmuck frei machen, Hodenkapsel.

Wirbelsäule Ganzaufnahme a.p.
Es wurden keine Bilder gefunden.

Kassette/Abstand

Format 3 x 35/43 im Ganzbein- WSstativ oder 30/120 Rasterkassette / FFA 3m

Lagerung

Patient steht aufrecht mit dem Rücken am Rasterwandstativ, Kopf leicht nach hinten nehmen.

Zentralstrahl

Senkrecht auf Wirbelsäule. Aufblendung von Oberlippe bis einschließlich Hüftköpfe.

Qualitätskriterien

HWS-BWS-LWS mit Sakrum sollte vollständig und gut beurteilbar abgebildet sein.

Indikation

Beurteilung der Wirbelsäule und des Beckens bei Schiefstand.

Anmerkung

Spezialstativ mit Raster oder Digitalaufnahme mit Abbildung eines Rasters zur Vermessung. Evtl Ausgleichschuhe ausziehen und auch ggf. Verlaufsfilter für guten Kontrast verwenden.

  • Aufnahmedaten
  • Pädiatrische Besonderheiten
  • Vorbereitung des Patienten
Aufnahmeart: Rasterwandgerät, Spezialstativ
Belichtungsautomatik: mittleres Messfeld
Bildempfängerdosis: SC 400
Fokus-Detektor-Abstand: 300 cm
Brennflecknennwert: ≤1,3
Aufnahmespannung: 75 – 100 kV
Expositionszeit: < 500 ms
Streustrahlenraster: r 12 (8)
Aufnahmeart: Rasterwandgerät
Aufnahmespannung: 70 – 85 kV, bei Säuglingen unter 6 Monaten 65 kV
Zusatzfilterung: 1 mm Al + mindestens 0,1 mm Cu
Bildempfängerdosis: SC 800 (400)
Brennflecknennwert: 0,6 (≤ 1,3)
Streustrahlenraster: r 8, kein Raster bei Säuglingen unter 6 Monaten
Strahlenschutz: Ovarialabdeckung wenn diagnostisch möglich, Hodenkapsel, Bleigummiabdeckung der unmittelbar anschließenden Abschnitte des Körperstamms
Abdomen/Becken von Kleidung und Schmuck frei machen, Ovarialabdeckung. Wenn diagnostisch möglich, Hodenkapsel.

Wirbelsäule Ganzaufnahme seitlich
Es wurden keine Bilder gefunden.

Kassette/Abstand

Format 3 x 35/43 im Ganzbein- WSstativ oder 30/120 Rasterkassette / FFA 3m

Lagerung

Patient steht aufrecht mit der Seite am Rasterwandstativ, Kopf in Neutralstellung, Arme nach vorne ausstrecken und in den Händen kreuzen damit die Schulterblätter rausgezogen werden.

Zentralstrahl

Senkrecht auf Wirbelsäule. Aufblendung von Oberlippe bis einschließlich Hüftköpfe.

Qualitätskriterien

HWS-BWS-LWS mit Sakrum sollte vollständig und gut beurteilbar abgebildet sein.

Indikation

Beurteilung der Wirbelsäulestatik, Kyphose und Skoliose.

Anmerkung

Spezialstativ mit Raster oder Digitalaufnahme mit Abbildung eines Rasters zur Vermessung. Evtl Ausgleichschuhe ausziehen und auch ggf. Verlaufsfilter für guten Kontrast verwenden.

  • Aufnahmedaten
  • Pädiatrische Besonderheiten
  • Vorbereitung des Patienten
Aufnahmeart: Rasterwandgerät, Spezialstativ
Belichtungsautomatik: mittleres Messfeld
Bildempfängerdosis: SC 400
Fokus-Detektor-Abstand: 300 cm
Brennflecknennwert: ≤1,3
Aufnahmespannung: 75 – 100 kV
Expositionszeit: < 500 ms
Streustrahlenraster: r 12 (8)
Aufnahmeart: Rasterwandgerät
Aufnahmespannung: 70 – 85 kV, bei Säuglingen unter 6 Monaten 65 kV
Zusatzfilterung: 1 mm Al + mindestens 0,1 mm Cu
Bildempfängerdosis: SC 800 (400)
Brennflecknennwert: 0,6 (≤ 1,3)
Streustrahlenraster: r 8, kein Raster bei Säuglingen unter 6 Monaten
Strahlenschutz: Ovarialabdeckung wenn diagnostisch möglich, Hodenkapsel, Bleigummiabdeckung der unmittelbar anschließenden Abschnitte des Körperstamms
Abdomen/Becken von Kleidung und Schmuck frei machen, Ovarialabdeckung. Wenn diagnostisch möglich, Hodenkapsel.