Hand / Handgelenk

Scaphoid-Quartett
Es wurden keine Bilder gefunden.

Indikation

Dringender Verdacht auf Scaphoidfraktur (2) bei zweifelhaften Befund in den Standardprojektionen.Notwendigkeit fraglich, da bei klinischen Verdacht und zweifelhaften Röntgenbefund in den Standardaufnahmen des Handgelenks ohnehin die Ruhigstellung indiziert ist, so dass sich eine weiterführende Diagnostik zunächst erübrigt. Ist auch die Kontrolluntersuchung nicht eindeutig, so sind CT oder Szintigraphie in ihrer Aussage zuverlässiger als die Spezialprojektionen.

Scaphoidfrakturen: 70% der Frakturen der Handwurzel sind Scaphoidfrakturen. 2/3 sind im mittleren Drittel. Meist Querfrakturen.

Dehizenz > 1mm -> instabil -> Gefahr Pseudarthrose.
Cave: Begleitverletzungen: Proc. syloideus radii, Lunatum, Capitatum, SL-Dissoziation, perilunäre Dissoziaton, DeQuervain Luxationsfraktur.

Handgelenk a.p.
Es wurden keine Bilder gefunden.

Beurteilungskriterien

  • Neigung der distalen Radiusgelenkfläche in der Frontalebene: 15 – 35°
  • Längenverhältnis Radius – Ulna: Proc.styloideus radii überragt Gelenkfläche der Ulna um 9 –12mm (<9mm Ulna-Plusvariante, >12mm Ulnaminusvariante)
  • Kontinuität der drei Karpalbögen:

Proximaler Bogen: proximale Gelenkflächenkonturen von Scaphoid, Lunatum und Triquetum

Mittlerer Bogen: distale Gelenkflächenkonturen von Sacphoid, Lunatum und Triquetum

Distaler Bogen: proximale Gelenkflächenkonturen von Capitatum und Hamatum

Fehlende Abgrenzbarkeit, Versatz oder Unterbrechung sind als pathologisch zu bewerten und deuten auf eine Luxation hin.

Trapezförmige Darstellung des Lunatum in Neutralstellung? Augenzeichen des Hamulus? Superposition von Pisiforme und Triquetum? Metacarpale III in Projektion innerhalb der Radiusgelenkfläche? Lunatum zu >50% über Radiusgelenkfläche? Cave: bei Radial- oder Ulnarduktion wandert das Lunatum in umgekehrter Richtung.

  • M-förmiger Verlauf der Gelenkspalten der Carpometacarpalgelenke? Luxationsstellung in den Carpometacarpalgelenken (meist dorsale Luxation)?
  • Gelenkspaltweiten des Radiocarpalgelenk 2 – 2,5mm, der Carpometacarpalgelenke 1 –2mm, distales Radioulnargelenk 2mm, Gelenksspaltweiten der Intercarpalgelenke 1,5 – 2mm

Cave: SL-Dissoziation (Ruptur des SL- Bandes, häufigste Gefügestörung): Terry-Thomas-Sign = SL-Spalt > 3mm, Siegelringzeichen = Ringförmige Transparenzminderung im mittleren Scaphoiddrittel durch orthograde Projektion der Taille infolge Rotation.

  • Obliteration des Scaphoidfettstreifens?
  • Täuschungsmöglichkeiten durch Vielzahl akzessorischer Ossikel (abgerundete, zirkulkär-geschlossene Kortikalis), geteilte Handwurzelknochen (Scaphoid, Lunatum, Pisiforme) und Gefäßkanälchen
  • Target areas leicht zu übersehender Frakturen: distales Radioulnargelenk, Processus styloideus radii et ulnae, Basen der Metacarpalia (v.a. MCP I), Hamulus.
  • Grundsätzlich gilt: unklare Verhältnisse ->CT-Indikation

Handgelenk seitlich
Es wurden keine Bilder gefunden.

Beurteilungskriterien

  • Neigung der distalen Radiusgelenkfläche in der Sagittalebene: 10 – 15°
  • Kontinuierliche Verlängerungsachse durch Radius, Lunatum, Capitatum und Os metacarpale III. Kontinuität von Handrücken und Unterarmrückfläche (Luxation, nicht-exakte Einstellung? -> Proc.styloideus ulnae im hinteren Radiusdrittel?)
  • Scapholunärer Winkel 30 – 60°
  • Verstreichen und Ventralverlagerung der volaren Fettstreifen vor dem M.flexor digitorum profundus und M.pronator quadratus
  • Grundsätzlich gilt: unklare Verhältnisse -> CT-Indikation

Beispiele

Smith-Fraktur (2) volare Fragmentabkippung

Colles- Fraktur (2) dorsale Fragmentabkippung

Chauffeur-Fraktur (2) radialer Keilbruch

Barton-Fraktur (2) intraartikulär, dorsales Kantenfragment

Reversed Barton-Fraktur (2) intraartikulär, volares Kantenfragment

Hand a.p. (dorsovolar)
Es wurden keine Bilder gefunden.

Beurteilungskriterien

  • Kontinuität der drei Karpalbögen (vgl. Handgelenk):

Proximaler Bogen: proximale Gelenkflächenkonturen von Scaphoid, Lunatum und Triquetum

Mittlerer Bogen: distale Gelenkflächenkonturen von Sacphoid, Lunatum und Triquetum

Distaler Bogen: proximale Gelenkflächenkonturen von Capitatum und Hamatum

Fehlende Abgrenzbarkeit, Versatz oder Unterbrechung sind als pathologisch zu bewerten und deuten auf eine Luxation hin.

  • M-förmiger Verlauf der Gelenkspalten der Carpometacarpalgelenke? Luxationsstellung in den Carpometacarpalgelenken (meist dorsale Luxation)?
  • Gelenkspaltweiten der Carpometacarpalgelenke, der Metacarpophalangealgelenke und Interphalangealgelenke 1 –2mm, der Intercarpalgelenke 1,5 – 2mm
  • Täuschungsmöglichkeiten durch Vielzahl akzessorischer Ossikel (abgerundete, zirkulkär-geschlossene Kortikalis), geteilte Handwurzelknochen (Scaphoid, Lunatum, Pisiforme) und Gefäßkanälchen
  • Target areas leicht zu übersehender Frakturen:Processus styloideus radii et ulnae, Basen der Metacarpalia (v.a. MCP I) -> großzügige CT-Indikation, Hamulus

Cave: Metacarpale und phalangeale Rotationsfehlstellungen sind konventionell röntgenologisch schwer zu diagnostizieren und zu quantifizieren -> klinischer Befund führend (Fingerstrahl kreuzt bei Beugung im Grundgelenk den benachbarten Strahl), evtl. CT hilfreich.

Beispiele

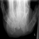
Hand streng seitlich: radio-ulnar
Es wurden keine Bilder gefunden.

Dient zur Bestimmung der Luxationsrichtung bei Carpometacarpalen oder Metacarpophalangealen Luxationen (meist dorsal) oder zur Bestimmung des Dislokationsausmaßes metacarpaler oder phalangealer Frakturen.

Cave: Metacarpale und phalangeale Rotationsfehlstellungen sind konventionell röntgenologisch schwer zu diagnostizieren und zu quantifizieren -> klinischer Befund führend (Fingerstrahl kreuzt bei Beugung im Grundgelenk den benachbarten Strahl), evtl. CT hilfreich.

Hand schräg: Zitherspieler
Es wurden keine Bilder gefunden.

Auch sinnvoll zur Bestimmung der Dislokationsrichtung von Frakturen.

Arthridis of the Hand

Hände nach Norgaard (Rheuma-Spezialaufnahme in der Medizin)
Es wurden keine Bilder gefunden.

Nützlich als zweite Ebene zur Beurteilung von entzündlichen Gelenkerkrankungen. Keine Bedeutung in der Traumatologie.

Arthridis of the Hand

Os pisiforme
Es wurden keine Bilder gefunden.

Zusatzaufnahme bei V.a. Verletzung des Os pisiforme. Grundsätzlich gilt jedoch die großzügige CT-Indikation bei unklaren Befunden!!!

Beurteilungskriterien

  • Nur Os pisiforme beurteilen! Fraktur?
  • Regelrechte Artikulation mit dem Triquetum?
  • Akzessorische Knöchelchen (abgerundete, zirkulkär-geschlossene Kortikalis)
  • Weitere abgrenzbare erkennbare Strukturen: Lunatum, Trapezium

Carpal-Tunnel
Es wurden keine Bilder gefunden.

U-förmige Darstellung des Karpaltunnels mit überlagerungsfreier Projektion des Os pisiforme, des Hamulus ossis hamati und des Daumensattelgelenks – jedoch CT überlegene Alternative!

Beurteilungskriterien

  • scharfe Abgrenzbarkeit von Pisiforme, Hamulus ossis hamati und Daumensattelgelenk
  • volare Konturen von Capitatum, Scaphoid und Triquetum
  • akzessorische Knöchelchen, Fremdkörper, Kalkeinlagerungen in Projektion auf den Karpaltunnel? Weichteilschwellung?
  • Kalkanlagerungen in Projektion auf den Carpaltunnel -> CT?