Anmelden
Home
Glossary
Radiographer
Kopf
Clavicula
Schulter
Oberarm
Ellenbogen
Unterarm
Hand / Handgelenk
Finger
Thoraxbereich
Abdomen
Becken / Hüfte
Oberschenkel
Kniegelenk
Unterschenkel
Sprunggelenk
Calcaneus
Fuß
Zehen
Wirbelsäule
Oberschenkel 2
Doctor
Kopf
Clavicula
Schulter
Oberarm
Ellenbogen
Unterarm
Hand / Handgelenk
Finger
Thorax
Abdomen
Becken / Hüfte
Oberschenkel
Knie
Unterschenkel
Sprunggelenk
Calcaneus
Fuß
Zeh
Wirbelsäule
Orthorad
Anatomy
TraumaRad
Pedbone
Misadjustments
Request
Youtube
Tipps & Tricks
Einstelltechniken
App Tour
Strahlenschutz
Fun
Addition
Checklist
Basic
Osteosynthesis
OrthoRad-Quiz
Nomenclature etc.
App
Contact
Sprunggelenk
TraumaRad Menü
Kopf
Wirbelsäule
Clavicula
Schulter
Ellenbogen
Unterarm
Hand / Handgelenk
Finger
Thorax
Abdomen
Becken / Hüfte
Oberschenkel
Kniegelenk
Unterschenkel
Sprunggelenk
Calcaneus
Fuß
Zehen
☰
Weber A
Es wurden keine Bilder gefunden.
Weber B
Es wurden keine Bilder gefunden.
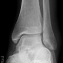
Weber C + dorsales Volkmann
Es wurden keine Bilder gefunden.
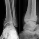
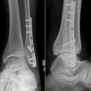
Trimalleoläre
Es wurden keine Bilder gefunden.
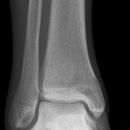
Vorderes Volkmann + lat. Talusschulter
Es wurden keine Bilder gefunden.