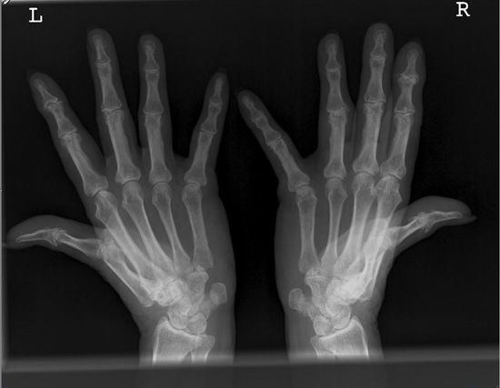
Hand / Handgelenk

Norgaard

Fehler

Das Grundgelenk des rechten Daumens ist in der Norgaard-Aufnahme nicht gut einsehbar. Es wird teils vom Metacarpalen 2 überlagert. Die Daumen wurden bzw. könnten nicht genügend nach außen gestreckt werden.

Abhilfe

Bei solchen Patienten, die Probleme haben die Daumen mit eigener Kraft nach außen zu "biegen", sollte man mit Klebestreifen (Leukosilk) nachhelfen und die Daumen nach außen ziehen. Aber auch nur so weit wie es der Patient toleriert.