Hüfte

Lauenstein

Fehler

Die obere Begrenzung des Trochanter majors reicht fasst bis zum Hüftkopf. Er überdeckt zum Teil den Schenkelhals und dessen distalen Teil. Der Trochanter minor bildet sich weit unterhalb des Trochanter major im Schaft des Oberschenkels, randbildend, ab. Der femur wurde zu weit abgespreizt. oder fast seitliche Lagerung der Oberschenkels. Nicht die Oberschenkelachse soll zur Filmachse parallel stehen, sondern die Achse des Schenkelhalses.

Abhilfe

Der Patient darf den Femur nur wenig nach außen abspreizen, damit stellt sich der Schenkelhals horizontal ein.

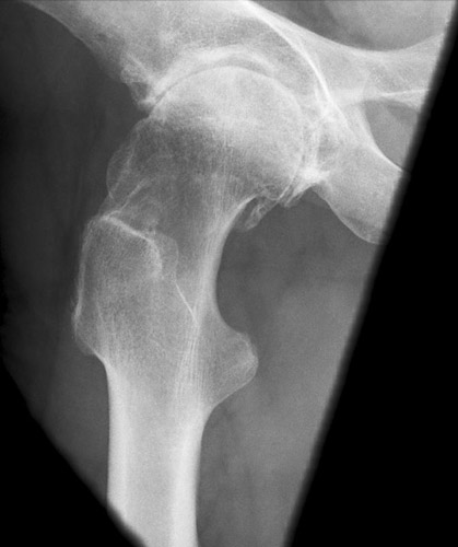
Lauenstein

Fehler

Der distale Schenkelhalsteil wird durch den Trochanter major verdeckt, wobei aber der mediale gelegene Abschnitt relativ frei ist. Außerdem ragt der Trochanter minor besonders markant und in ganzer Ausdehnung hervor und projiziert sich weit distal vom Trochanter major. Diese Fehleinstellung kommt vor allem bei Menschen mit schweren arthrotischen Knochenwülsten (Coxarthrosis deformans) am Hüftgelenk vor.

Abhilfe

Der Patient konnte zwar seinen Oberschenkel abspreizen, aber offenbar nur ungenügend; er drehte daher das Bein stark nach außen, was den Trochanter minor auf dem Bild mächtig hervorragen ließ.